View Article

Abstract

Pediatric epilepsy is one of the most common chronic neurological disorders in children, characterized by recurrent, unprovoked seizures resulting from abnormal electrical activity in the brain. Early and accurate diagnosis is essential to differentiate epileptic seizures from other paroxysmal events and to identify underlying etiologies such as genetic, structural, metabolic, or infection causes. A comprehensive evaluation includes detailed clinical history, neuroimaging, electroencephalography [EEG], and, when indicated, genetic testing. Treatment primarily aims to achieve complete seizure control with minimal adverse effects while optimizing the child’s neurodevelopmental outcomes and quality of life. Management involves a multidisciplinary approach integrating pharmacological therapy mainly antiepileptic drugs [AEDs] with dietary intervention such as the ketogenic diet, surgical option for drug-resistant epilepsy, and neurostimulation techniques. Additionally, psychological, educational, and social support are vital components of long-term care. Recent advances in precision medicine, novel antiseizure medications, and neuroimaging have significantly improved outcomes for many children with epilepsy. Continued research and individualized management remain key to enhancing prognosis and overall quality of life in pediatric epilepsy.

Keywords

Pediatric epilepsy, Epidemiology, Classification, Clinical Presentation, Diagnosis, Treatment, Management of epilepsy, Pathogenesis, Future direction

Introduction

Pediatric epilepsy is one of the most common chronic neurological disorders affecting children worldwide. It estimated that around 50 million people globally live with epilepsy, and nearly 10 million of them are children under the age of 15. Every year, approximately 4 to 6 out of every 1,000 children are diagnosed with epilepsy. It is characterized by recurrent, unprovoked seizures caused by abnormal electrical activity in the developing brain. In this not only affect brain but the overall life of a child and family.

Research shows that around 80% of children with epilepsy live in low- and middle- income countries, where early diagnosis and treatment are still a challenge. India has the highest number of affected children, mainly because of its huge population and small towns. China also has close to a million children living with epilepsy, in African countries like Nigeria, Ethiopia and other Sub-Saharan regions, the situation is even more challenging. It estimated that over two million children there suffer from epilepsy, often due to infection like malaria, meningitis or birth complications, which damage the brain in early life. On other hand, developed counties such as the United States have around 470,000 children diagnosed with epilepsy, but most of them receive early treatment, regular follow-up and support systems that help them lead a better quality of life.

RISK FACTORS

Risk factor of epilepsy is higher in preterm populations due to white matter gliosis, hypoxic-ischemic brain damage, hippocampal sclerosis, decreased brain structure development, and increased infection risk in preterm populations. Eclampsia is a significant condition that can progress to epilepsy in young people via a variety of paths. In reality women may suffer hypoxia, which can increase the incidence of epilepsy and interfere with the unborn brain’s normal growth[2]. Other major factor is a positive family history are linked to genetic mutations and inherited syndromes such as Dravet syndrome. Even children whose birth weight falls within the normal range are at heightened risk for epilepsy due to intrauterine growth restriction[3].

The following are some of the risk factors that might increase the risk of epilepsy[4].

Figure 1: Epilepsy risk factors.

People with epilepsy are unable to lead normal lives because of the stigma associated with the condition. The economic burden of epilepsy is very high. The dual burden of learning disability, cognitive impairment, and subpar academic achievement is common in children with epilepsy. Perinatal insults such as metabolic derangement, and central nervous system [CNS] infections are important modifiable risk factors of epilepsy. Regretfully, there is a dearth of information from India regarding the risk factors for childhood epilepsy. There are several methodological limitations for epidemiological studies on epilepsy in developing countries[5]. Childhood epilepsy may be predisposed by perinatal causes. But the observations in epidemiological studies had been rather negative or conflicting[6]. There was no correlation found between prenatal insult and childhood epilepsy in a door-to-door survey conducted in West Bengal, however another comparable study in Kerala state supported an association between the two. The first step towards preventing epilepsy in children would be to identify such risk factors, according to a population-based survey conducted in Kerala's Northern district.

EPIDEMIOLOGY

In epidemiological research on childhood epilepsy, the exclusion of children aged<6 years, because febrile seizures are common in this age-group and would confound estimates. In studies presenting sub analyses by age-group, as expected, prevalence of epilepsy increased with age, while incidence decreased with age and the highest incidence was in the 0- to 5-year age-group[7,8].

Active prevalence of epilepsy is a measure of the proportion of patient currently suffering from active epilepsy or experiencing the consequences of epilepsy as measured by taking anticonvulsant medication[9].

TABLE 1: AGE SPECIFIC INCIDENCE RATES [ROCHESTER, MINNESOTA, 1935-1979]

Age group

[years]

No. patients

Rate/ 100,000

Person-years

Proportion

 

Male/ female

[%]

Idiopathic[%]

Partial [%]

<1

41

121

54

17

120

1-4

85

63

81

28

97

5-14

129

44

84

47

123

Since one need only to identify existing cases of the illness, prevalence studies are considerably easier to conduct that incidence studies. Prevalence studies have been performed across numerous populations varying by geographic area, race, and socioeconomic status. From an epidemiology standpoint, prevalence is of value chiefly as it is a reflection of cumulative incidence. Since prevalence represents the complex interaction, as a rule, is of limited value for the generation of hypotheses concerning etiology.

The estimated prevalence of epilepsy varies widely in reported studies by a factor of 20, and ranges from a low of 2/1,000 in the Marianas Islands to a high of 37/1,0000 in Nigeria[10]. Unfortunately, the variation seems more related to study methodology and to definition of epilepsy in individual studies based upon incidence cohorts, prevalence tends to increase with advancing age through early childhood, only to stabilize in the teenage and young adult years.

CLASSIFICATION

Classification of seizure type-expanded version[11]:

Fig 2: classification of seizures.

CLINICAL PRESENTATION

Definition:

A seizure (ictus) represents transient neurological manifestation because of abnormal, excessive neuronal discharges originating from the cerebral cortex. This discharge can result in many different neurological manifestations according to the seizure origin and spread (for example sensory, motor, somatosensory, psychic).

A convulsion refers to a seizure with motor manifestations, usually generalized tonic clonic. A “fit” is a term that should not be used as it may imply a psychogenic etiology. Epilepsy (to be attacked in Greek) is recurrent (2 or more) unprovoked seizures. Transient provoked seizures caused by fever, illness, electrolyte imbalance, toxic exposure, or head injury, are not classified as epilepsy[12].   

Seizure is a paroxysmal involuntary disturbance of brain function that may manifest as:

  • Impaired conscious level.
  • Abnormal motor activity.
  • Behavioral abnormalities.
  • Sensory disturbances.
  • Autonomic dysfunction.

Fig 3: Seizure symptoms.

Convulsion is generalized seizure with increased tone and tonic–clonic movements of the body.

Fig 4: Stages of a seizure.

GTCS – [Generalized Tonic – Clonic Seizures]

Duration- seconds to hours.

  • Froth at mouth.
  • Tonic stiffening of muscles.
  • Clonic jerky movements of face/limbs.
  • Enuresis.
  • Sleep.

Etiology

  • Febrile seizures [age 6 months to 5 years].
  • CNS infection [meningitis / cerebral malaria]
  • Intracranial hemorrhage.
  • Hypoglycemia / Electrolyte imbalance [Na, Ca, Mg]
  • Drug/ chemical poisoning/ Encephalopathy
  • Trauma
  • Hypoxia
  • PNES (Psychological Non- epileptic Seizures)
  • Tetanus (spasms not seizures)[13].

Fig 5: Causes of epilepsy.

DIAGNOSIS

The most challenging condition, which happens to be treated during an emergency, is the status epilepticus. Because of this, diagnosis and treatment section are focused on the clinical state.

Clinical presentation in status epilepticus varies. It depends on the type of seizures, stage, and previous state conditions of the pediatric patient. Diagnosis is based on the identification of continuous or recurrent seizures, and it is easy to recognize during the clinical manifestation[14].

After persisting status epilepticus, despite disappearance of motor manifestation, it is difficult to exclude non-epilepticus continuous status.

A complete instrumental evaluation can be requested in case of first clinical presentation of SE, or in case of complicated SE, comorbidity, and in infants.

Laboratory test, neurological exams, and EEG imaging methods are all necessary for epilepsy and seizures[15].

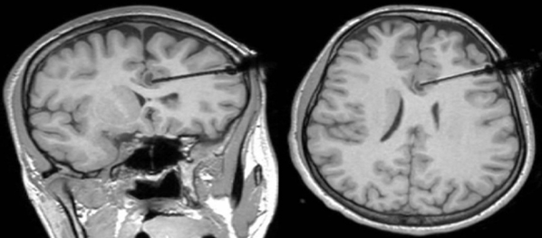
Fig 6: Diagnostic Procedure of epilepsy [16]

A healthcare provider will diagnose epilepsy in children after examination and testing that may include:

  • A physical exam: During a physical exam, child’s vital signs along with learning more about their symptoms and taking a complete medical history and biological family history.
  • A neurological exam: A healthcare provider will evaluate how your child’s brain and nervous system are functioning.
  • Blood tests: A healthcare provider may order blood tests to check if an underlying condition caused your child’s symptoms.
  • Imaging tests: Imaging tests, such as an MRI, can help your child’s care team learn more about their brain activity.
  • Electroencephalogram: This painless test measures your child’s brain electrical activity.

Tests help your healthcare provider understand what caused your child’s seizures and rule out conditions that cause them. An epilepsy diagnosis may take time and it usually doesn’t happen overnight[17].

TREATMENT:

Non pharmacological treatment

First Aid

Helping the patient manage the situation an epileptic seizure is known as first aid treatment. Because of the common misconception, people appear afraid when they witness someone having an epileptic seizure. Since studies have shown that patients and their families can easily control or manage epileptic seizures with the correct guidance and training, it is more important that’s ever to stay calm and help the sufferer. Since epileptic seizures are not emergencies, there is no need to call for ambulance. Consequently, the best way to help patients manage their seizures on their own and boost their confidence is through self-management training[18].

Ketogenic Diet

Throughout history, diets have been used to manage seizures. However, it was the first documented in the early 1920s, the nutritional diet was used as a therapeutic treatment for epilepsy. Dietary treatments for DRE include Low Glycemic Index Therapy (LGIT), Modified Atkins diet (MAD), and the traditional Ketogenic Diet (KD).[19] KD and MAD diets are high in fat, but LGIT focuses mostly on consuming low- glycemic foods that are low in carbohydrates. These diets compositions are explained below. A diet consisting of 90% fat, 7%protein, and 3% carbohydrates is the traditional ketogenic diet, that produces metabolic changes associated with the starvation state. A ketogenic diet, sometimes known as the keto diet, may be an option for certain kids to manage their seizures if medicine isn’t enough[20].

Diet vs MAD Ketogenic

Both RCTs compared KD with MAD. One RCT found higher rates of seizures freedom with KD than with MAD at 3 months (53% vs 25%). For seizure frequency reduction, the same RCT [21] reported an advantage of KD over MAD at both 3 months (58% vs7%) and 6 months (71%vs 28%), and the other RCT reported statistically nonsignificant results in the same direction (81% vs 54% at 3 months and 100%vs 60% at 6 moths)[22].

Neurostimulation

This treatment involves the nervous system receiving tiny electric currents via a gadget. Three forms of neurostimulation are now used to treat epilepsy they are; vagus nerve stimulation, Responsive neurostimulation, Deep brain stimulation[23].

Pharmacological Treatment

There are already more than 20 antiepileptic drugs (AEDs) on the market, and choosing the appropriate medication mostly depends on the type of seizure and the patient's age. The first-line accepted treatment is AED therapy[24], both for symptomatic myoclonic seizures and generalized tonic-clonic seizures were best administrated with sodium valproate. Primary first-line therapies for complex partial seizures were carbamazepine and oxcarbazepine, with valproate also being recommended[25]. Although using AEDs alone or in combination, approximately 20% of children with epilepsy will still have seizures[26].

The main pharmacological agents, often used first, are carbamazepine, valproic acid, oxcarbazepine and phenytoin. Other drugs used in the treatment of epilepsy are vigabatrin, lamotrigine, felbamate, gabapentin levetiracetam, ethosuximide[27,28]. The mechanisms of action of these drugs are summarized in Table 2.

Table 2. Mechanisms of action of antiepileptic drugs[29,30].

Drug

Mechanism of action

Phenytoin

Inhibition of intracellular sodium currents. Reduces the influx of calcium ions into the cell. Inhibition of motor cortex and subcortical centres responsible for the tonic phase of convulsion.

Carbamazepine

Blocks potential-dependent sodium channels and secondary reduction of glutamate release and catecholamine metabolism in the central nervous system. Stabilization of the membrane of over-excite nerve fibers.

Lamotrigine

Inhibits sodium channels and blocks release of excitatory amino acids [glutamic acid].

Oxcarbazepine

Blocks potential-dependent sodium channels. Stabilizes over-excited nerve fiber membranes. Inhibits repetitive neuronal discharges. Reduces synaptic transmission of excitatory stimuli.

Topiramate

Blocks membrane voltage-dependent sodium channels, increases gamma-aminobutyric acid activity, and shows antagonism to the receptor for glutamic acid.

Gabapentin

Inhibits voltage-gated calcium channels.

Pregabalin

Binds to an auxiliary subunit [ of the membrane voltage-shifted calcium channel in the central nervous system.

Levetiracetam

Affects protein concentrations in neurons by partially inhibiting N-type calcium currents and reducing the release of calcium ions stored inside neurons.

Vigabatrin

Selective, irreversible inhibitors of y-aminobutyric acid aminotransferase [GABA-T].

Felbamate

Demonstrates GABA inhibitory activity and benzodiazepine receptor binding.

Lacosamide

Attenuation of low-threshold T-type calcium currents in thalamic nerve cells.

Ethosuximide

Bloking of T-type calcium channel, inhibitory effect on thalamic neurons.

Eptoin

Eptoin tablet contain the active ingredient is phenytoin, which works primarily by blocking voltage-gated sodium channels in nerve cells. This action helps to control and prevent seizures.

Fig 6: Eptoin tablet.

Surgical treatment of epilepsy

If drug-resistant epilepsy (DRE) is diagnosed, surgery is diagnosed, surgery is an alternative to pharmacotherapy. Studies have shown the positive impact of early surgical intervention on cognitive function and thus, further intellectual development in pediatric patients[31]. Depending on the etiology of the seizures, resection, separation, or neurostimulation procedures are used.

Pediatric Epilepsy Surgeries:

  1. Resection
  2. Ablation
  3. Laser Interstitial Thermal Therapy (LITT)
  4. Vagus Nerve Stimulator
  5. Corpus Callosotomy
  6. Hemispherectomy[32].

Fig 7: laser interstation thermal therapy (LITT) is a minimally invasive surgical option for pediatric epilepsy where a laser is used to destroy the specific brain tissue causing seizures.

Gene Therapy:

One of the most rapidly developing methods of pharmacological therapy for treating diseases; drugs currently in the laboratory phase. Gene therapy involves placing foreign genetic material into a patient cell, resulting in one of 3 options: inhibiting production, of the gene, increasing production of the gene, or modifying the site of the gene[33].

One of the newer possible therapeutic options now is the treatment of loco-resistant epilepsy with cannabinoids (CBD), derived from the cannabis plant[34].

In 2018, CBD was approved for use by the united-states food and drug administration for treating Dravet syndrome and Lennox-Gastaut syndrome in patients aged two years and over[35].

Management Of Drug -Resistant Epilepsy

The prevalence of DRE among epilepsy patients was 30% in a recent study and the pooled incidence was 15%. Numerous research have clarified the risk factors for developing drug-resistant epilepsy. Age at onset, symptomatic epilepsy, abnormal neuroimaging findings, abnormal electroencephalography results, history of mental retardation, neuropsychiatric disorders, febrile seizures, and status epilepticus increased risk for DRE[36].

Risk Factors

DRE has already been associated with the occurrence of neuropsychiatric disorders cerebral impairment, a history of protracted febrile seizures, and particular electroencephalogram (EEG) abnormalities. DRE has been associated with the age at the epilepsy start (one year), the etiology, abnormal neuroimaging, the presence of these abnormalities, and the coexistence of these conditions[37].

Pathogenesis

Drug resistance etiology is likely diverse and complicated[38]. The hypothesized drug resistance pathways, which also include genetic and disease-related ones, may be interrelated.

The transporter hypothesis states that independent of the site of such an ASMs action increased multi drug efflux protein expression or function decreases the efficacy of ASMs in human epileptic brain tissue and DRE animal studies[39].

According to the pharmacokinetic theory, efflux transporter over expression is concentrated in decreasing the dose of ASM that is capable of permeating the BBB most likely in peripheral organs like the liver, colon, and kidneys[40].

MANAGEMENT OF EPILEPSY

Data on childhood-epilepsy management in Kenya is limited. The low rate of epilepsy diagnosis and the treatment gap are both influenced by culturally motivated health-seeking behaviours. In Kenya, the proportion of individuals with active epilepsy who lack access to appropriate medical care is known as the "treatment gap," and it is quite high. The selection of the first antiepileptic medication is affected by a combination of patient- specific and AED-Specific factors[41].

Long term AED treatment should be started after second seizure[42]. Complete seizure control without serious side effects is the goal of treatment. Complete seizure control without serious side effects is the goal of treatment. AED is based on the predominant seizer type or syndrome type with possible adverse effect and co-morbidities taken into account[42,43]. All drugs are started in low doses and increased gradually up to a maximum does till seizure control is achieved or side effects appears. Dosage needs to be adjusted to the child’s daily activity. Extended releases formulations in twice a day dosing are preferable[44].

Fig 7: Management approaches for epilepsy[45].

AED choice may be influenced by seizure frequency and severity in addition to seizure type. For example, between two equally affective AEDs, a patient with daily, prolonged generalized tonic-clonic seizures may be started on the AED than can be titrated more swiftly to a therapeutic dose. Lastly, while some AED efficacy results in children parallel those in adults[46], this comparison may not apply to all pediatric epilepsy patients[47], and individualized medication selection is vital to success.

Objective self-management challenge facing adults with epilepsy include limited understanding of the condition and treatment, associated psychosocial issues, and lack of community integration. Self-management interventions improve patients medical, life role, and emotional management[48]. Epilepsy has a significant and well-researched psychosocial impact on the affected individual and their family. Interventions such as educational programs and lifestyle management education to improve self-mastery and quality of life in people with epilepsy are not necessarily integrated in standard care practices[49].

Acute and emergency management

  • Status epilepticus: This is a neurological emergency requiring immediate treatment.
  • Initial steps: place the child on their side, loosen any tight clothing, and ensure their airway, breathing, and circulation (ABCs) are stable.
  • Immediate interventions: check blood glucose and administer a dextrose bolus if low and a glucometer is unavailable. Obtain intravenous (IV) access and administer anticonvulsants promptly to stop the seizure.
  • Ongoing care: Monitor vital signs, provide respiratory support as needed, and identify and manage any underlying causes.

Chronic management

  • Diagnosis and classification: The first step is confirming the spells are actual seizures by distinguishing them from other conditions like syncope or tics.
  • Medication selection:
  • Monotherapy: It is preferable to start with one medication at a low dose and gradually increase it unit seizures are controlled or side effects appear.
  • Specific considerations: some AEDs can worsen certain types of epilepsy. For example, carbamazepine, phenytoin, vigabatrin, and tiagabine can worsen absence or myoclonic seizures.
  • Adverse effects: parents should be counseled on possible medication side effect.
  • Treatment-resistant epilepsy: For children who do not achieve seizure freedom after trying two adequate AEDs, the goals shift to achieving the fewest seizures and side effects possible.
  • Alternative therapies: The ketogenic diet is an option for some patient.
  • Surgical option: In some cases, surgical interventions can be considered.
  • Monitoring and support: Regularly monitor the child for seizure control and side effects. Genetic testing is also an option for some disorders to better understand the underlying cause.

FUTURE DIRECTION

The percentage of childhood-onset epilepsies that are resistant to therapy has essentially stayed constant despite significant recent advancements in our understanding of the aetiology of epilepsy and the introduction of several novel AEDs. To address this issue, there is a clear need for a more stratified approach to treatment. Traditionally, stratification has been by broad seizure type (focal or generalized), and only occasionally by epilepsy syndrome[50].

The challenges for the future will be to use this information not only for diagnosis he development of rational treatments. Gene therapy is clearly an important long-term approach, but in the meantime an understanding of epileptogenic mechanisms arising from gene mutations could provide “downstream” targets for therapy developmentIn order to screen new treatments, mouse models will be crucial. For acquired epilepsies, many potential mechanisms have also been found. Understanding which of these are necessary and sufficient to produce epilepsy should lead to intervention that will stop the development and progression of these seizure disorders[51].

Some manufactures, such as Medtronic, have newer technology that can apply electricity to the brain, but also record it, a process Dr. conner described as similar to a thermostat."It senses the situation and modifies the delivery of electricity."I think that the technology is still in its infancy, but we’re getting there,” he said. “this’s brain sensing” will help improve how effective DBS is at treating epilepsy and make it easier for physicians to program[52].

New techniques target neural networks

Thalamic responsive neurostimulation (RNS) is one of the most recent surgical techniques for treating paediatric epilepsy. This robotic-assisted procedure involves implanting a small RNS device in the thalamus-a major control center for the brain. The device continually monitors a patient’s brain waves and delivers a tiny electrical impulse to stop seizures in their tracks. The goal is to modulate a whole network of different parts of the brain that are communicating in an abnormal way to ignite a seizure[53].

Thalamic RNA offers a much-needed treatment option for children with multifocal seizures who do not respond to medication or diet therapy. Then the many patients see more that a 90% reduction in seizures[54].

CONCLUSION

Seizure in children are a serious medical issue that has to be diagnosed and treated quickly. Finding the underlying cause of the seizures requires an understanding of the several etiologies, which range from neurological problems to metabolic issues. Children’s risk of seizures is further influenced by risk variables such age, genetic predisposition, and prior neurological history. Treatment choices depend on an accurate diagnosis, which frequently requires imaging, laboratory testing, and clinical examination. The main goal of treatment to manage seizures and stop them from happening again by using medicine, changing one’s lifestyle, and occasionally having surgery.

REFERENCES

  1. Vankodoth Sireesha, Manne Nikshitha, Sunkari Nikitha, Kaluvala Ramya, Tadikonda Rama Rao. Paediatric Epilepsy: A Comprehensive Overview of Diagnosis, Treatment and management. A Review, Indian Journal of Pharmacy Practice., 2025; 18(4): 385-389.
  2. Imen Ketata, Emna Ellouz, Rahil Mizouri. Impact of prenatal, neonatal, and postnantal factors on epilepsy risk in children and adolescents: a systematic review and meta-analysis. Acta epileptologie.2024;6(1).
  3. Sun Y, Vestergaard M, Pedersen CB, Christensen J, Basso O, Olsen J. gestational Age, birth weight, instrauterine growth, and the risk of epilepsy. American journal of Epidemiology. 2007 Nov 27 [cited 2022 oct 18]; 167(3):262-70. Available from: https;// academic.oup.com/aje/article/167/3/262/13228410.
  4. Navigating Epilepsy: A Comprehensive Guide by Yashoda hospitals/ Nov 14,2024/ Neuroscience.
  5. Pal DK. Methodologic issues in assessing risk factors for epilepsy in an epidemiologic study in India. Neurology. 1999;53:2058-63. Doi:10.1212/wnl. 53.9.2058.
  6. Thomas SV. Prevention of epilepsy and obstetric care. Neurol Asia. 2004;9(suppl1):1-3.
  7. Ngugi AK, Bottomley C, Kleinschmid I, et al. Prevalence of active convulsive epilepsy in sub- Saharan Africa and associated risk factors: cross- sectional and case- control studies. Lancet Neurol. 2013;12(3):253-263. Doi:10.1016/S1474-4422(13)70003-6
  8. Ibinda F, Wagner RG, Bertram MY, et al. Burden of epilepsy in rural Kenya measured in disability- adjusted life years. Epilepsia. 2014;55(10);1626-1633. Doi:10.1111/epi.12741
  9. W. Allen Hauser, MD And Karin B. Nelson, MD. Epidemiology of epilepsy in children College of Physicians and Surgeons, Columbia University, New York, NY (W. A. H), and Neuroepidemiology Branch, National institutes of Neurologicak Disorders and Stroke, Bethesda , MD (K. B.N).
  10. Osuntokun BO, Aevja AOJ, Nottidge VA,et al. Prevalence of the epilepsies in Nigerian africans: a community- based study. Epilepsia 1987; 28:272-279.
  11. Epilepsy.com https://www. Epilepsy. Com/ article/2016/ revised- classification- seizures.
  12. Jan MMS, Girvin JP. Febrile Seizures: Update and controversies. Neuroscience 2004; 9:235-242.
  13. Prof Imran Iqbal.Epilepsy in children clinical presentation, fellowship in peadiatric Neurology. Prof of paediatric (2003-2018).
  14. Carmelo Minardi, Roberta Minacapelli, Pietro Valastro, Francesco Vasile, Sofia Pitino, Piero Pavone, Marinella Astuto and Paolo Murabito. Epilepsy in children: Review of Journal Clinical Medicine, published: 2 January 2019.
  15. Stafstrom CE, carmant L. seizures and epilepsy: An overview for Neuroscientists. Cold spring harbor perspectives in medicine. 2015;5(6):a022426-6.
  16. Sylwia Marta Urbanska, Michal Lesniewski, Iwona Welian-Polus, Aleksandra Witas, Klaudia Szukala, Magdalena Chroscinska-Krawczyk. Epilepsy and   treatment in children-new hopes and challenges – Literature review. J Pre – clin clin Res. 2024; 18(1):40-49.Doi:10.26444/jpccr/185469.
  17. Cleveland Clinic. Org health diseases /12252- epilepsy-in- children.
  18. Elsadek Hel. Paediatric Epilepsy and its health conditions in UAE: A Review Article. American Journal of Medical science and innovation. 2024;3(1):35-42.
  19. Wilder RM. The effects of ketonemia on the course of epilepsy. Mayo clin proc.1921;2:307-8.
  20. Koss off, et al. Optimal clinical Management of children receiving dietary therapies for epilepsy: updated recommendations of the international ketogenic diet study group. Epilepsia Open. 2018:3(2) 175-92.
  21. Kim JA, Yoon JR, Lee EJ, et al. Efficacy of the classic ketogenic and the modified Atkins diets in refractory childhood epilepsy. Epilepsia. 2016;57 (1):51-58. Doi:10.1111/epi.13256.
  22. El- Rashidy  OF, Nassar MF, Abdel-Hamid IA ,et al. Modified Atkins diet vs classic ketogenic formula in intractable epilepsy. Acta Neurol Scand.2013;128(6):402-408. Doi:10.1111/ane.121337.
  23. Epilepsy in children :Types, symptoms, diagnosis, and treatment [Internet]. www.m edicalnewstoday. Com.2019.Availablefrom: https://www. Medicalnewstoday. Com /artic cles/327288# outlook.
  24. Sarah Rubenstein1, Andrew levy2; seizures in childhood: Aetiology, Diagnosis, Treatment, and what the future may Hold. EMJ Neurol.2019;7[1]:62-70.
  25. Wheless JW, Clarke DF, Arzimanoglou A, carpenter D. treatment of peadiatric epilepsy: European expert opinion, 2007.Epileptic disorders: international epilepsy journal with videotape. 2007 [cited 2022 Nov 1];9(4):353-412. https:// doi.org/10.1684/epd. 2007. 0144:Availablefrom:
  26. Wirrell EC. Predicting pharmacoresistance in paediatric epilepsy. Epilepsia. 2013;54 (supply 2):19-22.
  27. Hakami T. Neuropharmacology of Antiseizures Drugs. Neuropsychopharmacol Rep. 2021;41(3):336-351. Doi:10.1002/ npr2.12196.
  28. Kanner AM, Ashman E, et al. Practice guideline update summary: Efficacy and tolerability of the new antiepileptic drugs II: Treatment- resistant epilepsy: Report of the guideline development, dissemination, and Implementation subcommittee of the American academy of neurology and the American epilepsy society. Neurology.2018,91(2):82-90. Doi: 10.1212/ WNL. 0000000000005756.
  29. Perucca P, Scheffer IE, Kiley M.The management of epilepsy in children and adults. Med J Aust. 2018;208(5):226-233. Doi:0.5694/mja17.00951
  30. Fang T, Valdes E, et al. Levetiracetam for seizures prophylaxis in neurological care: A systematic Review and meta-analysis. neurocrit care. 2022 feb;36(1);248-258. Doi:10.1007/s12028-021-01296-z
  31. Kaur N, Nowacki AS, et al. cognitive outcomes following paediatric epilepsy surgery. Epilepsy Res. 2022;180:106859. Doi: 10.1016/j. eplepsyres.2022.106859
  32. Vera cristina terra, Americo c sakamoto and hello rubens machado.The Epilepsy Surgery in children, 15 september 2011/Doi:10.5772/18490
  33. Marcovecchio ML, Petrosino MI,chiareli F. Diabetes and epilepsy in children and adolescents. Curr Diab Rep. 2015;15(4):21.doi:10.1007/s11892-015-0588-3
  34. Billakota s, Devnsky O, Marsh E. Cannabinoid therapy in epilepsy. Curr opin neurol. 2019;32(2):220-226. Doi:10.1097/WCO.0000000000000660
  35. Arzimanoglou A, Brandl U, et al. The cannabinoids international experts panel; collaborators. Epilepsy and cannabidiol: a guide to treatment. Epileptic disord.2020;22(1):1-14. Doi:10.1684/epd.2020.1141
  36. JF Tellez- Zenteno et al. Psychiatric comorbidity in epilepsy: a population- based  analysis. Epilepsia (2007)
  37. Chen Z, Brodie MJ, Liew D, Kwan P. Treatment outcomes in patients with newly diagnosed epilepsy treated with established and new antiepileptic drugs: a 30-year longitudinal cohort study. JAMA Neurol.2018;75(3):279-86. Available from: https//www. Ncbi. Nlm. nih.  gov/pubmed/29279892
  38. Kwan P, Schachter SC, Brodie MJ. Drug-resistant epilepsy. N Engel J Med.2011;365(10):919-26. Available from: https://www.ncbi.nlm.gov/pubmed/21899452
  39. Tang F, Hartz AMS, Bauer B. Drug-Resistant Epilepsy: Multiple Hypotheses, few answers. Front Neurol.2017;8:301. Available from: https://www.ncbi.nlm.nih.gov/pubmed/28729850
  40. Kwan p, Brodie MJ. Potential role of drug transporters in the pathogenesis of medically intractable epilepsy. Epilepsia.2005;46(2);224-35. Available from: 
  41. Tracy A Glauser, tobias loddenkempe management of childhood epilepsy continuum. 2013 jun; 19(3 epilepsy):656-681. Doi: 10.1212/01.con.0000431381.29308.85.
  42. Brodie MJ. Medical therapy of epilepsy: when to initiate and combine. J Neurol 2005; 252:125-130.
  43. Dells. Initiation and discontinuation of AEDs. Neurol Clin 2001; 19: 289-311.
  44. Bialer M. Extended-release formulations for the treatment of epilepsy. CNS Drugs 2007;21:765-774.
  45. Binnie CD (2000) vagus nerve stimulation for epilepsy: a review. Seizures 9(3):161-169.
  46. Pellock JM, carman WJ, thyagarajan v,et al. Efficacy of antiepileptic drugs in children: a systematic review. Neurology 2012;79(14): 1482-1489.
  47. Bourgeois BF, Goodkin HP. Efficacy of antiepileptic drugs in adults vs children: does one size fit all,Neurology 2012; 79 (14):1420-1421.
  48. RT fraser, ek johnson, s Lashley, j barber..,2015-wiley online library on Paces in epilepsy; results of a self-management.
  49. K Edward, M cook, JA Giandinoto – Epilepsy and behavior, 2015-Elsevier. An integrative review of the benefits of self- management interventions for adults with epilepsy.
  50. Sameer M. Zuberi, Joseph D. symonds. Update on diagnosis and management of childhood , jornal de pediatria, volume 91,Issue 6, supplement 1, November- December 2015.
  51. Epilepsy Behav. Author manuscript; available in PMC: 2010 feb 16. Published in final edited from as: epilepsy behave. 2009 march; 14(3):438. Doi: 10.1016/j.yebeh. 2009.02.036.
  52. Magnetic resonance- guided laser interstitial thermal therapy for pediatric drug- resistant epilepsy: a pooled analysis ans systematics review of the literature. Sean B Woods et al. J Neurosurg peadiatr.2025.
  53. Virendra R. Desai, MD, and sucheta joshi, MD,MS Faap, faes. 5 trends that are changing pediatric epilepsy care November 7, 2024 by katie Sweeney.
  54. New method finds epilepsy- causing neural hubs in children. Inside precision medicine February 21, 2023.

Reference

  1. Vankodoth Sireesha, Manne Nikshitha, Sunkari Nikitha, Kaluvala Ramya, Tadikonda Rama Rao. Paediatric Epilepsy: A Comprehensive Overview of Diagnosis, Treatment and management. A Review, Indian Journal of Pharmacy Practice., 2025; 18(4): 385-389.
  2. Imen Ketata, Emna Ellouz, Rahil Mizouri. Impact of prenatal, neonatal, and postnantal factors on epilepsy risk in children and adolescents: a systematic review and meta-analysis. Acta epileptologie.2024;6(1).
  3. Sun Y, Vestergaard M, Pedersen CB, Christensen J, Basso O, Olsen J. gestational Age, birth weight, instrauterine growth, and the risk of epilepsy. American journal of Epidemiology. 2007 Nov 27 [cited 2022 oct 18]; 167(3):262-70. Available from: https;// academic.oup.com/aje/article/167/3/262/13228410.
  4. Navigating Epilepsy: A Comprehensive Guide by Yashoda hospitals/ Nov 14,2024/ Neuroscience.
  5. Pal DK. Methodologic issues in assessing risk factors for epilepsy in an epidemiologic study in India. Neurology. 1999;53:2058-63. Doi:10.1212/wnl. 53.9.2058.
  6. Thomas SV. Prevention of epilepsy and obstetric care. Neurol Asia. 2004;9(suppl1):1-3.
  7. Ngugi AK, Bottomley C, Kleinschmid I, et al. Prevalence of active convulsive epilepsy in sub- Saharan Africa and associated risk factors: cross- sectional and case- control studies. Lancet Neurol. 2013;12(3):253-263. Doi:10.1016/S1474-4422(13)70003-6
  8. Ibinda F, Wagner RG, Bertram MY, et al. Burden of epilepsy in rural Kenya measured in disability- adjusted life years. Epilepsia. 2014;55(10);1626-1633. Doi:10.1111/epi.12741
  9. W. Allen Hauser, MD And Karin B. Nelson, MD. Epidemiology of epilepsy in children College of Physicians and Surgeons, Columbia University, New York, NY (W. A. H), and Neuroepidemiology Branch, National institutes of Neurologicak Disorders and Stroke, Bethesda , MD (K. B.N).
  10. Osuntokun BO, Aevja AOJ, Nottidge VA,et al. Prevalence of the epilepsies in Nigerian africans: a community- based study. Epilepsia 1987; 28:272-279.
  11. Epilepsy.com https://www. Epilepsy. Com/ article/2016/ revised- classification- seizures.
  12. Jan MMS, Girvin JP. Febrile Seizures: Update and controversies. Neuroscience 2004; 9:235-242.
  13. Prof Imran Iqbal.Epilepsy in children clinical presentation, fellowship in peadiatric Neurology. Prof of paediatric (2003-2018).
  14. Carmelo Minardi, Roberta Minacapelli, Pietro Valastro, Francesco Vasile, Sofia Pitino, Piero Pavone, Marinella Astuto and Paolo Murabito. Epilepsy in children: Review of Journal Clinical Medicine, published: 2 January 2019.
  15. Stafstrom CE, carmant L. seizures and epilepsy: An overview for Neuroscientists. Cold spring harbor perspectives in medicine. 2015;5(6):a022426-6.
  16. Sylwia Marta Urbanska, Michal Lesniewski, Iwona Welian-Polus, Aleksandra Witas, Klaudia Szukala, Magdalena Chroscinska-Krawczyk. Epilepsy and   treatment in children-new hopes and challenges – Literature review. J Pre – clin clin Res. 2024; 18(1):40-49.Doi:10.26444/jpccr/185469.
  17. Cleveland Clinic. Org health diseases /12252- epilepsy-in- children.
  18. Elsadek Hel. Paediatric Epilepsy and its health conditions in UAE: A Review Article. American Journal of Medical science and innovation. 2024;3(1):35-42.
  19. Wilder RM. The effects of ketonemia on the course of epilepsy. Mayo clin proc.1921;2:307-8.
  20. Koss off, et al. Optimal clinical Management of children receiving dietary therapies for epilepsy: updated recommendations of the international ketogenic diet study group. Epilepsia Open. 2018:3(2) 175-92.
  21. Kim JA, Yoon JR, Lee EJ, et al. Efficacy of the classic ketogenic and the modified Atkins diets in refractory childhood epilepsy. Epilepsia. 2016;57 (1):51-58. Doi:10.1111/epi.13256.
  22. El- Rashidy  OF, Nassar MF, Abdel-Hamid IA ,et al. Modified Atkins diet vs classic ketogenic formula in intractable epilepsy. Acta Neurol Scand.2013;128(6):402-408. Doi:10.1111/ane.121337.
  23. Epilepsy in children :Types, symptoms, diagnosis, and treatment [Internet]. www.m edicalnewstoday. Com.2019.Availablefrom: https://www. Medicalnewstoday. Com /artic cles/327288# outlook.
  24. Sarah Rubenstein1, Andrew levy2; seizures in childhood: Aetiology, Diagnosis, Treatment, and what the future may Hold. EMJ Neurol.2019;7[1]:62-70.
  25. Wheless JW, Clarke DF, Arzimanoglou A, carpenter D. treatment of peadiatric epilepsy: European expert opinion, 2007.Epileptic disorders: international epilepsy journal with videotape. 2007 [cited 2022 Nov 1];9(4):353-412. https:// doi.org/10.1684/epd. 2007. 0144:Availablefrom:
  26. Wirrell EC. Predicting pharmacoresistance in paediatric epilepsy. Epilepsia. 2013;54 (supply 2):19-22.
  27. Hakami T. Neuropharmacology of Antiseizures Drugs. Neuropsychopharmacol Rep. 2021;41(3):336-351. Doi:10.1002/ npr2.12196.
  28. Kanner AM, Ashman E, et al. Practice guideline update summary: Efficacy and tolerability of the new antiepileptic drugs II: Treatment- resistant epilepsy: Report of the guideline development, dissemination, and Implementation subcommittee of the American academy of neurology and the American epilepsy society. Neurology.2018,91(2):82-90. Doi: 10.1212/ WNL. 0000000000005756.
  29. Perucca P, Scheffer IE, Kiley M.The management of epilepsy in children and adults. Med J Aust. 2018;208(5):226-233. Doi:0.5694/mja17.00951
  30. Fang T, Valdes E, et al. Levetiracetam for seizures prophylaxis in neurological care: A systematic Review and meta-analysis. neurocrit care. 2022 feb;36(1);248-258. Doi:10.1007/s12028-021-01296-z
  31. Kaur N, Nowacki AS, et al. cognitive outcomes following paediatric epilepsy surgery. Epilepsy Res. 2022;180:106859. Doi: 10.1016/j. eplepsyres.2022.106859
  32. Vera cristina terra, Americo c sakamoto and hello rubens machado.The Epilepsy Surgery in children, 15 september 2011/Doi:10.5772/18490
  33. Marcovecchio ML, Petrosino MI,chiareli F. Diabetes and epilepsy in children and adolescents. Curr Diab Rep. 2015;15(4):21.doi:10.1007/s11892-015-0588-3
  34. Billakota s, Devnsky O, Marsh E. Cannabinoid therapy in epilepsy. Curr opin neurol. 2019;32(2):220-226. Doi:10.1097/WCO.0000000000000660
  35. Arzimanoglou A, Brandl U, et al. The cannabinoids international experts panel; collaborators. Epilepsy and cannabidiol: a guide to treatment. Epileptic disord.2020;22(1):1-14. Doi:10.1684/epd.2020.1141
  36. JF Tellez- Zenteno et al. Psychiatric comorbidity in epilepsy: a population- based  analysis. Epilepsia (2007)
  37. Chen Z, Brodie MJ, Liew D, Kwan P. Treatment outcomes in patients with newly diagnosed epilepsy treated with established and new antiepileptic drugs: a 30-year longitudinal cohort study. JAMA Neurol.2018;75(3):279-86. Available from: https//www. Ncbi. Nlm. nih.  gov/pubmed/29279892
  38. Kwan P, Schachter SC, Brodie MJ. Drug-resistant epilepsy. N Engel J Med.2011;365(10):919-26. Available from: https://www.ncbi.nlm.gov/pubmed/21899452
  39. Tang F, Hartz AMS, Bauer B. Drug-Resistant Epilepsy: Multiple Hypotheses, few answers. Front Neurol.2017;8:301. Available from: https://www.ncbi.nlm.nih.gov/pubmed/28729850
  40. Kwan p, Brodie MJ. Potential role of drug transporters in the pathogenesis of medically intractable epilepsy. Epilepsia.2005;46(2);224-35. Available from: 
  41. Tracy A Glauser, tobias loddenkempe management of childhood epilepsy continuum. 2013 jun; 19(3 epilepsy):656-681. Doi: 10.1212/01.con.0000431381.29308.85.
  42. Brodie MJ. Medical therapy of epilepsy: when to initiate and combine. J Neurol 2005; 252:125-130.
  43. Dells. Initiation and discontinuation of AEDs. Neurol Clin 2001; 19: 289-311.
  44. Bialer M. Extended-release formulations for the treatment of epilepsy. CNS Drugs 2007;21:765-774.
  45. Binnie CD (2000) vagus nerve stimulation for epilepsy: a review. Seizures 9(3):161-169.
  46. Pellock JM, carman WJ, thyagarajan v,et al. Efficacy of antiepileptic drugs in children: a systematic review. Neurology 2012;79(14): 1482-1489.
  47. Bourgeois BF, Goodkin HP. Efficacy of antiepileptic drugs in adults vs children: does one size fit all,Neurology 2012; 79 (14):1420-1421.
  48. RT fraser, ek johnson, s Lashley, j barber..,2015-wiley online library on Paces in epilepsy; results of a self-management.
  49. K Edward, M cook, JA Giandinoto – Epilepsy and behavior, 2015-Elsevier. An integrative review of the benefits of self- management interventions for adults with epilepsy.
  50. Sameer M. Zuberi, Joseph D. symonds. Update on diagnosis and management of childhood , jornal de pediatria, volume 91,Issue 6, supplement 1, November- December 2015.
  51. Epilepsy Behav. Author manuscript; available in PMC: 2010 feb 16. Published in final edited from as: epilepsy behave. 2009 march; 14(3):438. Doi: 10.1016/j.yebeh. 2009.02.036.
  52. Magnetic resonance- guided laser interstitial thermal therapy for pediatric drug- resistant epilepsy: a pooled analysis ans systematics review of the literature. Sean B Woods et al. J Neurosurg peadiatr.2025.
  53. Virendra R. Desai, MD, and sucheta joshi, MD,MS Faap, faes. 5 trends that are changing pediatric epilepsy care November 7, 2024 by katie Sweeney.
  54. New method finds epilepsy- causing neural hubs in children. Inside precision medicine February 21, 2023.

Photo
Sangram Nagargoje
Corresponding author

Rashtriya College of Pharmacy Hatnoor, Kannad, Chh. Sambhajinagar 431103

Photo
Pratiksha Pawar
Co-author

Rashtriya College of Pharmacy Hatnoor, Kannad, Chh. Sambhajinagar 431103

Photo
Vaishnavi Rodge
Co-author

Rashtriya College of Pharmacy Hatnoor, Kannad, Chh. Sambhajinagar 431103

Sangram Nagargoje, Vaishnavi Rodge, Pratiksha Pawar, A Review by Paediatric Epilepsy: A Comprehensive Overview of Diagnosis, Treatment and Management, Int. J. of Pharm. Sci., 2025, Vol 3, Issue 12, 349-364. https://doi.org/10.5281/zenodo.17793261

More related articles
A Review on Anti-Inflammatory Agents obtained from...
Falguni Kulthi, Sneha Kanase, Suruchi Bedmutha, Archana Garudkar...
Comprehensive Review: Bempedoic Acid and Ezetimibe...
Mahima Bijewar, Dinesh Kawade, Chetna Kapgate, Achal Gadhwale, Ad...
Peptic Ulcer Disease and Screening Approaches: A C...
Rynu Tom Thykkaden, Fatiima Mehrin, Avani Santhosh, Vrinda R, ...
A Review on Herbal Face Pack...
Neha Rathod, Sabafarin Hasin Shaikh, Rahul Rathod, Samadhan Chavan, Mohammad Sufiyan, Sushmita Chava...
Microneedles: A Smart Approach for Advanced Drug Delivery – A Review...
Sakshi Ghorpade, Aparna Sawant, Shruti Gosavi, Hrutuja Chavan, Amrita Singh, ...
Related Articles
A Review Article on Tablet Defects and Their Remedies...
Sofiya Pathan, Asmita Ingale, Vidya Kapse, Dr. V. M. Dharashive, ...
Polymers Used in Diabetic Complications: A Review ...
Shaikh Ramiz Rafik, Belure M. S., ...
A Review on Anti-Inflammatory Agents obtained from Natural Sources...
Falguni Kulthi, Sneha Kanase, Suruchi Bedmutha, Archana Garudkar, Gayatri Gadve, Shambhuraje Raut, ...
More related articles
A Review on Anti-Inflammatory Agents obtained from Natural Sources...
Falguni Kulthi, Sneha Kanase, Suruchi Bedmutha, Archana Garudkar, Gayatri Gadve, Shambhuraje Raut, ...
Comprehensive Review: Bempedoic Acid and Ezetimibe Fixed-Dose Combination in Hyp...
Mahima Bijewar, Dinesh Kawade, Chetna Kapgate, Achal Gadhwale, Aditi Tayde, Neha Sharnagate, ...
Peptic Ulcer Disease and Screening Approaches: A Comprehensive Review...
Rynu Tom Thykkaden, Fatiima Mehrin, Avani Santhosh, Vrinda R, ...
A Review on Anti-Inflammatory Agents obtained from Natural Sources...
Falguni Kulthi, Sneha Kanase, Suruchi Bedmutha, Archana Garudkar, Gayatri Gadve, Shambhuraje Raut, ...
Comprehensive Review: Bempedoic Acid and Ezetimibe Fixed-Dose Combination in Hyp...
Mahima Bijewar, Dinesh Kawade, Chetna Kapgate, Achal Gadhwale, Aditi Tayde, Neha Sharnagate, ...
Peptic Ulcer Disease and Screening Approaches: A Comprehensive Review...
Rynu Tom Thykkaden, Fatiima Mehrin, Avani Santhosh, Vrinda R, ...