View Article

Abstract

Herbal body wash products are increasingly popular due to growing consumer demand for natural and skin-friendly alternatives to conventional personal care items. This study/product explores the formulation of a herbal body wash incorporating plant-based ingredients known for their cleansing, moisturizing, and therapeutic properties. Key herbal extracts such as neem, aloe vera, tulsi, and tea tree oil are utilized for their antimicrobial, anti-inflammatory, and soothing effects. The body wash is designed to gently cleanse the skin without stripping natural oils, while also offering benefits like improved skin texture, hydration, and reduced irritation. Emphasis is placed on sustainability, biodegradability, and the exclusion of harmful synthetic additives. The final product aims to combine efficacy, safety, and environmental consciousness in a holistic skincare solution.

Keywords

Herbal Bodywash, Formulation and Evaluation, Natural products

Introduction

Herbal cosmetics

Products used to enhance and improve one's appearance are known as herbal cosmetics. Due of their greater availability and less adverse effects, herbal substances are preferred over chemical ones. Cosmetics are a helpful substance that is used extensively worldwide to balance and enhance the natural appearance of the face and various body parts, including one's hand, mouths, their fingers the hair, eye, and others. Shampoo, hair oil, conditioners, moisturizers, lotions, face packs, powders, creams, nail polish, and other cosmetic are all covered. Soft, shiny, and beautiful hair and skin are essential for a handsome man or woman. Numerous environmental elements, such as microorganisms, chemical toxins, and chemicals, can cause skin damage. [1] The term "Herbal Cosmetics" refers to goods that are produced using a variety of acceptable cosmetic ingredients as a base, and then one or more herbal substances are employed to provide specific cosmetic benefits. Herbs don't provide quick fixes .The herbal cosmetics are used to take care of the body, skin, hair, and appearance.Herbal cosmetics include products like shampoos, body washes, face packs, hair oil, shikkai powder, skin toner, lotions, and scrubs.[2]

Body wash

The majority of body wash detergents and cosmetics are aqueous (10–20%) solutions of surfactants enhanced with different substances to improve the washing effect, attain the right consistency (viscosity), color, fragrance, or product preservation. Although surface active agents have many advantages, they also have a number of disadvantages. One of the biggest drawbacks of surfactants is their propensity to irritate and trigger allergies in cosmetics and detergents that come into regular contact with the skin. Body wash is a specific type of liquid that is used to clean the body while taking a shower. Gel body wash has a very liquid-like viscosity. Sodium Lauryl Sulfate (SLS) and Sodium Coco Sulfate (SCS) are two examples of foaming agents included in many goods that are designed to produce foam when applied to the skin. Although all of these compounds have extremely different molecular structures and can have different effects on the skin, they both create lather when rubbed over the body and comes into contact with water. Shower gels are easier for many people to wash with because of their liquid form, unlike slick soap bars. Additionally, their fast-foaming formulas are quite good at cleansing the body without removing the skin's protective layer.  Body wash, also known as shower gel, is an essential part of our everyday hygiene regimen since it makes bathing fun and helps remove pollutants, oils, and debris from the skin. In order to develop solutions that successfully cleanse, nourish, and protect the skin without irritating or drying it out, the science underlying body wash composition is crucial. We will examine the different components, procedures, and considerations should be made when developing body washes in this extensive tutorial. Alternative chemicals that perform similarly to conventional synthetic ingredients may be investigated by formulators when customers move toward natural and environmentally friendly products. For instance, softer surfactants such as amino acid-based surfactants are used as primary surfactants in sulfate-free body washes, while secondary surfactants like cocomidopropyl betaine or coco glucoside are used to give gentle washing without causing skin irritation or dryness.[3][4]

Types of body wash formulations

A.  Common Transparent Moisturizing Body Wash.
B. Deep-Cleaning Pearlescent Body Wash

C.  Suspending Petal Shower gel
D. Formula for a Hydrating and Refreshing Body Wash

Advantages of herbal body washes:

  • Safe to use
  • Natural products
  • Suitable for all skin types
  • Wide selection to choose from
  • Fits your budget
  • No side effects   
  • Not tested on animals.

MATERIALS AND METHODS

Collection of plant materials and extraction process:

  1. Alternanthera sessilis                                                                
                

TAXONOMICAL CLASSIFICATION

Domain: Eukaryota

Kingdom: Plantae

Phylum: Spermatophyta

Subphylum: Angiospermae

Class: Dicotyledonae

Order: Caryophyllales

Family: Amaranthaceae

Genus: Alternanthera

Species :Alternanthera

Vernacular Names

Tamil :Ponnankanni ,Citai,Koduppai

Malayalam: Meenamgani ,Ponnankannikkira

Sanskrit :Matsyaki, lonica

Hindi: Gudrisag, Garundi

Kannada :Honagone soppu

Telugu :Ponnagantikura

Bengali :Chanchi, Haicha, Sachishak

Marathi: Kanchari

Manipuri: Phakchet

Fresh parts of alternanthera sessilis were colleted from surrrondings of residenceand clean with water and shade dry for 2weeks .The collected  leaves were weighed app 200gm.By using ehanolic solvents the powered was macerated for 13 days .After the filtration the ehanolic extract was subjected to rotary vaccum evaporator.The extract was kept for later use. formulation

CHEMICAL CONSTITUENTS:

Alternanthera sessilis, also referred to as "dwarf copperleaf" or "sessile joy weed," grows up to a height of 1200 meters in the hottest regions of India Traditional uses for the plant in Assam to treat jaundice and other conditions. A popular vegetable, Alternanthera sessilis is used in traditional medicine in Bangladesh and other Asian countries to relieve pain, inflammation, and fatigue, as well as to promote sleep. To yet, Still, there have been no report on this plant's neuropharmacological or analgesic properties. The annual or perennial prostate weed Alternanthera sessilis grows up to 1200 meters in elevation throughout the hottest regions of India.  The plant's chemical components, including as α- and β- spinasterols, have been scientifically demonstrated to exist.  Lupeal been taken out of its roots. The plant also includes β-sitosterol, stigmasterol, and other compounds.  In addition to being used to treat indigestion, the herb has been described as a febrifuge, chologague, abortiÞ cient, and galactagogue.  The leaves serve as a remedy for skin conditions, cuts and wounds, snake bites, and scorpion stings. The weed Alternanthera sessilis (A. sessilis) is classified into two cultivars based on the color of its aerial parts: Green (ASG) and Red (ASR). The red and green varieties both come from the same family, the Amaranthaceae.  Because these two cultivars largely differ in their aerial hues, it is exceedingly difficult to distinguish between them based alone on shape. But the majority of researchers hardly ever specify the kind of Alternanthera sessilis they utilized.[6][7]

Traditional Usage

Asians commonly take A. sessilis as medication or as part of their diet because it is considered a traditional medicinal herb.  Asian traditional medicine practitioners typically employ the plant to treat a wide range of illnesses and diseases because of its various health advantages.
For instance, gastrointestinal issues, fever, headaches, liver illness, spleen disease, diarrhea, and better vision. [14]

Antimicrobial and Antifungal Activities

Phytochemicals with antimicrobial properties include flavonoids, alkaloids, saponins, quinones, tannins, phenolic acids, coumarins, and terpenoids. These phytochemicals comprise most of ASG. According to Kumari and Krishna , the agar well diffusion method could be used to assess the potentiality of ASG water extracts displaying anti-fungal and anti-bacterial qualities. Salmonella typhi, Pseudomonas aeruginosa, Staphylococcus aureus, Bacillus pumillus, Bacillus subtilis, and Escherichia coli were among the microbes chosen for the investigation. It's interesting to note that the results indicated zones of restraint in opposition to Salmonella typhi, Bacillus subtilis, and Bacillus pumillus, but not against Staphylococcus aureus, Escherichia coli, or Pseudomonas aeruginosa. In the antifungal assay, two fungus strains—Candida albicans and Aspergillus niger—were not suppressed, yielding negative results.[5]

  1. Orange
              

 

TAXONOMICAL CLSSIFICATION:

Domain : Eukarya

Kingdom : Plantae

Subkingdom : Tracheobiontas

Division : Magnoliophyta

Order : Sapindales

Family : Rutaceae

Genus : Citrus

Species : sinensis

Description:

A member of the Rutaceae family is Citrus sinensis. Approximately 150 genera and 1,500 species make up the Rutaceae family of plants, trees, and herbs with glandular punctate, frequently intensely scented herbage. The frequent appearance of spines and winged petioles further distinguishes . The sweet orange is a tiny evergreen tree that grows to a height of 7.5 m and occasionally up to 15 m. This is to differentiate it from closely related species such as sour orange, C. aurantium, C. reticulata, and mandarin orange.[11]

  1. Aloe vera:
              

TAXONOMICAL CLASSIFICATION:

Kingdom: plantae

Phylum: Tracheophyta

Class: Magnoliopsida

Order: Asparagales

Family:Asphodelaceae

Genus:Aloe

Species:Aloe vera

Description:

The succulent plant known as aloe vera, which grows in desert and subtropical settings, is employed in the fields of allopathic, homoeopathic, and ayurvedic medicine for its therapeutic qualities. It has historically been used by individuals from many different cultures, and its traditional purposes include lowering sweating, treating diabetes with oral medication, and curing a variety of gastrointestinal disorders. Seborrheic dermatitis, genital herpes, small cuts, and burn wounds are also treated with it. Many vitamins, minerals, natural sugars, enzymes, amino acids, and other bioactive compounds with Emollients, purgative, anti-inflammatory, anti-oxidant, antibacterial, anti-helmenthic, antifungal, aphrodisiac, antiseptic, and cosmetic properties can be found in the leaves of this amazing medicinal plant. The extract of aloe vera has been advocated for usage in a wide range of conditions.[8][9]

  1. Soap nut:
                       

Taxonomical classification:

 Kingdom: Plantae

 Subkingdom: Tracheobionta

 Superdivision: Spermatophyta

 Division: Magnoliophyta

 Class: Magnoliopsida

Subclass: Rosidae

 Order: Sapindales

 Family: Sapindaceae

 Genus: Sapindus

 Species: Trifoliatus

Description:

In the commercial world, Sapindus mukorossi Gaertn. (Sapindaceae) is a valuable plant because of its soap nut-like fruits and seed oil, which is used as a feedstock for the manufacturing of biodiesel. The genetic variation in 69 accessions of S. mukorossi Gaertn., spanning several geographical locations in India, is evaluated by molecular polymorphism obtained utilizing three single primer amplifying reaction (SPAR) techniques (RAPD, DAMD, and ISSR). Using the three SPAR techniques, cumulative band data showed 82.49% polymorphisms among all genotypes of S. mukorossi Gaertn. The geographical diversity was reflected in the two main clusters that the UPGMA tree displayed.[10][13]

EXTRACTION:

The sample to be analyesd is placed in a thimble.The extracted analytes are carried into the bulk liquid by a siphon that aspirates the solute from the thimble-holder and unloads it back into the distillation flask when the liquid reaches the overflow level. Until the extraction process is finished, this process is repeated. Soxhlet extraction is therefore a continuous–discrete approach in terms of operation. The assembly actually functioned as a batch system because the extractant acts in steps, but because the extractant is recycled through the sample, the system also functions continuously in some way. [12]

Ingredients for formulation:

Ingredients

Use

Quantity(50ml)

Alternanthera sessilis

Anti –bacterial

10ml

Orange peel

Skin brightening

8ml

Aloe vera

Moisturizer

8ml

Soap nut

Surfactant

10ml

Tri ethanol amine

Preservative

4ml

Xanthan gum

Gelling agent

5ml

Roseoil

Essential oil

5ml

FORMULATION PROCEDURE:

  • The extracts of alternanthera sessilis and orange peel are mixed in definite ratio to get a thick semisolid form.
  • The extract of aloe vera was added to the above mixture and allow them to mix well with continuous stirring.
  • The water extract of soap nut was added gradually to the above mixture to get a homogenous gentle foam after adding glycerine.
  • Ph adjusters were added and check the formulation ph that do not cause irritation to skin.
  • Finally esestional oil and preservative also added to get a elegant and long shelf life product.

ACTIVITIES OF BODY WASH :

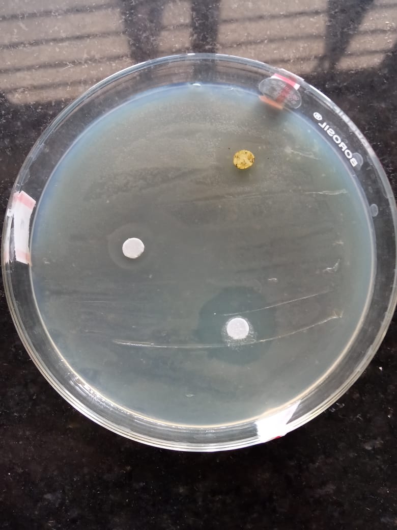
  1. Anti –bacterial activity of alternanthra sessilis:

Test organisms:

Escherichia coli, staphylococcus aureus

Procedure for activity evalution:

After the nutrient agar medium get solidified in petridishes with the organism inoculated , the paper disk was impregnated with extract of alternanthera sessilis, standard solutions with amikacin and control group with ethanolic solvent . The disk were inoculated in the culture medium and incubated for 24 hours.

RESULT:

The anti bacterial activity of alternanthera sessilis against e.coli was positive and against staphylococcus aureus was negative.

Evalution tests for body wash:

Texture:

Take asmall amount of herbal body wash in your hands and rub them together to assess the texture, it should feel smooth and easy to spread on skin.

Determination of PH:

The ph is tested in two ways like with pH testing paper and pH meter.

                  

Foaming ability:

The foam ability of herbal body wash was examined at various concentrations. The water was added with same volume in two test tubes and went for vigorous shaking, immediately note the foam level and note after 10 minutes also.

 

              

FOAMING POWER=INITIAL VOIUME-FINAL VOIUME

IRRITATION TEST:

Small amount of body wash was taken and do patch test on skin. since on irritation was noticed it passed the test.

Anti –bacterial activity :

The test result against e.coli was positive and against staphylococcus aureus was negative.

CONCLUSION:

After completion of research work on herbal body wash we can  get the formulation of herbal body wash .to understand the information and knowledge on herbal body wash .to improve the outcomes researchers could consider the expanding data analysis ,methodology, innovations in herbal body wash formulation. The result of formulated herbal body wash from alternanthera sessilis was successful by evaluated the anti bacterial activity with additional uv protective and moisturizing gentle foaming properties

REFERENCES

  1. Kaur L, Singh AP, Singh AP, Kaur T. A review on herbal cosmetics. International Journal of Pharmaceutics and Drug Analysis. 2021;9(3):196-201.
  2. Saudagar RB, Sisodiya MH. Review on herbal cosmetics. World Journal of Pharmaceutical Research. 2018 Feb 9;7(7):573-91.
  3. Bujak T, Wasilewski T, Nizio?-?ukaszewska Z. Role of macromolecules in the safety of use of body wash cosmetics. Colloids and Surfaces B: Biointerfaces. 2015 Nov 1;135:497-503.
  4. Mastering the Art of Body Wash Formulation: A Comprehensive Guide - [Internet]. Yeser Chemicals. 2023 [cited 2025 Apr 4]. Available from: https://yeserchem.com/mastering-the-art-of-body-wash-formulation-a-comprehensive-guide/#introduction-the-world-of-body-wash-formulation
  5. Sunil Jalalpure, Agrawal N, Patil M, Rajshekar Chimkode, Tripathi A. Antimicrobial and wound healing activities of leaves of Alternanthera sessilis Linn. 2008 Jan 1;2(3):141.
  6. Screening of Aqueous and Ethanolic Extracts of Aerial Parts of Alternanthera sessilis Linn. R.br.ex.dc for Nootropic Activity - ProQuest [Internet]. Proquest.com. 2025 [cited 2025 Apr 4]. Available from: https://www.proquest.com/openview/3f852825a518a80c6000952f28a11216/1?pq-origsite=gscholar&cbl=54977
  7. Hwong CS, Leong KH, Aziz AA, Junit SM, Noor SM, Kong KW. Alternanthera sessilis: Uncovering the nutritional and medicinal values of an edible weed. Journal of Ethnopharmacology. 2022 Nov 15;298:115608.
  8. Lanka S. A REVIEW ON ALOE VERA-THE WONDER MEDICINAL PLANT. Journal of Drug Delivery and Therapeutics. 2018 Oct 15;8(5-s):94–9.
  9. Vogler BK, Ernst E. Aloe vera: a systematic review of its clinical effectiveness. British journal of general practice. 1999 Oct 1;49(447):823-8.
  10. Mahar KS, Rana TS, Ranade SA. Molecular analyses of genetic variability in soap nut (Sapindus mukorossi Gaertn.). Industrial Crops and Products. 2011 Jul;34(1):1111–8.
  11. Martín MA, Siles JA, Chica AF, Martín A. Biomethanization of orange peel waste. Bioresource technology. 2010 Dec 1;101(23):8993-9.
  12. Soxhlet Extraction - an overview | ScienceDirect Topics [Internet]. www.sciencedirect.com. Available from: https://www.sciencedirect.com/topics/chemistry/soxhlet-extraction
  13. Panda A, Kumar A, Mishra S, Mohapatra SS. Soapnut: A replacement of synthetic surfactant for cosmetic and biomedical applications. Sustainable Chemistry and Pharmacy [Internet]. 2020 Sep 1;17:100297. Available from: https://www.sciencedirect.com/science/article/abs/pii/S2352554120300371[13]
  14. Hwong CS, Leong KH, Abdul Aziz A, Mat Junit S, Mohd Noor S, Kong KW. Alternanthera sessilis: Uncovering the nutritional and medicinal values of an edible weed. Journal of Ethnopharmacology [Internet]. 2022 Nov 15;298:115608. Available from: https://www.sciencedirect.com/science/article/abs/pii/S037887412200647X.

Reference

  1. Kaur L, Singh AP, Singh AP, Kaur T. A review on herbal cosmetics. International Journal of Pharmaceutics and Drug Analysis. 2021;9(3):196-201.
  2. Saudagar RB, Sisodiya MH. Review on herbal cosmetics. World Journal of Pharmaceutical Research. 2018 Feb 9;7(7):573-91.
  3. Bujak T, Wasilewski T, Nizio?-?ukaszewska Z. Role of macromolecules in the safety of use of body wash cosmetics. Colloids and Surfaces B: Biointerfaces. 2015 Nov 1;135:497-503.
  4. Mastering the Art of Body Wash Formulation: A Comprehensive Guide - [Internet]. Yeser Chemicals. 2023 [cited 2025 Apr 4]. Available from: https://yeserchem.com/mastering-the-art-of-body-wash-formulation-a-comprehensive-guide/#introduction-the-world-of-body-wash-formulation
  5. Sunil Jalalpure, Agrawal N, Patil M, Rajshekar Chimkode, Tripathi A. Antimicrobial and wound healing activities of leaves of Alternanthera sessilis Linn. 2008 Jan 1;2(3):141.
  6. Screening of Aqueous and Ethanolic Extracts of Aerial Parts of Alternanthera sessilis Linn. R.br.ex.dc for Nootropic Activity - ProQuest [Internet]. Proquest.com. 2025 [cited 2025 Apr 4]. Available from: https://www.proquest.com/openview/3f852825a518a80c6000952f28a11216/1?pq-origsite=gscholar&cbl=54977
  7. Hwong CS, Leong KH, Aziz AA, Junit SM, Noor SM, Kong KW. Alternanthera sessilis: Uncovering the nutritional and medicinal values of an edible weed. Journal of Ethnopharmacology. 2022 Nov 15;298:115608.
  8. Lanka S. A REVIEW ON ALOE VERA-THE WONDER MEDICINAL PLANT. Journal of Drug Delivery and Therapeutics. 2018 Oct 15;8(5-s):94–9.
  9. Vogler BK, Ernst E. Aloe vera: a systematic review of its clinical effectiveness. British journal of general practice. 1999 Oct 1;49(447):823-8.
  10. Mahar KS, Rana TS, Ranade SA. Molecular analyses of genetic variability in soap nut (Sapindus mukorossi Gaertn.). Industrial Crops and Products. 2011 Jul;34(1):1111–8.
  11. Martín MA, Siles JA, Chica AF, Martín A. Biomethanization of orange peel waste. Bioresource technology. 2010 Dec 1;101(23):8993-9.
  12. Soxhlet Extraction - an overview | ScienceDirect Topics [Internet]. www.sciencedirect.com. Available from: https://www.sciencedirect.com/topics/chemistry/soxhlet-extraction
  13. Panda A, Kumar A, Mishra S, Mohapatra SS. Soapnut: A replacement of synthetic surfactant for cosmetic and biomedical applications. Sustainable Chemistry and Pharmacy [Internet]. 2020 Sep 1;17:100297. Available from: https://www.sciencedirect.com/science/article/abs/pii/S2352554120300371[13]
  14. Hwong CS, Leong KH, Abdul Aziz A, Mat Junit S, Mohd Noor S, Kong KW. Alternanthera sessilis: Uncovering the nutritional and medicinal values of an edible weed. Journal of Ethnopharmacology [Internet]. 2022 Nov 15;298:115608. Available from: https://www.sciencedirect.com/science/article/abs/pii/S037887412200647X.

Photo
Sri Sowmya Veeravalli
Corresponding author

Sri in Institute of Pharmaceutical Sciences, Tadepalligudem, Andhra Pradesh, India

Photo
Dr.P.Narayana Raju
Co-author

Sri in Institute of Pharmaceutical Sciences, Tadepalligudem, Andhra Pradesh, India

Photo
Dr.V.Bhaskara Raju
Co-author

Sri in Institute of Pharmaceutical Sciences, Tadepalligudem, Andhra Pradesh, India

Photo
J.N.B Indu Sekhar
Co-author

Sri in Institute of Pharmaceutical Sciences, Tadepalligudem, Andhra Pradesh, India

Photo
B.Roshini Teja Manikanteswari
Co-author

Sri in Institute of Pharmaceutical Sciences, Tadepalligudem, Andhra Pradesh, India

Sri Sowmya Veeravalli*, Narayana Raju Padala, Bhaskara Raju Vatchavai, J.N.B Indu Sekhar, Roshini Teja Manikanteswari Bobbili, Formulation And Evaluation of Herbal Body Wash, Int. J. of Pharm. Sci., 2025, Vol 3, Issue 4, 1095-1103. https://doi.org/10.5281/zenodo.15184150

More related articles
Extraction Phytochemical Characterisation and Neur...
Tanuja Mishra , Santosh Kumar Mishra , Vikas Vishwakarma, ...
Formulation And Evaluation Of Chamomile And Jojoba...
Dhuryav M. Nimkar , Yogita R. Choudhari , Neha K. Ghule, ...
Therapeutic Properties of Acacia Arebica Extract i...
Aniket Chougule, Viraj mahajan, Nilesh Chougule, ...
Thin Layer Chromatographic And UV Spectrophotometric Analysis Of Frequently Util...
Samuel J. Bunu, Veronica Aniako, Varsharani P. Karade, Edebi N. Vaikosen, Benjamin U. Ebeshi, ...
A Comprehensive Review on Herbal Soap Formulated with Cow Urine...
Kadam Tejas, Kadam Tejaswini, Kadam Vaishanavi, Kade Pratik, Kadam Shambhuraj, Anil Pawar, ...
Related Articles
Advancements in HPLC Techniques for Detecting and identification of Process-Rela...
P. Chandrashekhar Reddy, G. Sampath Kumar Reddy, B. Jainendra Kumar, ...
A Case Report On Anasarca – The Whole Body Swelling...
Dr. Vigneswaran R, Natarajan P, Saravana Kumar R, Jeniba E, Kaviya V, Pasupathy P, ...
Gastroprotective potential of Phoenix dactylifera fruit in ethanol-induced gastr...
K. Manimekalai, Rohan kumar, Devansh Upadhayay, Rajneesh Kumar, Dev Thanki, Vaibhavi Waghmode, ...
Extraction Phytochemical Characterisation and Neuro-pharmacological In vivo Acti...
Tanuja Mishra , Santosh Kumar Mishra , Vikas Vishwakarma, ...
More related articles
Extraction Phytochemical Characterisation and Neuro-pharmacological In vivo Acti...
Tanuja Mishra , Santosh Kumar Mishra , Vikas Vishwakarma, ...
Formulation And Evaluation Of Chamomile And Jojoba Oil Infused Face Cream...
Dhuryav M. Nimkar , Yogita R. Choudhari , Neha K. Ghule, ...
Extraction Phytochemical Characterisation and Neuro-pharmacological In vivo Acti...
Tanuja Mishra , Santosh Kumar Mishra , Vikas Vishwakarma, ...
Formulation And Evaluation Of Chamomile And Jojoba Oil Infused Face Cream...
Dhuryav M. Nimkar , Yogita R. Choudhari , Neha K. Ghule, ...