View Article

Abstract

Objective: The research work aims to demonstrate the potential of this microsponge gel as an effective treatment for severe acute pain with improved drug delivery and therapeutic outcomes. The research work involves the formulation and characterization of a Dexketoprofen Trometamol loaded microsponge gel for the severe acute pain. Microsponges are introduced as a promising drug delivery system due to their ability to provide sustained drug release and improved skin permeation with increased stability and its use in a microsponge gel formulation is hypothesized to improve its efficacy. Method: Microsponge loaded with Dexketoprofen trometamol were successfully formulated by quasi-emulsion solvent diffusion method. The dosage form was formulated by the organic phase containing drug and solvent (ethanol) with polymer (1-5% w/v) and outer phase containing water with surfactant (PVA) (0.1-1%w/v). The internal phase was added drop-wise to external phase with high speed continuous stirring that formulate porous microsponge after evaporation. The polymers used were ethyl cellulose and Eudragit L100. Result: Thus total 8 formulations were prepared with different polymer, surfactant and solvent combinations. It was observed that the among 4 formulation containing ethyl cellulose as polymer the formulation F2 showed lowest particle size of 09µm and greater drug content (59.14%), larger drug entrapment efficiency (60.85%) and a better spreadability of 9.20g.cm/sec, and formulation F6 showed least particle size(12µm) and better drug content, drug entrapment efficiency ( 61.24%, 59.10%, respectively), and a better spreadability of 9.12g.cm/sec. among both F2 and F6, F2 could be considered as a better formulation.Conclusion: In this study it was founded that microsponge had a greater stability among wide temperature range and shows better drug loading capacity and good spreadability that might be used for sustained release formulation.

Keywords

Microsponge, Ethyl cellulose, Eudragit L100, Spreadability, Gel.

Introduction

Microsponges are spherical, porous, microscopic particles. These are polymeric delivery system and a drug carrier which have tiny microscopic structure with a larger porous surface. These are micro-sized particle with average diameter of 5-30 microns 1. Microsponge have unique compression and also have a unique dissolution due to its spongy structure 2.Microsponge can deliver drug at minimal amount of dose and work efficiently in enhancing stability, modifying drug release and reducing side effects 3. These have flexibility to entrap a wide range of active ingredients which are mostly used for prolonged topical administration for extended release of drug 4. Recently, In oral drug delivery microsponge shows increase rate of solublization of poorely water soluble drug 5. As the pores are very small containing about 2,50,000 pores in a typical 25 micrometer microsphere. 6. A 25 micrometer sponge may have internal pore structure equal to 10ft length, making it almost 1ml/gram for drug retention 7.

Figure 01: - Structure of microsponge

HISTORY OF MICROSPONGE

The technology of microponge was developed by won in 1987 and the original patent was assigned to Advanced Polymer Systems Inc.8. The company worked on many variations of this technique and the technique was applied to various cosmetics as well as OTC and prescription drug 9and also in some FDA-approved products such as- Retin A Micro® (0.1/0.04% tretinoin) and carac (0.5% FU) 10.

CHARACTERISTICS OF MICROSPONGE11, 12, 13

Figure 01: - Chart showing characteristics of microsponges 26

ADVANTAGES OF MICROSPONGE14, 15, 16, 17: -

Figure 02: - Chart showing Advantages of Microsponge 26

MECHANISM OF DRUG RELEASE FROM MICROSPONGE:

In microsponge the active ingredients are free to move in and out from the peptides but the release of drug is triggered by some external factors.

The external factors that triggers drug release are-

  1. Pressure
  2. Temperature
  3. Ph
  4. solubility18, 19

Figure 03: - Chart showing Mechanism of drug release from Microsponge drug delivery system 26

MATERIAL AND METHOD

MATERIAL

The drug Dexketoprofen Trometamol was provided by Emcure R&D gandhinagar, Gujrat as a free sample for my research work. Other chemicals like Ethanol, Poly vinyl alcohol, Eudragit L100, ethyl cellulose and other ingredients were supplied by departmental chemical store.

METHOD

Drug- exepient interaction profile of Dexketoprofen Tromtamol and other exepients:

The drug and suitable exepients which are to be used in formulation are mixed and kept in a separate container for 45-60 days to watch that if there is change occurred in phase, colour, odour or appearance of the mixture. If there was certain specific changing appears then the mixture is subjected to FTIR to analyze that if there is disturbance in reading that may affect the formulation.

Formulation of Dexketoprofen Trometamol loaded microsponge:

The microsponge was to be formulated by Quasi-emulsion solvent diffusion method:

  1. Preparation of internal organic phase- the drug and solvent are mixed were mixed in 100ml beaker and the polymer was mixed.
  2. Preparation of external aqueous phase- water and solvent were mixed to prepare external phase.
  3. Emulsion formation- the Internal phase was added dropwise to external phase at speed of 500rpm with continuous stirring to form a homogeneous emulsion. Stirring with evaporation causes polymer to precipitate around the drug that leads to formation of porous microsponges structure.
  4. The prepared emulsion is then filtered by using whatmann filter paper.
  5. The filterate is then washed with distil water.
  6. By air drying the filtrate was dried and then microsponge was obtained.

Ingredients used in formulation:

Polymer- Eudragit L100 / Ethylcellulose

Drug- Dexketoprofen Trometamol

Internal organic solvent- Ethanol

Surfactant- polyvinyl alcohol (PVA)

Distil water

Table no 01:- Formulation design of various Dexketoprofen trometamol microsponge formulations

S.No.

Formulation

Ethyl cellulose (gm)

Eudragit L100(gm)

Drug(mg)

Ethanol(ml)

Polyvinyl alcohol(ml)

Distil water(ml)

01.

F1

2.0 g

----------

100mg

30ml

1 ml

q.s.

02.

F2

2.5 g

----------

100mg

25ml

2.5ml

q.s.

03.

F3

2.5 g

----------

100mg

25ml

2.0ml

q.s.

04.

F4

1.5 g

----------

100mg

35ml

1.5ml

q.s.

05.

F5

----------

2.0 g

100mg

20ml

2.0ml

q.s.

06.

F6

----------

2.5 g

100mg

25ml

2.5ml

q.s.

07.

F7

----------

1.5g

100mg

30ml

1.5ml

q.s.

08.

F8

----------

2.5 g

100mg

30ml

1.5ml

q.s.

Evaluation parameters of microsponge

  • Particle size determination
  • Ph of formulation
  • Morphology and surface topography
  • Drug entrapment 
  • Entrapment efficiency
  • Thermal stability
  1. Particle size determination 20: -The mean particle size of Dexketoprofen trometamol loaded microsponge was determined using an optical microscope. The microscope was fitted with a stage micrometer to calibrate the eyepiece micrometer. The particle size of formulated cubosome was determined using microscopy. Simple microscope under 100x resolutions was used to determine size of the cubosome. The average particle size was determined using the following formula:

D?mean=∑nd∑n

 

  1. pH of formulation 21: -The pH of formulation was determined by using ph paper. Firstly 1mg of formulation was dissolved in 10ml oh freshly prepared 7.4ph phosphate buffer or in normal distil water. The pH papers were dipped in all formulations and on the basis of ph meter the ph of formulations were noted.
  2. Morphology and surface topography 22:- For determination of morphology or surface morphology scanning electron microscopy(SEM) is used.

The sample was mounted directly on to the SEM sample holder using double sided sticked tape. The images were recorded at different resolutions. Surface topography and surface morphology was examined using high resolution scanning electron microscopy (HR-SEM) under resolution 100x to 5000x.

  1. Drug content 23: - To measure drug content in microsponge 100 mg of precisely weighted microsponge is mixed in 100 ml of 6.8 pH phosphate buffer. The mixture is filtered through 0.45 µm membrane filter and sample is analyzed at suitable wavelength using UV.

Drug content %=Actual amount of drugWeighed amount of sponge×100

  1. Drug Entrapment efficiency 24: - Drug entrapment efficiency is assessed through solvent extraction method.

10 mg of precisely weighed microsponge is dissolved in 5ml of methanol using magnetic stirrer for 20 min.

20 ml of freshly prepared PBS is added and heated at 45-50oC .Till the formation of clear solution. Methanol is evaporated and cooled at 25oC and filtered.

The drug concentration is measured by UV.

DEE %=Actual drug content of spongeTheoratical drug content of sponge×100

 

  1. Thermal stability 25: - The thermal efficiency of microsponge are analyzed by differentil scanning calorimetry (DSC). The DSC analysis was performed from temperature range of 0oC to 600oC and the effect of temperature was noted and graph was prepared to show chart of effect of temperature on enthalpy change of the formulations.

RESULTS AND DISCUSSION

Drug- Exepient interaction compatibility study of Dexketoprofen trometamol and Eudragit L100 and Ethyl cellulose before formulation of microsponge: -

The compatibility study of drug and excipient shows no interaction. The graph complies with the graph of standard graph of Dexketoprofen Trometamol. That shows no specific interaction between drug used and excipients used.

Table no 02: -IR frequencies of Dexketoprofen trometamol, Eudragit L100, Ethyl cellulose, Ethanol and Polyvinyl alcohol

Functional group

Characteristic wave number

Wave number observed

CN stretching

2500-2400

2412.56

CH bending

1600-1400

1552.43

-C-

1300-1250

1276.32

enes

950-900

912.52

Figure 04: - FTIR spectrum of Dexketorofen trometamol ,Eudragit L100, Ethyl cellulose, Ethanol and polyvinyl alcohol

Evaluation of micrsponge:

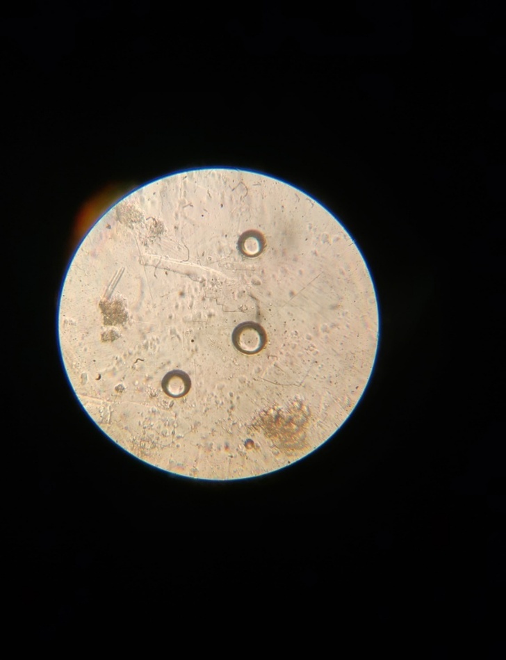
Particle size determination: -The particle size of Dexketoprofen trometamol loaded microsponge ranges from 9-42 µm.

    

Figure 05:- Optical microscopic image of Dexketoprofen trometamol loaded microsponge

Figure 06:- HR-SEM image of Dexketoprofen trometamol loaded microsponge under 50,000 x resolutions

Figure 07: - Bar graph showing mean particle sizes of various formulations of Dexketoprofen trometamol loaded microsponges

pH of formulations: - The ph of formulations found to be fall between 5.6-6.2, which showed that the microsponges were of slightly acidic in nature.

 

Figure 08: - Bar graph showing Ph of various Dexketoprofen trometamol microsponge formulations

Drug content: -The drug content of Dexketoprofen trometamol loaded microsponges was found to be in the range of 42.26-60.24%. When the concentration of polymer was increased, the production yield of microsponges was also found to be increased. This may be due to higher amount of polymer, thus resulting in an increase in total mass of the microsponges

Figure 09: -Percentage drug content of various formulations of Dexketoprofen trometamol loaded microsponge

Drug entrapment efficiency: -The drug entrapment efficiency of Dexketoprofen trometamol ranged from 42.14%-60.85%. The results of drug entrapment efficiency showed that, with increase in polymer concentration, the drug entrapment efficiency was also increased.

Figure 10: - Drug entrapment efficiency of Microsponge containing Dexketoprofen trometamol

Spreadability: -The spreadability of formulations were found between 8.22-9.20. The spreadability of formulation F2 showed better spreadability among ethyl cellulose formulations and formulation F6 showed better spreadability among Eudragit L100 containing formulations. While among all formulations F2 shows better spreadability.

Figure 11: - Bar graph showing Spreadability of various formulations of Dexketoprofen trometamol microsponges

S.No.

Formulation

Mean particle size(µm)

pH

%Drug content

DEE%

Spreadability

(gm.cm/sec)

01.

F1

16

5.7

55.30

51.35%

8.50

02.

F2

09

6.2

59.14

60.85%

9.20

03.

F3

42

5.6

42.26

42.14%

8.22

04.

F4

23

5.7

48.40

46.07%

8.40

05.

F5

35

5.6

49.60

48.24%

8.84

06.

F6

12

6.0

61.24

59.10%

9.12

07.

F7

25

5.7

56.80

53.45%

8.65

08.

F8

21

5.8

58.24

55.80%

8.70

Table 03: - Table showing mean particle size, pH, %Drug content, DEE% and Spreadability of different formulations of Dexketoprofen trometamol loaded microsponge

Figure 12: - Bar Graph showing pH, mean particle size, % Drug content, DEE% and spreadability of various formulations of Dexketoprofen trometamol loaded micrsponge

ACKNOWLEDGEMENT

I dedicate my entire work to Mahadev ji and Maa shayar maihar wali mata, they were with me during entire research purpose. Some parameters of evaluation was directly supported by IIT BHU, Varanasi, I felt deeply thankful to the instrument in-charge of CIF, IIT, BHU, Varanasi. 

CONCLUSION

Microsponges are introduced as a promising drug delivery system due to their ability to provide sustained drug release and improved skin permeation. Dexketoprofen Trometamol is a NSAID drug used in some cases of acute pain and its formulation in microsponge hypothesizes that its entrapment efficiency is enhanced and there is also enhancement in its spread ability so that it may be easily used in topical formulations. These are valuable drug matrix substance with several beneficial advantages like having good physical, chemical and thermal stability and allow greater flexibility in dosage form manufacturing and drug entrapment.

Thus total 8 formulations were prepared with different polymer, surfactant and solovent combinations. It was observed that the among 4 formulation containing ethyl cellulose as polymer the formulation F2 showed lowest particle size of 09µm and greater drug content (59.14%), larger drug entrapment efficiency (60.85%) and a better spreadability of 9.20g.cm/sec, and formulation F6 showed least particle size(12µm) and better drug content, drug entrapment efficiency ( 61.24%, 59.10%, respectively), and a better spreadability of 9.12g.cm/sec. among both F2 and F6, F2 could be considered as a better formulation.

The application of microsponge showed a better drug entrapment efficiency, better drug content, most précised particle size which results in better spreadability that makes it easy for topical application and makes its available for drug delivery of various delivery systems like gels, paste and ointments etc. In this study it was founded that microsponge had a greater stability among wide temperature range and shows better drug loading capacity and good spreadability that might be used for sustained release formulation. Microsponge delivery system holds a promising future in various pharmaceutical applications in the coming years as they have unique properties like extended release, reduced irritancy, small size, self sterilize and compatible with most of vehicles and ingredients, so flexible to develop novel product forms. Thus, MDS is a very emerging field which is needed to be explored.

REFERENCES

  1. Tomar M and Pahwa S., “Microsponge drug delivery system”, international journal of pharmaceutical sciences and research, IJPSR 2021, volume 12 Issue 9.
  2. Jangde R (2011), “Microsponges for colon targeted drug delivery system: an overview”. Asian J Pharm Technol 1: year 2011: page no 87–93.
  3. Sowjanya Gummadi et.al., “Quantification and stability aspects of Luliconazole in bulk and pharmaceutical dosage forms by UV spectroscopy”, Journal of Drug Delivery and Therapeutics. Year 2019; volume 9(2-s): page no 300-306.
  4. Sultan farhana, Chopra himashu, Sharma Gyanendra kumar., “formulation and evaluation of luliconazole microsponge loaded gel for topical drug delivery” Research J. pharm. And tech. 14(11), November 2021, page no 5775-5780.
  5. Karthika.R., Elango.K., Ramesh Kumar K., Rahul.K. Formulation and evaluation of lornoxicammicrosponge tablets for the treatment of arthritis.Int. J. Pharmaceutical innovations. 2013; 3(2):29-40.
  6. Mandava shyamsundar and thavvavedavanthi, “novel approach: microsponge drug delivery system”, international journal of pharmaceutical science and research, IJPSR (2012) volume 3 issue 04, page 967-980.
  7. Vishwakarma et al., Vishwakarma Pramila, Choudhary ramraj, “microsponge: a novel strategy to control the delivery rate of active agents with reduced skin irritancy”, journal of drug delivery and pharmaceutics, 2019, 9(6-s), page 238-247.
  8. Won R (1987). Method for delivering an active ingredient by controlled time release utilizing a novel delivery vehicle which can be prepared by a process utilizing the active ingredient as a porogen. Patent No 4690825 US.
  9. Pradhan SK (2011). Microsponges as the versatile tool for drug deliverysystem. Int. J. Res. Pharm. Chem. 1(2): page no 243-258.
  10. Amrutiya N, Bajaj A, Madan M (2009). Development of microsponges for topical delivery of mupirocin. AAPS Pharm. Sci. Tech. 10: page 402-409.
  11. Aritomi H, Yamasaki Y, Yamada K, Honda H, Koshi M (1996).Developmentof sustained release formulation of chlorpheniramine maleate using powder coated microsponges prepared by dry impact blending method. J. Pharm. Sci. Technol. 56(1): page 49-56.
  12. Jain N, Sharma PK, Banik K (2011). Recent advances on microsponge delivery system. Int. J. Pharm. Sci. Rev. Res.8: page 13-23.
  13. Vyas SP, Khar RK (2002). Targeted and controlled drug delivery: novel carrier systems. CBS Publications, 1st ed., New Delhi, 453.
  14. Kaity S, Maiti S, Ghosh AK, Pal D, Ghosh BS (2010). Microsponges: A novel strategy for drug delivery system. J. Adv. Pharm. Technol. Res.1(3):page 283-290.
  15. Pradhan SK (2011). Microsponges as the versatile tool for drug deliverysystem. Int. J. Res. Pharm. Chem. 1(2): page 243-258.
  16. Patravale VB,Mandawgade SD. Novel cosmetic delivery systems: an application update. Int J Cosmetic Sci 2008;30(1): page 19–33.
  17. Osmani RA,Aloorkar NH,Kulkarni AS,Harkare BR,Bhosale RR. A new cornucopia in topical drug delivery: microsponge technology. Asian J Pharm Sci Technol 2014;4: page 48–60.
  18. Khopade AJ, Jain S and Jain NK: The microsponge: Eastern Pharmacist 1996; page 49-53.
  19. Patil SS, Dandekar V, Kale A and Barhate SD: Microsponges drug delivery system an overview. European Journal of Pharmaceutical and Medical Research 2016;3(8): page 212-221.
  20. Jadhav N, Patel V, Mungekar S, Bhamare G, Karpe M, Kadams V (2013) Microsponge delivery system: an updated review, current status and future prospects. J Sci Innov Res 2(6):page 1097–1110.
  21. Lalitha SK, Shankar M, Likhitha D, Dastagiri J, Babu MN (2016) A current view on microsponge drug delivery system. Eur J Mol Biol Biochem 3(2): page 88–95.
  22. Thakur R, Kumar S, Gaba P (2020) A review: novel method for microsponge drug delivery system. J Pharm Biol Sci 15(4): page 35–44. https://doi.org/10.9790/3008-1504023544.
  23. Christensen MS, Hargens CW, Nacht S and Gans EH: Viscoelastic properties of intact human skin instrumentations, hydration effects and contribution of the stratum corneum. Journal of Investigative Dermatology 1977; 69: page 282-86.
  24. Sato T, Kanke M, Schroeder G and Deluca P: Porous biodegradable microspheres for controlled drug delivery, assessment of processing conditions and solvent removaltechniques. Pharmaceutical Research 1988; (5): page 21-30.
  25. Mishra MK, Shikhri M, Sharma R and Goojar MP: Optimization, formulation development and characterization of eudragitrs 100 loaded microsponges and subsequent colonic delivery. International Journal of Drug Discovery and Herbal Research 2011; 1(1): page 8-13.
  26. Anju Tomar*, Dr. Narendra Mandoria, Kamlesh Dashora, Aashish Singh, Microsponge: A Stable Microscopic Polymeric Delivery System, Int. J. of Pharm. Sci., 2025, Vol 3, Issue 2, 210-223. https://doi.org/10.5281/zenodo.14800431

Reference

  1. Tomar M and Pahwa S., “Microsponge drug delivery system”, international journal of pharmaceutical sciences and research, IJPSR 2021, volume 12 Issue 9.
  2. Jangde R (2011), “Microsponges for colon targeted drug delivery system: an overview”. Asian J Pharm Technol 1: year 2011: page no 87–93.
  3. Sowjanya Gummadi et.al., “Quantification and stability aspects of Luliconazole in bulk and pharmaceutical dosage forms by UV spectroscopy”, Journal of Drug Delivery and Therapeutics. Year 2019; volume 9(2-s): page no 300-306.
  4. Sultan farhana, Chopra himashu, Sharma Gyanendra kumar., “formulation and evaluation of luliconazole microsponge loaded gel for topical drug delivery” Research J. pharm. And tech. 14(11), November 2021, page no 5775-5780.
  5. Karthika.R., Elango.K., Ramesh Kumar K., Rahul.K. Formulation and evaluation of lornoxicammicrosponge tablets for the treatment of arthritis.Int. J. Pharmaceutical innovations. 2013; 3(2):29-40.
  6. Mandava shyamsundar and thavvavedavanthi, “novel approach: microsponge drug delivery system”, international journal of pharmaceutical science and research, IJPSR (2012) volume 3 issue 04, page 967-980.
  7. Vishwakarma et al., Vishwakarma Pramila, Choudhary ramraj, “microsponge: a novel strategy to control the delivery rate of active agents with reduced skin irritancy”, journal of drug delivery and pharmaceutics, 2019, 9(6-s), page 238-247.
  8. Won R (1987). Method for delivering an active ingredient by controlled time release utilizing a novel delivery vehicle which can be prepared by a process utilizing the active ingredient as a porogen. Patent No 4690825 US.
  9. Pradhan SK (2011). Microsponges as the versatile tool for drug deliverysystem. Int. J. Res. Pharm. Chem. 1(2): page no 243-258.
  10. Amrutiya N, Bajaj A, Madan M (2009). Development of microsponges for topical delivery of mupirocin. AAPS Pharm. Sci. Tech. 10: page 402-409.
  11. Aritomi H, Yamasaki Y, Yamada K, Honda H, Koshi M (1996).Developmentof sustained release formulation of chlorpheniramine maleate using powder coated microsponges prepared by dry impact blending method. J. Pharm. Sci. Technol. 56(1): page 49-56.
  12. Jain N, Sharma PK, Banik K (2011). Recent advances on microsponge delivery system. Int. J. Pharm. Sci. Rev. Res.8: page 13-23.
  13. Vyas SP, Khar RK (2002). Targeted and controlled drug delivery: novel carrier systems. CBS Publications, 1st ed., New Delhi, 453.
  14. Kaity S, Maiti S, Ghosh AK, Pal D, Ghosh BS (2010). Microsponges: A novel strategy for drug delivery system. J. Adv. Pharm. Technol. Res.1(3):page 283-290.
  15. Pradhan SK (2011). Microsponges as the versatile tool for drug deliverysystem. Int. J. Res. Pharm. Chem. 1(2): page 243-258.
  16. Patravale VB,Mandawgade SD. Novel cosmetic delivery systems: an application update. Int J Cosmetic Sci 2008;30(1): page 19–33.
  17. Osmani RA,Aloorkar NH,Kulkarni AS,Harkare BR,Bhosale RR. A new cornucopia in topical drug delivery: microsponge technology. Asian J Pharm Sci Technol 2014;4: page 48–60.
  18. Khopade AJ, Jain S and Jain NK: The microsponge: Eastern Pharmacist 1996; page 49-53.
  19. Patil SS, Dandekar V, Kale A and Barhate SD: Microsponges drug delivery system an overview. European Journal of Pharmaceutical and Medical Research 2016;3(8): page 212-221.
  20. Jadhav N, Patel V, Mungekar S, Bhamare G, Karpe M, Kadams V (2013) Microsponge delivery system: an updated review, current status and future prospects. J Sci Innov Res 2(6):page 1097–1110.
  21. Lalitha SK, Shankar M, Likhitha D, Dastagiri J, Babu MN (2016) A current view on microsponge drug delivery system. Eur J Mol Biol Biochem 3(2): page 88–95.
  22. Thakur R, Kumar S, Gaba P (2020) A review: novel method for microsponge drug delivery system. J Pharm Biol Sci 15(4): page 35–44. https://doi.org/10.9790/3008-1504023544.
  23. Christensen MS, Hargens CW, Nacht S and Gans EH: Viscoelastic properties of intact human skin instrumentations, hydration effects and contribution of the stratum corneum. Journal of Investigative Dermatology 1977; 69: page 282-86.
  24. Sato T, Kanke M, Schroeder G and Deluca P: Porous biodegradable microspheres for controlled drug delivery, assessment of processing conditions and solvent removaltechniques. Pharmaceutical Research 1988; (5): page 21-30.
  25. Mishra MK, Shikhri M, Sharma R and Goojar MP: Optimization, formulation development and characterization of eudragitrs 100 loaded microsponges and subsequent colonic delivery. International Journal of Drug Discovery and Herbal Research 2011; 1(1): page 8-13.
  26. Anju Tomar*, Dr. Narendra Mandoria, Kamlesh Dashora, Aashish Singh, Microsponge: A Stable Microscopic Polymeric Delivery System, Int. J. of Pharm. Sci., 2025, Vol 3, Issue 2, 210-223. https://doi.org/10.5281/zenodo.14800431

Photo
Anju Tomar
Corresponding author

Institute of pharmacy, Vikram University, Ujjain

Photo
Dr. Narendra Mandoria
Co-author

Associate professor, Institute of pharmacy, Vikram University, Ujjain

Photo
Kamlesh Dashora
Co-author

Head of department, Institute of pharmacy, Vikram University, Ujjain

Photo
Dr. Praveen Khirwadkar
Co-author

Associate professor, Institute of pharmacy, Vikram University, Ujjain

Photo
Aashish Singh
Co-author

Institute of pharmacy, Vikram University, Ujjain

Anju Tomar*, Dr. Narendra Mandoria, Kamlesh Dashora, Dr. Praveen Khirwadkar, Aashish Singh, Formulation And Evaluation of Dexketoprofen Trometamol Loaded Microsponge Gel, Int. J. of Pharm. Sci., 2025, Vol 3, Issue 3, 66-77. https://doi.org/10.5281/zenodo.14956312

More related articles
Exploring Digital Health Literacy among the Elderl...
Binu K M, H. Doddayya, Akshay J, Nuzhat Fatima, Pranotosh Mondal,...
In-Vitro Evalution Of Tridax Procumbens In The Tre...
AKASH BHAGVAN AHER, SANDIP GANGDHAR LAWRE, ANUSHKA VIJAYKUMAR PHO...
Comprehensive Review On Analytical Methods For De...
Sonali U. Navale, Chetana A. Padekar, Sonali S. Ghuge , Monali S....
Microwave Assisted Synthesis Of New Heterocyclic Compounds ...
Teena Satish Dubey , Prasad Vijay Kate , Runita Sharad karale , Vilas sawale, ...
Nutraceuticals for Obesity: A Comprehensive Review of Mechanisms, Efficacy, and ...
Dhruvi Patel, Tisha Thakkar, Meshwa Trivedi, Disha Patel, Harshangi Parmar, Dhairyashri Kher, ...
Related Articles
Development And Assessment of Natural Herbal Shampoo: A Botanically Based Approa...
Gudisi Rama Krishna, Damu Uma Sankar, Dr. B. Kiran Kumar, Kuna Akash, ...
Study Of Adverse Drug Reaction Of Paracetamol Dose...
Atharv S. Gangarde, Kiran H. Bibave, ...
A Focused Review and Comparative Analysis of Molecular Docking Strategies and So...
Suraj Chilkawar, Dr. Dinesh Chaple, Sneha Tidke, Ayush Umare, Sumit Raut, Shreyash Virutkar, ...
Exploring Digital Health Literacy among the Elderly Population in North Karnatak...
Binu K M, H. Doddayya, Akshay J, Nuzhat Fatima, Pranotosh Mondal, Shifa Anjum, Toufeeq Rasheed, ...
More related articles
Exploring Digital Health Literacy among the Elderly Population in North Karnatak...
Binu K M, H. Doddayya, Akshay J, Nuzhat Fatima, Pranotosh Mondal, Shifa Anjum, Toufeeq Rasheed, ...
In-Vitro Evalution Of Tridax Procumbens In The Treatment Of Urolithisis...
AKASH BHAGVAN AHER, SANDIP GANGDHAR LAWRE, ANUSHKA VIJAYKUMAR PHOLANE, AVISHKAR PARSHARAM BARHATE, S...
Comprehensive Review On Analytical Methods For Determination Of Chlorpheniramin...
Sonali U. Navale, Chetana A. Padekar, Sonali S. Ghuge , Monali S. Ghuge , Gayatri S. Gaikwad , ...
Exploring Digital Health Literacy among the Elderly Population in North Karnatak...
Binu K M, H. Doddayya, Akshay J, Nuzhat Fatima, Pranotosh Mondal, Shifa Anjum, Toufeeq Rasheed, ...
In-Vitro Evalution Of Tridax Procumbens In The Treatment Of Urolithisis...
AKASH BHAGVAN AHER, SANDIP GANGDHAR LAWRE, ANUSHKA VIJAYKUMAR PHOLANE, AVISHKAR PARSHARAM BARHATE, S...
Comprehensive Review On Analytical Methods For Determination Of Chlorpheniramin...
Sonali U. Navale, Chetana A. Padekar, Sonali S. Ghuge , Monali S. Ghuge , Gayatri S. Gaikwad , ...