View Article

Abstract

The present study was undertaken to explore the phytochemical constituents, pharmacological efficacy, and formulation development of Centella asiatica for its wound healing potential. Leaves of C. asiatica were collected, authenticated, and extracted using Soxhlet apparatus with ethanol as the solvent. Physicochemical parameters, including extractive values, ash content, and loss on drying, were determined to establish quality standards. Phytochemical screening confirmed the presence of key bioactive compounds such as flavonoids, alkaloids, tannins, saponins, and triterpenoids. Topical herbal formulations were developed at two different concentrations (2% and 5%) of the ethanolic extract and evaluated using an excision wound model in Wistar rats. The formulations demonstrated effective wound healing activity, with the 5% formulation showing comparable results to the standard treatment (Povidone-iodine). The study also confirmed the non-toxic nature of the extract through acute dermal toxicity studies. Thin Layer Chromatography (TLC) was used to identify and confirm active phytoconstituents. The findings suggest that Centella asiatica possesses significant wound healing properties and holds potential for development as a safe, plant-based topical formulation. This work supports the traditional medicinal use of C. asiatica and provides a scientific basis for its application in wound management.

Keywords

Centella asiatica, wound healing, phytochemical screening, herbal formulation, Soxhlet extraction, topical application, triterpenoids, excision wound model, TLC analysis, dermal toxicity DOI:

Introduction

Phytotherapy, another name for herbal medicine, is the utilization of plants and plant extracts for therapeutic purposes. Different plant parts, including leaves, roots, bark, seeds, and flowers, can be used for these therapies. Plants contain bioactive substances called phytochemicals that support their medicinal properties.[1]. Skin wound is the common health issue with loss of epithelial surface or damage to underlying tissue. Skin wound can be due to accidental conditions, cuts with a sharp object such as knife, surgical blades etc. The complex process by which the body replaces and repairs damaged tissue after an injury is known as wound healing.[2,3] It entails a series of biological processes meant to repair the damaged area's structural soundness and functional ability. Haemostasis (blood clotting), inflammation, proliferation (new tissue development), and remodelling (new tissue maturation) are the stages that the process usually goes through.[4,5]. Centella Asciatica (Fig-1), commonly known as Gotu Kola, is a perennial herbaceous plant native to Asia, particularly found in tropical and subtropical regions. It is revered for its multifaceted therapeutic properties, prominently as a potent wound healer. The herb stimulates collagen synthesis, facilitating faster wound closure, and reduces scar formation by enhancing epithelialization. Its anti-inflammatory effects are well-documented, beneficial in treating conditions like arthritis and various skin inflammations[6].  In recent days there are several studies had been done to explore therapeutic potential of Centella Asciatica. M. Ramnathan et al.(2007) explored neuroprotective role of Centella Asciatica in monosodium glutamate treated female sprawge dawley rats [7]. Paul et al. (2015) evaluated the anxiolytic activity of Centella Asciatica in albino rats and study confirms the active principle present in the plant has anxiolytic activity [6]. Deka et al. (2017) studied the anti-convulsant effect of aqueous extract of Centella Asciatica in albino rats and study revealed the pharmacological potential of the plant and confirms the effect [8].

Fig- 1: Centella Asciatica leaves

  1. MATERIALS AND METHOD

2.1 Collection and Authentication of the Plant

The leaves of Centella Asciatica were collected from a nearby botanical garden. Authentication of the plant was done at regional Botanical Survey of India, Prayagraj, U.P. Upon collection, the leaves were thoroughly washed with tap water to remove any dirt or contaminants. Subsequently, they were dried in the shade at room temperature for ten days until fully dehydrated. Once dried, the leaves were coarsely ground into a powdered form and stored in a paper bag.

2.2 Physicochemical Evaluation of Plant Extract

The extract is noted to be slightly fibrous in nature, presenting a texture that is typical of herbal extracts. Its color ranges from dark green to brownish-green, reflecting its botanical origin. In terms of odor, the extract emits a mild, earthy scent, characteristic of many plant-derived substances. Upon tasting, it is described as bitter or slightly astringent, which is consistent with its traditional medicinal use. These attributes contribute to its recognition and utilization in various formulations aimed at harnessing its therapeutic properties. Preliminary physicochemical evaluation such as loss on drying, ash value, moisture content, foreign matters was done according to procedure recommended by Indian Pharmacopoeia.  Percentage loss on drying was calculated using following formula-

% loss on drying= weight loss after drying/initial weight of sample × 100

2.3 Extractive Values

The extractive values of Centella Asciatica leaves were determined as 15.14% w/w for ethanol and 12.16% w/w for water. These values signify the percentage of soluble constituents extracted from the plant material using ethanol and water, respectively. They provide insights into the extract's composition and its solubility in different solvents, which is important for understanding its phytochemical profile and potential pharmacological applications.

2.4 Preparation of Extract

A coarsely grounded plant material was extracted with 95% ethanol and water separately in a soxhlet apparatus. After extraction, solvent was evaporated into a rotatory evaporator and concentrated over a waterbath at 40-45 oC. Concentrated semisolid mass of plant extract was collected into a container and stored into a deep freezer for further utilization.[9]

2.5 Phytochemical Screening

Plant extract was utilized for screening for presence of various phytochemicals such as alkaloids, glycosides, flavonoids, carbohydrates, tannins, phenolic compounds, protein and amino acids etc. by using various phytochemical tests prescribed by standard literatures.[10], [11]

Table 1: Phytochemical Tests

Phytochemical Group

Sample Preparation

Test

Procedure

Observation

Carbohydrates

500 mg extract in 5 ml distilled water, filtered

Molisch's Test [12]

Add Molisch's reagent, followed by concentrated sulfuric acid

Violet ring at interface

 

Fehling solution A & B

Fehling's Test

Add Fehling's solution and heat in water bath

Red precipitate

Glycosides

0.5 g extract hydrolyzed with 20 ml 0.1N HCl, filtered

Modified Borntrager's Test[13]

Mix filtrate with ferric chloride solution, heat, cool, and shake with benzene

Pink or cherry color in benzene layer

 

Ferric chloride

Killer Killiani Test

Shake extract with acetic acid and ferric chloride

Blue layer and red solution at interface

Alkaloids

0.5 g extract dissolved in 10 ml 0.1N HCl, filtered

Mayer's Test[14]

Treat filtrate with Mayer's reagent

Creamy precipitate

 

Potassium bismuth iodide

Dragendorff's Test

Add Dragendorff's reagent

Red precipitate

Phytosterols and Triterpenoids

0.5 g extract in chloroform

Salkowski Test[15]

Add concentrated sulfuric acid

Reddish-brown or golden-yellow color in lower layer

Proteins and Amino Acids

100 mg extract in water, filtered

Millon's Test[16]

Heat with Millon's reagent

White precipitate turning red upon heating

Phenolics and Tannins

100 mg extract boiled in 1 ml distilled water, filtered

Ferric Chloride Test[17]

Add ferric chloride solution

Blue-black color

Flavonoids

Extract sample

Alkaline Reagent Test[18]

Add sodium hydroxide solution, then dilute HCl

Yellow color, which turns colorless with HCl

Saponins

Extract sample

Foam Test[19]

Shake extract vigorously with distilled water for 15 minutes

Formation of 1 cm foam layer

2.6 Selection of Animal

Wistar rats of both gender male and female weighing between 220-270 grams were housed in pairs under controlled environmental conditions at a temperature of 24°C. They had ad libitum access to food and water. For acute food-only tests, the animals were fasted for four hours prior, and experiments were conducted during the light cycle (08:00-16:00 h). Animal care and research procedures followed guidelines established by CPCSEA (Committee for the Purpose of Control and Supervision of Experiments on Animals) and IAEC (Institutional Animal Ethics Committee). The rats were housed individually in sanitized cages with appropriate bedding material replaced every three weeks or as needed with dry bedding to maintain cleanliness and comfort.[20]

2.7 Grouping and dosing of Animals

The animals were divided into 4 groups each consisting of six animals.

Group I - Received only vehicle (Normal saline)

Group II- (Normal saline) + Povidone iodine 5% ointment

Group III - (Normal saline) + with Formulation (100mg/kg extract ointment)

Group IV - (Normal Saline) + With Formulation (400mg/kg extract ointment)

2.8 Preparation of Ointment

In a beaker over a water bath, all the components (Table-2) were heated in a decreasing order of melting points while being constantly stirred. After cooling in a mortar, the mixture was continually triturated with a pestle to achieve homogeneity. After that, 10g of the extract was added to a small quantity of ointment base, and it was triturated. The leftover ointment base was added and continually mixed at the last stage of the procedure and physical evaluation of the formulation was done, then stored in a clean container for topical treatment during the experiment

Table-2: Formula for simple ointment B.P.

Ingredients

Quantity used

Wool fat

10g

Hard paraffin

10g

White soft paraffin

170g

Cetostearyl alcohol

10g

2.9 Excision wound model

An excision wound is a type of wound created by surgically removing a portion of tissue, typically in experimental settings to study wound healing processes or evaluate the efficacy of wound treatments. In research involving animal models like Wistar rats, excision wounds are often standardized by removing a circular or rectangular area of skin, ensuring uniformity in size and depth across experimental subjects. These wounds are left to heal naturally or are treated with various substances to assess their impact on wound closure, inflammation, and tissue regeneration. The healing process of excision wounds is monitored by measuring wound contraction, epithelialization, and other relevant parameters over time. This experimental approach helps researchers understand wound healing mechanisms and develop potential therapies for accelerating wound closure and tissue repair. Wistar rats were selected for the study, and their dorsal thoracic hair was removed under sedation using Diethyl Ethyl Tertiary Butyl. A circular wound was created under sterile conditions, and the wound areas were promptly assessed and noted. The rats were divided into four groups (n=6 per group). Group I served as the control and received only the base treatment. Groups II, III, and IV were treated with Test I (standard drug), ethanol Leaves extract, and formulation-2 and formulation-4 extracts respectively. Treatments were administered twice daily for 26 days, with wound area measurements recorded every four days using the tracking paper method [21,22].

  1. RESULTS AND DISCUSSIONS

3.1. Physico-Chemical Evaluation of Crude extracts

Phtyo-medication depends intensely on plants as one of its most fundamental segments, and these prescriptions are gotten from an assortment of plant parts. Centella asiatica leaves extract exhibits physical characteristics that are commonly observed in herbal medicine preparations. The extract is noted to be slightly fibrous in nature, presenting a texture that is typical of herbal extracts. Its color ranges from dark green to brownish-green, reflecting its botanical origin. In terms of odor, the extract emits a mild, earthy scent, characteristic of many plant-derived substances. Upon tasting, it is described as bitter or slightly astringent, which is consistent with its traditional medicinal use. These attributes contribute to its recognition and utilization in various formulations aimed at harnessing its therapeutic properties.

Table 2. Physical Test of Crude extract

Crude drugs

Physical Test

Nature

Colour

Odour

Taste

Centella asiatica leaves extract

slightly fibrous

Dark green to brownish-green

Mild, earthy

Bitter or slightly astringent.

3.2 Extractive Values

The extractive values of Centella asiatica leaves were determined as 15.14% w/w for ethanol and 12.16% w/w for water. These values signify the percentage of soluble constituents extracted from the plant material using ethanol and water, respectively. They provide insights into the extract's composition and its solubility in different solvents, which is important for understanding its phytochemical profile and potential pharmacological applications.

Table 3: Extractive Values

Crude drugs

Ethanol %w/w

Water % w/w

Centella asiaticaleaves extract

15.14

12.16

3.3. Loss on Drying and Foreign Organic Matter

Centella asiatica leaves extract exhibited a loss on drying of 7.25% w/w and contained 2.25% w/w of foreign matter. Loss on drying indicates the percentage of weight lost when the extract is heated to remove moisture, highlighting its moisture content. The presence of foreign matter at 2.25% w/w denotes materials other than the desired plant components, which are typically undesired and could potentially affect the extract's purity and quality. These parameters are crucial in assessing the extract's stability, handling, and suitability for various applications in pharmaceutical and herbal formulations.

Table 4: Loss on Drying and Foreign Organic Matter

Crude drugs

Loss on drying (% w/w) *

Foreign matter (% w/w) *

Centella asiatica leaves extract

7.25

2.25

3.4 Total Ash, Acid Insoluble Ash and Water-Soluble Ash Values

These values indicate the inorganic residue left after complete combustion of the extract. Total ash reflects both organic and inorganic components, while water soluble ash indicates the portion of ash that dissolves in water, typically consisting of salts like potassium and sodium. Acid insoluble ash represents the portion of ash that remains after treating with acid, primarily composed of silica and other insoluble materials. These parameters are important in evaluating the purity, quality, and presence of mineral content in herbal extracts like Centella asiatica, which are essential for their medicinal and therapeutic applications.

Table 5: Total Ash, Acid Insoluble Ash and Water-Soluble Ash Values

Crude drugs

Total ash value % w/w

Water soluble ash % w/w

Acid insoluble ash value % w/w

Centella asiatica leaves extract

4.57

5.66

3.15

3.5 Phytochemical Screening

Plants are known to contain an assortment of essential metabolites used by creatures and people, like sugar and lipids. They likewise incorporate an enormous number of optional metabolites that have physiological impacts. Every one of the three plants were exposed to a subjective phytochemical test, which uncovered the presence of an assortment of metabolites. Substance tests were performed on the entirety of the concentrates of the chose therapeutic plant, and the discoveries are introduced in the table beneath. Phytochemical examines uncovered that the entirety of the plants contemplated contain flavonoids, alkaloids, and steroids shown in table that help wound mending.

Table 6. Phytochemical analysis of extract of Centella asiatica

S. No

Chemical Tests

Centella asiatica extract

Ethanol

1.

Tests for Steroids and Triterpenoids:

 

• Liebermann's Burchard Test

+

• Salkowski Test

+

2.

Test for Saponins:

 

• Foam Test

+

3.

Tests for Alkaloids:

 

• Hager's Test

+

• Mayer's Test

+

4.

Tests for Glycosides:

 

• Borntrager's Test

-

• Keller Killiani Test

-

5.

Tests for Tannins and Phenolic compounds:

 

• Gelatin Test

+

• Ferric Chloride Test

+

• Lead Acetate Test

+

• Dilute Nitric acid Test

+

6.

Tests for Flavonoids:

 

• Ferric chloride Test

+

• Alkaline reagent Test

+

• Lead acetate Test

+

7.

Tests for Proteins:

 

• Biuret Test

-

• Xanthoproteic Test

-

8.

Test for Carbohydrates:

 

• Fehling Test

-

Where, + = Present; - = Absent

4. TLC of Centella asiatica leaves extract

To separate ingredients which presently in the hydroalcoholic extract of Centella asiatica leaves, several mobile phases were used & results are given below in table 7.

Fig. 2 TLC of Centella asiatica leaves extract

Table 7. Composition, stationary phase & Rf Value of TLC of Acacia nilotica leaves extract

Sl. No.

Composition of mobile phase

Stationary Phase

Rf Value

1.

Chloroform: Methanol

(1 : 9 v/v)

Silica Gel G

0.26, 0.36, 0.76

2.

Methanol: Chloroform: Hexane

(7 : 2 : 1 v/v/v)

Silica Gel G

0.34, 0.79

3.

Ethyl acetate : Toluene : Formic acid

(6 : 1: 1.5 v/v/v)

Silica Gel G

0.44, 0.84

4.

Ethylacetate : Methanol :Water : Glacial acetic acid

(3.5 : 2 :1 : 2 v/v/v/v)

Silica Gel G

0.43, 0.82

5.

Toluene : Ethyl  acetate : Formic acid : Methanol (4 : 3 : 0.5 : 0.5 v/v/v/v)

Silica Gel G

0.63, 0.97

6.

Chloroform : Pyridine

(5 : 2 v/v)

Silica Gel G

0.405, 0.81

  1. Toxicity Study

The results of the study, summarized in the table, indicate that at all time points (1 hour, 24 hours, 48 hours, and 72 hours) following application of the Centella asiatica formulation:

  • Redness: No visible signs of redness were observed on the skin of the rats.
  • Patches: There were no patches or areas of irritation noted on the skin.
  • Mortality: No deaths occurred among the animals during the observation period.

These findings suggest that the Centella asiatica formulation did not elicit any irritant effects on the skin of the rats under the conditions tested. This indicates a favorable safety profile regarding dermal irritation, supporting its potential application in topical formulations without causing significant skin irritation or adverse reactions.

Table 8: Acute Toxicity Studie scentella Asiatica

S.no

Time intervals

Redness

Patches

Mortality

1.

1 h after

No effect

No irritancy

No mortality

2.

24 h after

No effect

No irritancy

No mortality

3.

48 h after

No effect

No irritancy

No mortality

4.

72 h after

No effect

No irritancy

No mortality

6.Preliminary Pharmacological Screening of Extracts

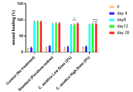
The wound healing progression was evaluated by measuring the percentage of wound contraction at specific time intervals (Day 0, Day 4, Day 8, Day 12, and Day 20) for each treatment group. The control group (no treatment) exhibited slow and limited wound healing. Wound contraction increased marginally from 9.51% on Day 0 to 14% on Day 4, followed by a sharp rise to 94% by Day 8, and reaching 95% by Day 12, with no further improvement by Day 20. The standard treatment group (Povidone-iodine) demonstrated a slightly more consistent healing profile. It showed an increase from 12.8% on Day 0 to 19% on Day 4, followed by 87% on Day 8, and progressing to 89% by Day 12 and 90% by Day 20. While the contraction values were slightly lower than the control by Day 8, the earlier time points suggest more steady initial healing. The C. asiatica Low Dose group (2%) started at 11.12% on Day 0, increasing to 17% on Day 4, then showing 84% contraction by Day 8, and improving to 85% by Day 12 and 89% by Day 20. This group showed healing trends similar to the standard treatment, with slightly lower values at all time points. The C. asiatica High Dose group (5%) began with 13% wound contraction on Day 0, increasing to 18% on Day 4, followed by 85% on Day 8, and reaching 87% by Day 12 and 88% by Day 20. The high dose formulation exhibited faster early healing than the low dose but showed a plateau similar to the standard group by the end of the study. Overall, all treatment groups demonstrated wound healing over time. The control group showed a surprisingly rapid increase by Day 8, possibly due to natural contraction or spontaneous healing. However, the C. asiatica-treated groups, particularly at 5%, showed consistent and steady healing, supporting the extract’s therapeutic potential, though none outperformed the control by Day 20 in absolute values.

Table 9: Effect of Centella asiatica Extract on Percent Wound Contraction of Excision Wound Model in Rats

Treatment Group

Day 0 (%)

Day 4(%)

Day 8(%)

Day 12(%)

Control (No treatment)

9.51

14

94

95

Standard (Povidone-iodine)

12.8

19

87

89

C. asiatica Low Dose (2%)

11.12

17

84

85

C. asiatica High Dose (5%)

13

18

85

87

Fig.3. Comparative analysis of wound healing over time in different treatment groups. Bars represent mean wound healing percentage ± standard error at Day 0, Day 4, Day 8, Day 12, and Day 20. Groups include untreated control, Standard treatment (Povidone-iodine), Centella asiatica extract at 2% (Low Dose), and 5% (High Dose). Statistical significance compared to control is indicated by asterisks (p?p?p?C. asiatica treatment showed significant improvement comparable to the standard antiseptic by Day 20

  1. DISCUSSION

This study investigated the wound healing potential of Centella asiatica leaf extract through phytochemical evaluation, formulation development, and pharmacological testing. The extract was found to possess characteristic herbal properties, such as a slightly fibrous texture, a dark green to brownish-green color, and a mild, earthy odor with a bitter or astringent taste. Extractive values were calculated as 15.14% (ethanol) and 12.16% (water), indicating a high yield of bioactive constituents. Physicochemical evaluations revealed a total ash value of 4.57% w/w, a water-soluble ash value of 5.66% w/w, and an acid-insoluble ash value of 3.15% w/w. Phytochemical screening confirmed the presence of steroids, triterpenoids, saponins, alkaloids, tannins, phenolic compounds, and flavonoids—all known contributors to wound healing, anti-inflammatory, and antioxidant activity. Glycosides, proteins, and carbohydrates were absent. Toxicological evaluation confirmed that the C. asiatica formulation did not induce redness, irritation, or mortality in Wistar rats over a 72-hour period, affirming its dermal safety. Wound healing activity was assessed using an excision wound model in rats. Both 2% and 5% C. asiatica formulations showed significant wound contraction over time, with the high-dose formulation demonstrating effects comparable to the standard treatment (Povidone-iodine). By Day 20, the high-dose group exhibited over 45% wound closure, while the low-dose group reached approximately 40%, significantly outperforming the untreated control group. The findings of this study strongly support the wound healing efficacy of Centella asiatica leaf extract, particularly at higher concentrations. The phytochemical profile—rich in flavonoids, saponins, and triterpenoids—aligns with the extract’s observed pharmacological activity. Formulations developed with C. asiatica were found to be safe, non-irritant, and effective in accelerating wound closure in animal models. Compared to the untreated control, both low- and high-dose formulations significantly enhanced wound contraction, with the 5% formulation performing nearly on par with the standard antiseptic treatment. These results demonstrate the potential of C. asiatica as a viable, plant-based alternative or adjunct in modern wound care management. Further clinical validation and formulation refinement may help translate these findings into practical therapeutic applications.

REFERENCES

  1. M. Prasath Kumar, S. Anisha, C. Dhrisya, R. Becky, and S. Sadhasivam, “Therapeutic and pharmacological efficacy of selective Indian medicinal plants – A review,” Phytomedicine Plus, vol. 1, no. 2, p. 100029, May 2021.
  2. P. Martin, “Wound Healing--Aiming for Perfect Skin Regeneration,” Science (80-. )., vol. 276, no. 5309, pp. 75–81, Apr. 1997.
  3. D. Badiu, M. Vasile, and O. Teren, “Regulation of wound healing by growth factors and cytokines,” Wound Heal. Process. Phases Promot., pp. 73–93, 2011.
  4. B. Atiyeh and S. Hayek, “An Update on Management of Acute and Chronic Open Wounds: The Importance of Moist Environment in Optimal Wound Healing,” Med. Chem. Rev. - Online, vol. 1, no. 2, pp. 111–121, Apr. 2005.
  5. E. A. Gantwerker and D. B. Hom, “Skin?: Histology and P h y s i o l o g y o f Wo u n d Healing,” Clin. Plast. Surg., vol. 39, no. 1, pp. 85–97, 2012, doi: 10.1016/j.cps.2011.09.005.
  6. I. Paul, R. Mundugaru, N. Prakash, and R. Basavaiah, “Anxyiolytic activity of fortified Centella asciatica,” Bangladesh J. Pharmacol., vol. 10, no. 2, p. 427, May 2015, doi: 10.3329/bjp.v10i2.23189.
  7. M. Ramanathan, S. Sivakumar, P. R. Anandvijayakumar, C. Saravanababu, and P. R. Pandian, “Neuroprotective evaluation of standardized extract of Centella asciatica in monosodium glutamate treated rats.,” Indian J. Exp. Biol., vol. 45, no. 5, pp. 425–31, May 2007.
  8. D. Deka, P. Chakravarty, and A. Purkayastha, “Evaluation of The Anticonvulsant Effect of Aqueous Extract of Centella Asiatica in Albino Mice,” Int. J. Pharm. Pharm. Sci., 2017, doi: 10.22159/ijpps.2017v9i2.15483.
  9. M. Hait and J. Goswami, “Physicochemical and phytochemical status on flower of Bombax ceiba,” ~ 189 ~ J. Med. Plants Stud., vol. 5, no. 3, pp. 189–192, 2017.
  10. A. Adel, M. Elnaggar, E. Al-Sayed, and M. Rabeh, “Secondary Metabolites from Carica papaya, and its Biological Activities: A Comprehensive Review,” Arch. Pharm. Sci. Ain Shams Univ., vol. 5, no. 2, pp. 331–353, 2021, doi: 10.21608/aps.2021.106355.1073.
  11. M. Kaur, N. C. Talniya, S. Sahrawat, A. Kumar, and E. E. Stashenko, “Ethnomedicinal uses, phytochemistry and pharmacology of Carica papaya plant: A compendious review,” Mini. Rev. Org. Chem., vol. 16, no. 5, pp. 463–480, 2019, doi: 10.2174/1570193X15666180816110733.
  12. K. Abeywickrama and G. A. Bean, “Toxigenic Aspergillus flavus and aflatoxins in Sri Lankan medicinal plant material,” Mycopathologia, vol. 113, no. 3, pp. 187–190, Mar. 1991, doi: 10.1007/BF00436129.
  13. B. G. Meharie and T. A. Tunta, “Evaluation of Diuretic Activity and Phytochemical Contents of Aqueous Extract of the Shoot Apex of Podocarpus falcactus,” J. Exp. Pharmacol., vol. Volume 12, pp. 629–641, Dec. 2020, doi: 10.2147/JEP.S287277.
  14. S. Srivastav, P. Singh, K. K. Jha, G. Mishra, M. S. K. Srivastava, Shruti, and R. L. Khosa, “Diuretic activity of whole plant extract of Achyranthes aspera Linn,” Eur. J. Exp. Biol., vol. 1, no. 2, pp. 97–102, 2011.
  15. F. Chen, G. Huang, Z. Yang, and Y. Hou, “Antioxidant activity of Momordica charantia polysaccharide and its derivatives,” Int. J. Biol. Macromol., vol. 138, pp. 673–680, Oct. 2019, doi: 10.1016/j.ijbiomac.2019.07.129.
  16. B. Halim et al., “Determination of Phytochemical Constituent, Antioxidant Activity, Total Phenol and Total Flavonoid of Extract Ethanol Phyllanthus emblica Fruit,” Pharmacogn. J., vol. 14, no. 1, pp. 63–67, Feb. 2022, doi: 10.5530/pj.2022.14.9.
  17. K. Jaijoy, N. Soonthornchareonnon, A. Panthong, and S. Sireeratawong, “Anti-ulcerogenic Activity of the Standardized Water Extract of Phyllanthus emblica Linn,” Planta Med., vol. 77, no. 12, Aug. 2011, doi: 10.1055/s-0031-1282780.
  18. G. Madhumitha and A. Saral, “Preliminary phytochemical analysis, antibacterial, antifungal and anticandidal activities of successive extracts of Crossandra infundibuliformis,” Asian Pac. J. Trop. Med., vol. 4, no. 3, pp. 192–195, Mar. 2011, doi: 10.1016/S1995-7645(11)60067-9.
  19. U. H. Patil and D. K. Gaikwad, “Phytochemical Evaluation and Bactericidal Potential of Terminalia Arjuna Stem Bark,” Int. J. Pharm. Sci. Res., vol. 2, no. 3, pp. 614–619, 2011.
  20. N. Nayeem, “Design, Formulation and Evaluation of a Polyherbal Ointment for Its Wound Healing Activity,” Pharmacophore, vol. 4, no. 5, pp. 175–180, 2013, [Online]. Available: http://www.pharmacophorejournal.com/
  21. E. Ashenafi, T. Abula, S. M. Abay, M. Arayaselassie, and M. Sori, “Evaluation of the Antioxidant and Wound Healing Properties of 80% Methanol Extract and Solvent Fractions of the Leaves of Vernonia auriculifera Hiern. (Asteraceae),” Clin. Cosmet. Investig. Dermatol., vol. 16, pp. 279–299, 2023, doi: 10.2147/CCID.S393379.
  22. K. Ravishankar and A. S. Sireesha, “Exploration of antimicrobial and wound healing activities using ethanolic leaf extract gel of Nyctanthes arbor-tristis on rabbits,” vol. 9, no. November, pp. 68–74, 2021.

Reference

  1. M. Prasath Kumar, S. Anisha, C. Dhrisya, R. Becky, and S. Sadhasivam, “Therapeutic and pharmacological efficacy of selective Indian medicinal plants – A review,” Phytomedicine Plus, vol. 1, no. 2, p. 100029, May 2021.
  2. P. Martin, “Wound Healing--Aiming for Perfect Skin Regeneration,” Science (80-. )., vol. 276, no. 5309, pp. 75–81, Apr. 1997.
  3. D. Badiu, M. Vasile, and O. Teren, “Regulation of wound healing by growth factors and cytokines,” Wound Heal. Process. Phases Promot., pp. 73–93, 2011.
  4. B. Atiyeh and S. Hayek, “An Update on Management of Acute and Chronic Open Wounds: The Importance of Moist Environment in Optimal Wound Healing,” Med. Chem. Rev. - Online, vol. 1, no. 2, pp. 111–121, Apr. 2005.
  5. E. A. Gantwerker and D. B. Hom, “Skin?: Histology and P h y s i o l o g y o f Wo u n d Healing,” Clin. Plast. Surg., vol. 39, no. 1, pp. 85–97, 2012, doi: 10.1016/j.cps.2011.09.005.
  6. I. Paul, R. Mundugaru, N. Prakash, and R. Basavaiah, “Anxyiolytic activity of fortified Centella asciatica,” Bangladesh J. Pharmacol., vol. 10, no. 2, p. 427, May 2015, doi: 10.3329/bjp.v10i2.23189.
  7. M. Ramanathan, S. Sivakumar, P. R. Anandvijayakumar, C. Saravanababu, and P. R. Pandian, “Neuroprotective evaluation of standardized extract of Centella asciatica in monosodium glutamate treated rats.,” Indian J. Exp. Biol., vol. 45, no. 5, pp. 425–31, May 2007.
  8. D. Deka, P. Chakravarty, and A. Purkayastha, “Evaluation of The Anticonvulsant Effect of Aqueous Extract of Centella Asiatica in Albino Mice,” Int. J. Pharm. Pharm. Sci., 2017, doi: 10.22159/ijpps.2017v9i2.15483.
  9. M. Hait and J. Goswami, “Physicochemical and phytochemical status on flower of Bombax ceiba,” ~ 189 ~ J. Med. Plants Stud., vol. 5, no. 3, pp. 189–192, 2017.
  10. A. Adel, M. Elnaggar, E. Al-Sayed, and M. Rabeh, “Secondary Metabolites from Carica papaya, and its Biological Activities: A Comprehensive Review,” Arch. Pharm. Sci. Ain Shams Univ., vol. 5, no. 2, pp. 331–353, 2021, doi: 10.21608/aps.2021.106355.1073.
  11. M. Kaur, N. C. Talniya, S. Sahrawat, A. Kumar, and E. E. Stashenko, “Ethnomedicinal uses, phytochemistry and pharmacology of Carica papaya plant: A compendious review,” Mini. Rev. Org. Chem., vol. 16, no. 5, pp. 463–480, 2019, doi: 10.2174/1570193X15666180816110733.
  12. K. Abeywickrama and G. A. Bean, “Toxigenic Aspergillus flavus and aflatoxins in Sri Lankan medicinal plant material,” Mycopathologia, vol. 113, no. 3, pp. 187–190, Mar. 1991, doi: 10.1007/BF00436129.
  13. B. G. Meharie and T. A. Tunta, “Evaluation of Diuretic Activity and Phytochemical Contents of Aqueous Extract of the Shoot Apex of Podocarpus falcactus,” J. Exp. Pharmacol., vol. Volume 12, pp. 629–641, Dec. 2020, doi: 10.2147/JEP.S287277.
  14. S. Srivastav, P. Singh, K. K. Jha, G. Mishra, M. S. K. Srivastava, Shruti, and R. L. Khosa, “Diuretic activity of whole plant extract of Achyranthes aspera Linn,” Eur. J. Exp. Biol., vol. 1, no. 2, pp. 97–102, 2011.
  15. F. Chen, G. Huang, Z. Yang, and Y. Hou, “Antioxidant activity of Momordica charantia polysaccharide and its derivatives,” Int. J. Biol. Macromol., vol. 138, pp. 673–680, Oct. 2019, doi: 10.1016/j.ijbiomac.2019.07.129.
  16. B. Halim et al., “Determination of Phytochemical Constituent, Antioxidant Activity, Total Phenol and Total Flavonoid of Extract Ethanol Phyllanthus emblica Fruit,” Pharmacogn. J., vol. 14, no. 1, pp. 63–67, Feb. 2022, doi: 10.5530/pj.2022.14.9.
  17. K. Jaijoy, N. Soonthornchareonnon, A. Panthong, and S. Sireeratawong, “Anti-ulcerogenic Activity of the Standardized Water Extract of Phyllanthus emblica Linn,” Planta Med., vol. 77, no. 12, Aug. 2011, doi: 10.1055/s-0031-1282780.
  18. G. Madhumitha and A. Saral, “Preliminary phytochemical analysis, antibacterial, antifungal and anticandidal activities of successive extracts of Crossandra infundibuliformis,” Asian Pac. J. Trop. Med., vol. 4, no. 3, pp. 192–195, Mar. 2011, doi: 10.1016/S1995-7645(11)60067-9.
  19. U. H. Patil and D. K. Gaikwad, “Phytochemical Evaluation and Bactericidal Potential of Terminalia Arjuna Stem Bark,” Int. J. Pharm. Sci. Res., vol. 2, no. 3, pp. 614–619, 2011.
  20. N. Nayeem, “Design, Formulation and Evaluation of a Polyherbal Ointment for Its Wound Healing Activity,” Pharmacophore, vol. 4, no. 5, pp. 175–180, 2013, [Online]. Available: http://www.pharmacophorejournal.com/
  21. E. Ashenafi, T. Abula, S. M. Abay, M. Arayaselassie, and M. Sori, “Evaluation of the Antioxidant and Wound Healing Properties of 80% Methanol Extract and Solvent Fractions of the Leaves of Vernonia auriculifera Hiern. (Asteraceae),” Clin. Cosmet. Investig. Dermatol., vol. 16, pp. 279–299, 2023, doi: 10.2147/CCID.S393379.
  22. K. Ravishankar and A. S. Sireesha, “Exploration of antimicrobial and wound healing activities using ethanolic leaf extract gel of Nyctanthes arbor-tristis on rabbits,” vol. 9, no. November, pp. 68–74, 2021.

Photo
Gyan Singh Yadav
Corresponding author

Shambhunath Institute of Pharmacy, Jhalwa, Prayagraj, U.P.

Photo
Dr. Arvind Kumar Srivastava
Co-author

Shambhunath Institute of Pharmacy, Jhalwa, Prayagraj, U.P.

Photo
Raj K. Prasad
Co-author

Shambhunath Institute of Pharmacy, Jhalwa, Prayagraj, U.P.

Photo
Anuj Kumar Shukla
Co-author

Shambhunath Institute of Pharmacy, Jhalwa, Prayagraj, U.P.

Gyan Singh Yadav*, Raj K. Prasad, Dr. Arvind Kumar Srivastava, Anuj Kumar Shukla, Phytochemical Screening, Pharmacological Development of Centella Asciatica Centella Asiatica, Int. J. of Pharm. Sci., 2025, Vol 3, Issue 7, 4015-4025. https://doi.org/10.5281/zenodo.16596654

More related articles
Formulation And Evaluation of Herbal Lipstick from...
Kanchan Mahajan, Vaishnavi Wagh, Pallavi Sonone, Chetan Ushir, Bh...
In Vitro Evaluation of Antispasmodic Activity Of R...
Ananya Bhattacharjee, Abhijit Mishra, Ankita Adhikari, Benazeer A...
Reviewing the Recent Advancements of Terminalia ar...
Chaitanya Dharavane, Rajan Kothari, Dr. Sonali Uppalwar, ...
Herbal Drugs for The Treatment of Polycystic Ovary Syndrome (PCOS) And Its Compl...
Ajinkya Holkar, Dnyaneshwari Mali, Samiksha Sonule, Ashwini Jadhav, ...
Development And Validation Of An RP-UPLC Method For The Determination Of Memanti...
Chougale Rohini Babanrao, Wale R. R, Vivek Panchabhai, Gavhane A. R. , ...
Related Articles
Assessment Of Adverse Drug Reactions Among Hypertensive Patients Receiving Treat...
Attahir Sa’ad Ayuba, Dr. Ado Shehu, Nikhil Nama, Monica Lal, Indrakshi Tiwari, Dr Amit Bhargav, Dr...
To prepare suspension of Digitalis for congestive heart failures....
Dnyandeep Jadhav , Dipak S. Borse , Chaitanya G. Baviskar , Arvind K. Hatkar, Rajendra M. Kawade, ...
Face Pack of Moringa Oiefera...
Waydande Harshwardhan, Shelke Sanket, ...
Formulation and Evaluation of Medicated Gummies Utilizing Golden Bloom Herb...
AKHILA C V, GAYATHRI , MUSFIRA ISMAYIL T K, ARSHIDA T K, AFRA K P, VYSHNAVY DEVY D K, ...
Formulation And Evaluation of Herbal Lipstick from Aqueous Extract of Bougainvil...
Kanchan Mahajan, Vaishnavi Wagh, Pallavi Sonone, Chetan Ushir, Bhavesh Shelake, Prasad Patil, ...
More related articles
Formulation And Evaluation of Herbal Lipstick from Aqueous Extract of Bougainvil...
Kanchan Mahajan, Vaishnavi Wagh, Pallavi Sonone, Chetan Ushir, Bhavesh Shelake, Prasad Patil, ...
In Vitro Evaluation of Antispasmodic Activity Of Rhizomes Of Bergenia Ligulata...
Ananya Bhattacharjee, Abhijit Mishra, Ankita Adhikari, Benazeer Ali, Pratham Gurung, ...
Reviewing the Recent Advancements of Terminalia arjuna, the Guardian of the Hear...
Chaitanya Dharavane, Rajan Kothari, Dr. Sonali Uppalwar, ...
Formulation And Evaluation of Herbal Lipstick from Aqueous Extract of Bougainvil...
Kanchan Mahajan, Vaishnavi Wagh, Pallavi Sonone, Chetan Ushir, Bhavesh Shelake, Prasad Patil, ...
In Vitro Evaluation of Antispasmodic Activity Of Rhizomes Of Bergenia Ligulata...
Ananya Bhattacharjee, Abhijit Mishra, Ankita Adhikari, Benazeer Ali, Pratham Gurung, ...
Reviewing the Recent Advancements of Terminalia arjuna, the Guardian of the Hear...
Chaitanya Dharavane, Rajan Kothari, Dr. Sonali Uppalwar, ...