View Article

Abstract

In today’s context, herbal toothpaste made with natural ingredients is gaining greater public preference compared to synthetic, chemical-based formulations. People consider them safer and more effective for reducing dental caries and protecting against various oral problems common in the present generation. In this formulation, we have incorporated aloe vera gel, clove oil, liquorice, cinnamon oil, tragacanth mucilage, peppermint oil, and honey. These natural extracts exhibit multiple therapeutic properties, including anti-ulcer, anti-cariogenic, antibacterial, and wound-healing activities. In addition to developing this herbal formulation, key physical parameters such as pH, stability, spreadability, foamability, and homogeneity were evaluated to ensure a more effective and stable product. The objective of this project was to prepare and analyze a herbal toothpaste made from selected natural ingredients and to determine its potential in supporting overall oral health.

Keywords

natural ingredients, antimicrobial activity, herbal toothpaste, oral health and evaluation

Introduction

Maintaining oral hygiene is crucial for overall health, and toothpaste plays a key role in daily dental care. In recent times, interest in herbal-based toothpaste has increased because of the potential oral health benefits offered by plant-derived ingredients. These herbal formulations are becoming widely preferred, as they are considered natural, safer, and effective substitutes for traditional chemical-based toothpaste.

Developing and accessing herbal toothpaste has become an important research focus within oral healthcare. Natural ingredients like aloe vera, liquorice, clove oil, and cinnamon oil have long been valued for their therapeutic benefits and are recognized for their antibacterial, anti-inflammatory, and antioxidant activities that support oral well-being. By incorporating these components, herbal toothpaste formulations can enhance oral health through their synergistic natural effects.

The objective of this final year project is to develop and analyze a herbal toothpaste formulated with selected natural ingredients and to determine its potential role in improving oral health. The study includes a thorough assessment of the toothpaste’s physical properties, pH, and microbiological characteristics using suitable evaluation techniques. The results of this work may enhance current understanding of herbal toothpaste formulations and offer meaningful insights into the advantages of incorporating herbal components in oral care products.

The importance of this project stems from its ability to enhance the field of oral healthcare by examining the development and assessment of a herbal toothpaste formulation. The results may offer useful information to dental practitioners, researchers, and consumers who are seeking natural substitutes for conventional oral care products. In addition, this work may pave the way for future studies and innovations in herbal toothpaste formulations aimed at supporting oral health and raising the overall standard of oral care products.

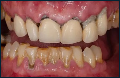
Typical Dental Concerns

Dental issues are widespread and affect people globally. Among the most frequent concerns are tooth decay, gum infections, bad breath, and tooth sensitivity. These conditions can lead to pain, discomfort, and embarrassment, ultimately diminishing an individual’s overall quality of life.

Tooth decay: It develops when the protective enamel layer of the tooth breaks down, allowing bacteria to reach deeper layers and form cavities.

Gum disease: Commonly referred to as gingivitis or periodontitis, this condition is a bacterial infection that attacks the tissues that support and surround the teeth. It may result in swollen, red, and bleeding gums, along with bad breath and, in severe cases, tooth loss.

Tooth sensitivity: This condition arises when enamel erosion or gum recession exposes the dentin and its nerve endings, leading to sharp discomfort when consuming hot, cold, or sugary foods and beverages.

Tooth erosion: This happens when acidic foods, drinks, or other factors gradually wear down the enamel, resulting in sensitivity, changes in tooth color, and a rough or uneven tooth surface.

Bad breath: Also called halitosis, it can result from inadequate oral hygiene, gum infections, dental decay, or various underlying health conditions.

 

 

Fig No. 1: Multiple dental issues

Limitations of commercially available toothpaste

Harsh chemicals: Several commercial toothpaste formulations include strong agents such as sodium lauryl sulphate (SLS), which may irritate oral tissues and lead to inflammation.

Artificial sweeteners and Flavors: Certain toothpaste products contain synthetic flavouring agents and sweeteners that may not be ideal for overall consumer health.

Environmental impact: Manufacturing and discarding standard toothpaste products can harm the environment, especially when they include plastic microbeads or other environmentally unsafe components.

Alternatively, herbal toothpaste may deliver multiple benefits, such as:

Environmental friendliness: Herbal toothpaste can be produced using eco-friendly ingredients and sustainable packaging options.

Natural ingredients: Herbal toothpaste is generally formulated using plant-based components that are mild on oral tissues and free from strong or harmful chemicals.

Holistic benefits: Numerous herbal toothpaste blends include botanicals traditionally valued for supporting oral health, helping to reduce inflammation and combat harmful bacteria.

Objective         

Formulation development: To create an innovative herbal toothpaste using ingredients such as aloe, liquorice, clove oil, cinnamon oil, peppermint oil, tragacanth mucilage, honey, calcium carbonate, glycerine, and distilled water.

Assessment of ingredient effectiveness: To examine the effectiveness of the chosen herbal components with respect to their antimicrobial, anti-inflammatory, and other beneficial properties that support oral health.

Physicochemical analysis: To perform a detailed evaluation of the toothpaste’s physicochemical properties such as pH, texture, and other essential parameters to confirm its quality, uniformity, and overall suitability.

Sensory assessment: To evaluate the sensory characteristics of the developed toothpaste such as taste, flavour, and overall user acceptability in order to determine its appeal and consumer preference.

Comparison with commercial products: To compare the antimicrobial effectiveness of the developed herbal toothpaste with that of existing market brands, including Patanjali and Neem-based toothpastes.

Safety evaluation: To carry out safety testing, including stability analysis, to confirm the shelf-life of the herbal toothpaste and ensure that it is safe for regular oral use.

Formulation refinement: To fine-tune the herbal toothpaste formulation using the evaluation findings and introduce necessary modifications to attain the desired performance, quality, and therapeutic effectiveness.

Documentation and presentation: To thoroughly record the formulation process, evaluation outcomes, and overall project findings, and compile them into a detailed report that also includes suggestions for future research or potential enhancements.

Standard Requirements for Toothpaste

Keep the mouth hygienic and refreshed

Safe, gentle, and irritation-free

Long-lasting effect

Effective stain-removal action

Maintains natural tooth colour

Formulation Procedure

There are two types of toothpaste formulation procedures.

Dry gum method

Wet gum method

The dry gum method is a widely applied approach for preparing toothpaste formulations. Below is the general procedure followed for all herbal toothpaste batches

(F1 = Formulation 1, F2 = Formulation 2, F3 = Formulation 3, F4 = Formulation 4)

using this technique.

Accurately weigh and measure the necessary amounts of each ingredient according to the chosen formulation batch, ensuring precise quantities to obtain the intended final product.

In a mortar and pestle, thoroughly triturate and blend the dry ingredients such as calcium carbonate, liquorice, and tragacanth mucilage until a uniform, homogenous powder mixture is achieved.

Incorporate the liquid components aloe vera gel, clove oil, cinnamon oil, peppermint oil, honey, and glycerine into the mixing vessel.

Gradually introduce the blended dry powders into the liquid components while continuously stirring with a spatula to ensure uniform mixing.

Continue blending the mixture until a consistent, smooth paste forms. If needed, gradually add small amounts of distilled water while stirring to reach the preferred thickness and texture of the toothpaste.

Carefully document the entire formulation process detailing ingredient quantities, steps performed, and observations or results in a clear and comprehensive manner.

Evaluate and interpret the data collected, and formulate conclusions based on the outcomes of the experimental work.

Evaluation for Herbal Toothpaste

Evaluating herbal toothpaste is a crucial step to ensure the product is safe, effective, and meets the required quality standards. This report summarizes the outcomes of various tests performed on the herbal toothpaste formulation. The evaluations included physical assessments, such as foaming ability, spread ability, and homogeneity; chemical analyses, including antimicrobial activity and identification of active constituents; and sensory tests, covering taste, odour, and texture. Additionally, the pH of the toothpaste was measured to determine its potential effect on oral health. The findings from these evaluations provide assurance that the herbal toothpaste is of high quality and suitable for dental care use.

Stability Studies

Stability studies were performed to evaluate the durability and shelf-life of the prepared herbal toothpaste under different storage conditions. The samples were stored following the International Conference on Harmonisation (ICH) guidelines for pharmaceutical stability testing.

Sample Preparation: The prepared herbal toothpaste was produced in bulk and packed into 0.5?g aluminium tubes, which were securely sealed to protect against moisture. For the stability study, a total of five tubes were used, with all samples stored at 25°C and 60% relative humidity (room temperature) for a period of 2 months.

Sensory Evaluation Test

Procedure: A group of trained panellists were given samples of the toothpaste and asked to rate its taste, aroma, and texture on a scale from 1 to 10. Between testing each sample, the evaluators were instructed to rinse their mouths with distilled water to prevent cross-contamination.

Determination of Spreadability

The slip and drag properties of the paste are used to assess spreadability. Approximately 1–2?g of herbal toothpaste was placed between two 10?×?10?cm glass slides stacked together without initial sliding. The slides were then moved in opposite directions. After 3 minutes, the distance the paste had spread (in cm) was measured. The experiment was repeated three times, and the average of the readings was calculated.

Foamability

The quality of the foam was assessed based on its texture, volume, and stability. To measure foaming capacity, 2?g of herbal toothpaste was combined with 5?ml of water in a measuring cylinder and shaken 10 times. The total volume of foam generated was then recorded.

Sharp and edge abrasive particles

To detect any sharp or abrasive components, a small amount of the toothpaste was applied to a finger and rubbed across butter paper over a distance of 15–20?cm. This procedure was repeated at least ten times.

pH Test

The pH of the toothpaste was determined using pH indicator strips to confirm that it lies within the acceptable range for oral care products. The impact of pH on the toothpaste’s antimicrobial activity and its compatibility with the oral environment was also assessed.

Anti-microbial activity

The in vitro antibacterial activity of the prepared toothpaste was evaluated using the disc diffusion method against pathogenic bacterial strains Escherichia coli and Staphylococcus aureus on nutrient agar plates. Initially, E. coli and S. aureus cultures were grown and allowed to multiply on the agar medium. The plates were first streaked with the bacterial inoculum, and then 5?mm wells were created in the agar using a sterile cork borer. The surface of each well was gently rotated to ensure even distribution of the inoculum. The prepared herbal toothpaste and commercial toothpaste samples were then placed into the wells. Plates were sealed with paraffin, labelled, and incubated at 37?°C for 24 hours. After incubation, the plates were examined, and the diameter of the zone of inhibition (ZOI) around each sample was measured in millimetres using a ruler.

CONCLUSION

This section presents and interprets the findings obtained from the evaluation of the prepared herbal toothpaste formulations. Several quality assessment tests were conducted to determine the overall performance and effectiveness of the formulations, including foaming ability, antimicrobial activity, spreadability, pH analysis, and organoleptic characteristics. The results offer important information regarding how well the toothpaste foams, its effectiveness against microorganisms, its ease of application, its acidity or alkalinity, and its sensory appeal. The discussion elaborates on these outcomes, compares them with the expected standards, and highlights any significant observations. The results are examined in the context of the study’s objectives to determine the formulation’s potential in addressing oral health issues and to identify areas where improvements may be needed.

pH: According to the Indian Pharmacopoeia (IP), the recommended pH range for toothpaste generally falls between 6.0 and 8.0, though the exact range may vary depending on the formulation’s specific guidelines. A pH value of 8 is considered acceptable and falls within this standard range. A slightly alkaline pH, such as 8, helps create an oral environment that is less conducive to the growth of acid-producing bacteria, thereby supporting oral health and reducing the risk of dental problems like tooth decay.

REFERENCES

  1. Soneta SP, Hugar SM, Hallikerimath S, Gokhale N, Joshi RS, Uppin C. A Comparative Evaluation of Remineralizing Potential of Commonly Used Fluoridated Toothpaste, Herbal Toothpaste, Toothpaste with Zinc Hydroxyapatite, and Toothpaste with Calcium Sucrose Phosphate in Children: A Scanning Electronic Microscopic Study. Int J Clin Pediatr Dent. 2022;15(Suppl 2):S158-S163. doi: 10.5005/jp-journals-10005-2143. PMID: 35645532; PMCID: PMC9108835.
  2. Korkmaz FM, Ozel MB, Tuzuner T, Korkmaz B, Yayli N. Antimicrobial activity and volatile constituent analysis of three commercial herbal toothpastes containing Aloe vera L. and Fragaria vesca L. extracts. Niger J Clin Pract. 2019 May;22(5):718-726. doi: 10.4103/njcp.njcp_557_18. PMID: 31089029.
  3. Vajrabhaya LO, Korsuwannawong S, Ruangsawasdi N, Phruksaniyom C, Srichan R. The efficiency of natural wound healing and bacterial biofilm inhibition of Aloe vera and Sodium Chloride toothpaste preparation. BMC Complement Med Ther. 2022 Mar 12;22(1):66. doi: 10.1186/s12906-022-03548-7. PMID: 35279139; PMCID: PMC8918318.
  4. Biria M, Rezvani Y, Roodgarian R, Rabbani A, Iranparvar P. Antibacterial effect of an herbal toothpaste containing Bamboo salt: a randomized double-blinded controlled clinical trial. BMC Oral Health. 2022 May 19;22(1):193. doi: 10.1186/s12903-022-02224-z. PMID: 35590307; PMCID: PMC9121567.
  5. Kengadaran S, Anusha D, Baskar K, Muthukrishnan K, Pooraninagalakshmi J, Prabakar J. Comparative effectiveness of herbal and conventional toothpaste on prevention of dental caries: systematic review and meta-analysis. Indian J Dent Res. 2022 Jul-Sep;33(3):332-337. doi: 10.4103/ijdr.ijdr_404_21. PMID: 36656198.
  6. Kooshki F, Tabatabaei FS, Tajik S, Aayan A. The comparison of antimicrobial effects of herbal and chemical agents on toothpaste: An experimental study. Dent Res J (Isfahan). 2018 Jul-Aug;15(4):289-294. PMID: 30123307; PMCID: PMC6073949.
  7. Sreenivasan PK, Haraszthy VI, Rayela CC. Antimicrobial effects in oral microenvironments by a novel herbal toothpaste. Contemp Clin Trials Commun. 2020 Dec 2;21:100680. doi: 10.1016/j.conctc.2020.100680. PMID: 33511298; PMCID: PMC7815994.
  8. Oluwasina OO, Idris SO, Ogidi CO, Igbe FO. Production of herbal toothpaste: Physical, organoleptic, phyto-compound, and antimicrobial properties. Heliyon. 2023 Feb 28;9(3):e13892. doi: 10.1016/j.heliyon.2023.e13892. PMID: 36923892; PMCID: PMC10009007.
  9. Kooshki F, Tabatabaei FS, Tajik S, Aayan A. The comparison of antimicrobial effects of herbal and chemical agents on toothpaste: An experimental study. Dent Res J (Isfahan). 2018 Jul-Aug;15(4):289-294. PMID: 30123307; PMCID: PMC6073949.
  10. Adeleye OA, Bamiro O, Akpotu M, Adebowale M, Daodu J, Sodeinde MA. Physicochemical Evaluation and Antibacterial Activity of Massularia acuminata Herbal Toothpaste. Turk J Pharm Sci. 2021 Sep 1;18(4):476-482. doi: 10.4274/tjps.galenos.2020.42966. PMID: 34496554; PMCID: PMC8430410.
  11. Sadeghi-Nejad B, Moghimipour E, Yusef Naanaie S, Nezarat S. Antifungal and antibacterial activities of polyherbal toothpaste against oral pathogens, in vitro. Curr Med Mycol. 2018 Jun;4(2):21-26. doi: 10.18502/cmm.4.2.65. PMID: 30324153; PMCID: PMC6181064.
  12. Saliasi I, Llodra JC, Bravo M, Tramini P, Dussart C, Viennot S, Carrouel F. Effect of a Toothpaste/Mouthwash Containing Carica papaya Leaf Extract on Interdental Gingival Bleeding: A Randomized Controlled Trial. Int J Environ Res Public Health. 2018 Nov 27;15(12):2660. doi: 10.3390/ijerph15122660. PMID: 30486374; PMCID: PMC6313435.
  13. Ozaki F, Pannuti CM, Imbronito AV, Pessotti W, Saraiva L, de Freitas NM, Ferrari G, Cabral VN. Efficacy of a herbal toothpaste on patients with established gingivitis--a randomized controlled trial. Braz Oral Res. 2006 Apr-Jun;20(2):172-7. doi: 10.1590/s1806-83242006000200015. PMID: 16878213.
  14. Vajrabhaya LO, Korsuwannawong S, Ruangsawasdi N, Phruksaniyom C, Srichan R. The efficiency of natural wound healing and bacterial biofilm inhibition of Aloe vera and Sodium Chloride toothpaste preparation. BMC Complement Med Ther. 2022 Mar 12;22(1):66. doi: 10.1186/s12906-022-03548-7. PMID: 35279139; PMCID: PMC8918318.
  15. Karada?l?o?lu Ö?, Ulusoy N, Ba?er KHC, Hano?lu A, ??k ?. Antibacterial Activities of Herbal Toothpastes Combined with Essential Oils against Streptococcus mutans. Pathogens. 2019 Feb 1;8(1):20. doi: 10.3390/pathogens8010020. PMID: 30717107; PMCID: PMC6471008.
  16. Kalliath C, Mukunda A, Pynadath M, Venugopal V, Prethweeraj J. Comparison between the effect of commercially available chemical teeth whitening paste and teeth whitening paste containing ingredients of herbal origin on human enamel. Ayu. 2018 Apr-Jun;39(2):113-117. doi: 10.4103/ayu.AYU_82_18. PMID: 30783367; PMCID: PMC6369603.

Reference

  1. Soneta SP, Hugar SM, Hallikerimath S, Gokhale N, Joshi RS, Uppin C. A Comparative Evaluation of Remineralizing Potential of Commonly Used Fluoridated Toothpaste, Herbal Toothpaste, Toothpaste with Zinc Hydroxyapatite, and Toothpaste with Calcium Sucrose Phosphate in Children: A Scanning Electronic Microscopic Study. Int J Clin Pediatr Dent. 2022;15(Suppl 2):S158-S163. doi: 10.5005/jp-journals-10005-2143. PMID: 35645532; PMCID: PMC9108835.
  2. Korkmaz FM, Ozel MB, Tuzuner T, Korkmaz B, Yayli N. Antimicrobial activity and volatile constituent analysis of three commercial herbal toothpastes containing Aloe vera L. and Fragaria vesca L. extracts. Niger J Clin Pract. 2019 May;22(5):718-726. doi: 10.4103/njcp.njcp_557_18. PMID: 31089029.
  3. Vajrabhaya LO, Korsuwannawong S, Ruangsawasdi N, Phruksaniyom C, Srichan R. The efficiency of natural wound healing and bacterial biofilm inhibition of Aloe vera and Sodium Chloride toothpaste preparation. BMC Complement Med Ther. 2022 Mar 12;22(1):66. doi: 10.1186/s12906-022-03548-7. PMID: 35279139; PMCID: PMC8918318.
  4. Biria M, Rezvani Y, Roodgarian R, Rabbani A, Iranparvar P. Antibacterial effect of an herbal toothpaste containing Bamboo salt: a randomized double-blinded controlled clinical trial. BMC Oral Health. 2022 May 19;22(1):193. doi: 10.1186/s12903-022-02224-z. PMID: 35590307; PMCID: PMC9121567.
  5. Kengadaran S, Anusha D, Baskar K, Muthukrishnan K, Pooraninagalakshmi J, Prabakar J. Comparative effectiveness of herbal and conventional toothpaste on prevention of dental caries: systematic review and meta-analysis. Indian J Dent Res. 2022 Jul-Sep;33(3):332-337. doi: 10.4103/ijdr.ijdr_404_21. PMID: 36656198.
  6. Kooshki F, Tabatabaei FS, Tajik S, Aayan A. The comparison of antimicrobial effects of herbal and chemical agents on toothpaste: An experimental study. Dent Res J (Isfahan). 2018 Jul-Aug;15(4):289-294. PMID: 30123307; PMCID: PMC6073949.
  7. Sreenivasan PK, Haraszthy VI, Rayela CC. Antimicrobial effects in oral microenvironments by a novel herbal toothpaste. Contemp Clin Trials Commun. 2020 Dec 2;21:100680. doi: 10.1016/j.conctc.2020.100680. PMID: 33511298; PMCID: PMC7815994.
  8. Oluwasina OO, Idris SO, Ogidi CO, Igbe FO. Production of herbal toothpaste: Physical, organoleptic, phyto-compound, and antimicrobial properties. Heliyon. 2023 Feb 28;9(3):e13892. doi: 10.1016/j.heliyon.2023.e13892. PMID: 36923892; PMCID: PMC10009007.
  9. Kooshki F, Tabatabaei FS, Tajik S, Aayan A. The comparison of antimicrobial effects of herbal and chemical agents on toothpaste: An experimental study. Dent Res J (Isfahan). 2018 Jul-Aug;15(4):289-294. PMID: 30123307; PMCID: PMC6073949.
  10. Adeleye OA, Bamiro O, Akpotu M, Adebowale M, Daodu J, Sodeinde MA. Physicochemical Evaluation and Antibacterial Activity of Massularia acuminata Herbal Toothpaste. Turk J Pharm Sci. 2021 Sep 1;18(4):476-482. doi: 10.4274/tjps.galenos.2020.42966. PMID: 34496554; PMCID: PMC8430410.
  11. Sadeghi-Nejad B, Moghimipour E, Yusef Naanaie S, Nezarat S. Antifungal and antibacterial activities of polyherbal toothpaste against oral pathogens, in vitro. Curr Med Mycol. 2018 Jun;4(2):21-26. doi: 10.18502/cmm.4.2.65. PMID: 30324153; PMCID: PMC6181064.
  12. Saliasi I, Llodra JC, Bravo M, Tramini P, Dussart C, Viennot S, Carrouel F. Effect of a Toothpaste/Mouthwash Containing Carica papaya Leaf Extract on Interdental Gingival Bleeding: A Randomized Controlled Trial. Int J Environ Res Public Health. 2018 Nov 27;15(12):2660. doi: 10.3390/ijerph15122660. PMID: 30486374; PMCID: PMC6313435.
  13. Ozaki F, Pannuti CM, Imbronito AV, Pessotti W, Saraiva L, de Freitas NM, Ferrari G, Cabral VN. Efficacy of a herbal toothpaste on patients with established gingivitis--a randomized controlled trial. Braz Oral Res. 2006 Apr-Jun;20(2):172-7. doi: 10.1590/s1806-83242006000200015. PMID: 16878213.
  14. Vajrabhaya LO, Korsuwannawong S, Ruangsawasdi N, Phruksaniyom C, Srichan R. The efficiency of natural wound healing and bacterial biofilm inhibition of Aloe vera and Sodium Chloride toothpaste preparation. BMC Complement Med Ther. 2022 Mar 12;22(1):66. doi: 10.1186/s12906-022-03548-7. PMID: 35279139; PMCID: PMC8918318.
  15. Karada?l?o?lu Ö?, Ulusoy N, Ba?er KHC, Hano?lu A, ??k ?. Antibacterial Activities of Herbal Toothpastes Combined with Essential Oils against Streptococcus mutans. Pathogens. 2019 Feb 1;8(1):20. doi: 10.3390/pathogens8010020. PMID: 30717107; PMCID: PMC6471008.
  16. Kalliath C, Mukunda A, Pynadath M, Venugopal V, Prethweeraj J. Comparison between the effect of commercially available chemical teeth whitening paste and teeth whitening paste containing ingredients of herbal origin on human enamel. Ayu. 2018 Apr-Jun;39(2):113-117. doi: 10.4103/ayu.AYU_82_18. PMID: 30783367; PMCID: PMC6369603.

Photo
Pulkit Singh Rajput
Corresponding author

Rungta Institute of pharmaceutical science and Research

Photo
Naman Nagvanshi
Co-author

Rungta Institute of Pharmaceutical Sciences and Research

Photo
Varsha Sahu
Co-author

Rungta Institute of Pharmaceutical Sciences and Research

Photo
Sakshi Singh
Co-author

Rungta Institute of Pharmaceutical Sciences and Research

Photo
Anurag Aman Sahu
Co-author

Rungta Institute of Pharmaceutical Science

Photo
Dr. Gyanesh Kumar Sahu
Co-author

Rungta Institute of Pharmaceutical Sciences and Research

Pulkit Singh Rajput, Naman Nagvanshi, Varsha Sahu, Sakshi Singh, Anurag Aman Sahu, Dr. Gyanesh Kumar Sahu, Review of Formulation and Evaluation of Herbal Toothpaste, Int. J. of Pharm. Sci., 2026, Vol 4, Issue 4, 849-855 https://doi.org/10.5281/zenodo.19436076

More related articles
A Cross-Sectional Survey of Knowledge and Attitude...
Dr. Aishvarya Vijayakumar, Dr. Senthilkumar S. K., Subashe E., Su...
Preclinical Evaluation of Eclipta Alba Against Cur...
Tanvi Patil, Vaishnavi Kumbhar , Dr. Anilkumar Shinde, Aajit Pati...
Formulation and Characterization of Herbal Tablets...
Ms. Aishwarya L. Thakur, Mr. Omkar P. Salunkhe, Ms. Sanchita N. P...
A Review on Formulation and Evaluation of Floating Tablet as Gastro Retentive Dr...
Dr D.Rama Brahma Reddy , D.Tejaswi, S. Vamsi, Ch. Naga sai manikanta, M. Chetan, B. Adarsh Babu, J. ...
Related Articles
Review on Artificial Intelligence (AI) in Pharmaceutical Field...
Suraj Zunzulde, Tanuja Tandale, Dr. Sujit Kakade, Dr. Ashok Bhosale, ...
Naegleria Fowleri And Primary Amoebic Meningoencephalitis: Emerging Threats in A...
R. Subashini, S. Arthanareeswaran, V. Sandhiya, C. Shifa Sidhiq Fatima, Y. Sneha, B. Rashmi Avantica...
A Cross-Sectional Survey of Knowledge and Attitude Towards Polycystic Ovary Synd...
Dr. Aishvarya Vijayakumar, Dr. Senthilkumar S. K., Subashe E., Sudha S., Sureshkumar K., Suruthi E.,...
More related articles
A Cross-Sectional Survey of Knowledge and Attitude Towards Polycystic Ovary Synd...
Dr. Aishvarya Vijayakumar, Dr. Senthilkumar S. K., Subashe E., Sudha S., Sureshkumar K., Suruthi E.,...
Preclinical Evaluation of Eclipta Alba Against Curdlan Induced Spondyloarthritis...
Tanvi Patil, Vaishnavi Kumbhar , Dr. Anilkumar Shinde, Aajit Patil, ...
Formulation and Characterization of Herbal Tablets for the Management of Anti-mi...
Ms. Aishwarya L. Thakur, Mr. Omkar P. Salunkhe, Ms. Sanchita N. Pednekar, Ms. Shruti C. Gawade, Ms. ...
A Cross-Sectional Survey of Knowledge and Attitude Towards Polycystic Ovary Synd...
Dr. Aishvarya Vijayakumar, Dr. Senthilkumar S. K., Subashe E., Sudha S., Sureshkumar K., Suruthi E.,...
Preclinical Evaluation of Eclipta Alba Against Curdlan Induced Spondyloarthritis...
Tanvi Patil, Vaishnavi Kumbhar , Dr. Anilkumar Shinde, Aajit Patil, ...
Formulation and Characterization of Herbal Tablets for the Management of Anti-mi...
Ms. Aishwarya L. Thakur, Mr. Omkar P. Salunkhe, Ms. Sanchita N. Pednekar, Ms. Shruti C. Gawade, Ms. ...