View Article

Abstract

Acne vulgaris is a widespread inflammatory disorder of the pilosebaceous unit that predominantly affects adolescents and young adults, frequently leading to post-acne scarring and psychological discomfort. While several synthetic therapies are available for acne management, prolonged use may be associated with unwanted side effects and reduced patient compliance, which has increased interest in herbal-based topical treatments. The present work focused on the formulation and evaluation of a herbal roll-on intended for acne and acne-scar management. Aloe vera and Cucumber extracts were chosen as active components due to their antibacterial, soothing, and skin-restorative properties. Three roll-on formulations were prepared using different extract ratios F1 (1 mL:1 mL), F2 (1 mL:2 mL), and F3 (1 mL:1 mL) along with appropriate excipients such as a gelling agent, humectant, and preservative to ensure formulation stability and ease of application. Although three formulations were developed, six test concentrations were obtained for antimicrobial evaluation by diluting 100 µL of each formulation with distilled water. The prepared roll-ons were evaluated for physical and physicochemical properties including appearance, homogeneity, pH, viscosity, and spreadability, with the pH maintained within a skin-compatible range. Antibacterial activity was assessed using the agar well diffusion method against Staphylococcus aureus, a bacterium commonly implicated in acne lesions. The results demonstrated that formulations F1 and F2 exhibited superior clarity, optimal viscosity, and better spreadability compared to F3, and produced inhibition zones of approximately 27 mm, which were comparable to the standard inhibition zone of 33 mm. The roll-on dosage form additionally offers advantages such as localized application, reduced wastage, and improved user compliance. Overall, the findings indicate that the optimized herbal roll-on formulation, particularly F1 and F2, shows considerable potential as a safe and effective topical option for acne and acne-scar management, warranting further in vivo and clinical evaluation to confirm long-term efficacy and safety

Keywords

Herbal roll-on, Acne Vulgaris, Acne scar, Aloe vera, Cucumber extract, Antibacterial activity

Introduction

Acne is the most prevalent skin condition among various dermatological issues. Nearly everyone experiences acne-prone skin at some point, particularly during adolescence. While acne is not a life-threatening condition, it often affects a person's appearance, leading to reduced self-confidence and negatively impacting daily life [1]. The development of acne involves several key mechanisms, including increased sebum production, excessive keratinization of hair follicles, bacterial growth, and inflammation. Acne is characterized by heightened responsiveness of sebocytes and follicular keratinocytes to androgens, which leads to enlargement of the sebaceous glands and increased sebum secretion [2,3]. The pathogenesis of acne vulgaris is strongly associated with the proliferation of certain microorganisms, including Cutibacterium acnes (previously known as Propionibacterium acnes), Staphylococcus aureus, and Staphylococcus epidermidis. When these microorganisms multiply excessively, they contribute to inflammation and acne formation [4].

Acne scars are long-lasting changes in the skin’s texture that occur after serious acne breakouts have healed. These scars result from disruptions in the natural healing process, often caused by inflammation, loss of skin tissue, or the overproduction of collagen [5,6]. They can appear in various forms, including depressed scars like ice pick, boxcar, and rolling scars, as well as raised scars such as hypertrophic and keloid types. Several factors can influence how severe or noticeable these scars become, including genetic predisposition, delayed treatment of acne, and frequent touching or squeezing of acne spots [7, 8]. It occurs when the skin responds to inflammation from acne lesions. During the healing process, the skin works to repair the damaged area by managing collagen levels [9]. If the skin loses too much collagen due to tissue damage, it results in depressed scars called atrophic scars. However, if the body produces an excess amount of collagen while healing, it leads to raised scars known as hypertrophic scars or keloids [10, 11].

Herbal-based formulations are increasingly popular for treating various skin issues, including acne, acne scars, because they contain natural compounds that reduce inflammation, combat oxidative stress, and stimulate collagen production [12]. Ingredients like aloe vera, which soothes and aids skin healing; cucumber, known for its moisturizing and cooling effects; turmeric, valued for its strong anti-inflammatory and antibacterial properties; and tea tree oil, famous for its antimicrobial and acne-reducing qualities, are commonly incorporated in these remedies [13, 14]. Moreover, herbal treatments are often favoured as they tend to cause fewer side effects and are gentler on the skin than many synthetic alternatives, offering a safer and more natural approach for ongoing skin care [15].

1.11 ROLL-ON

Roll-ons are frequently utilized as applicators for treating acne and acne scars, enabling the direct application of liquid or semi-liquid formulations to specific skin areas. It features a small container with a rotating ball at the opening that glides over the skin, enabling controlled and easy application without touching the product with fingers. Moreover, they allow for precise, mess-free application, reducing product wastage. The rolling ball design ensures accurate and sanitary application, allowing active ingredients like antibacterial, anti-inflammatory, and skin-repairing agents to be spread evenly.

WHY WE DEVELOP THIS PRODUCT?

Although there are many traditional topical acne treatments available as gels, ointments, or creams, roll-on formulations offer a modern and user-friendly alternative that not only targets acne but also improves patient convenience and comfort. Roll-on acne treatments have several advantages, including:

  • Roll-on products provide a convenient and easy way to apply liquid or semi-liquid substances to the skin.
  • The rolling ball applicator ensures precise and controlled product delivery.
  • It eliminates the need to use fingers, reducing the risk of contamination.
  • Helps minimize product wastage through accurate application.
  • Ideal for targeted treatments, such as acne or scar care, where applying to specific areas is important.
  • Offers a mess-free and portable design, making it comfortable and practical for everyday use.
  • Encourages consistent application, which can improve treatment effectiveness.

1.2 AIM AND OBJECTIVES

Aim:

To design and evaluate herbal-based roll-on formulation for effective management of acne and acne scars, ensuring enhanced therapeutic efficacy, patient comfort, and safety.

Objectives:

  • To choose and integrate appropriate herbal extracts recognized for their anti-acne efficacy and skin-restorative benefits into a roll-on formulation.
  • To evaluate the physical and chemical characteristics of the roll-on, including spreadability, pH, and microbial stability.
  • To assess the in vitro or in vivo anti-acne and scar-reducing efficacy of the formulation.
  • To examine the safety and skin compatibility of the herbal roll-on through irritation and allergenicity tests.
  • To compare the developed roll-on’s performance with existing conventional acne treatments.

Plan of Work:

  1. Review of Literature
  2. Selection of Ingredients and its characterisation
  3. Formulation of herbal-based roll-on and its evaluation

1.3 PLANT PROFILE

    1.  ALOE VERA:

 

Table: 1 Plant profile of aloe vera

Kingdom

Plantae

Phylum

Tracheophyta

Class

Liliopsida

Order

Asparagales

Family

Liliaceae/ Asphodelaceae

Genus

Aloe

Species

vera

 

Aloe vera (Aloe barbadensis Miller) belongs to the family Asphodelaceae and is a succulent species distinguished by its thick, fleshy leaves filled with a transparent, soothing gel. This gel has long been valued in traditional systems of medicine as well as in modern therapeutics for its moisturizing, anti-inflammatory, and wound-healing effects. Commonly referred to as “Aloe,” “Burn plant,” or “Medicine plant,” Aloe vera holds an important place in skincare and health-related products across the globe. In India, it is widely known as “Ghritkumari,” whereas in English-speaking regions it is also called the “Lily of the Desert.” [17, 18].

Description:

 

 

Fig:1 Aloe Vera Plant

Originally found in the Arabian Peninsula, Aloe vera is now extensively grown in dry and semi-dry regions across Africa, India, Mexico, and the Mediterranean, where it thrives in warm climates with sandy, well-drained soil [19]. This plant is highly regarded for a variety of biological effects, such as hydrating the skin, reducing inflammation, acting as an antioxidant, fighting microbes, promoting wound healing, and modulating the immune system, which has cemented its role in both traditional healing practices and modern healthcare [20, 21]. The healing qualities of Aloe vera are due to its diverse chemical makeup, including key components like polysaccharides, vitamins A, C, and E, essential minerals like calcium and magnesium, enzymes, amino acids, anthraquinones, and phenolic substances [22]. In terms of structure, Aloe vera features thick, succulent, lance-shaped leaves arranged in a rosette pattern with serrated margins, filled with a clear, jelly-like substance; it blooms with tall flower stalks that bear tubular yellow blossoms [23,24]. From an economic perspective, Aloe vera is a valuable crop widely utilized in the cosmetic, pharmaceutical, food, and beverage sectors worldwide, with products ranging from skincare and wound care to digestive aids, driven by increasing consumer preference for natural and plant-derived ingredients [25, 26].

    1. CUCUMBER:

 

Table: 2 Plant profile of cucumber

Kingdom

Plantae

Phylum

Magnoliophyta

Class

Magnoliopsida

Order

Cucurbitales

Family

Cucurbitaceae

Genus

Cucumis

Species

sativus

 

 

Cucumber (Cucumis sativus), a member of the Cucurbitaceae family, is a commonly grown vine recognized for its refreshing, water-rich fruit. Packed with essential vitamins, minerals, and antioxidants, cucumber is valued not only as a nutritious food but also for its calming and hydrating effects on the skin [27]. It is often applied in skincare to help soothe inflammation and irritation. Known simply as “cucumber” in many regions, it is called “Kheera” in India and is widely used in both cooking and cosmetic products in various English-speaking countries [28].

 

Description:

 

 

Fig: 2 Cucumber Plant

Native originally to South Asia, cucumber is now extensively grown in both temperate and tropical areas around the world, including regions like India, China, the Mediterranean, and the Americas [29]. The plant grows as a creeping or climbing vine featuring tendrils, large heart-shaped leaves, and yellow flowers. It produces elongated, green fruits that have a crisp, juicy flesh and are often covered with small spines [30, 31]. Cucumber is valued for a wide range of biological activities, including antioxidant, anti-inflammatory, antimicrobial, and hydrating properties. These characteristics support its use in traditional medicinal practices and in modern cosmetic formulations designed to soothe irritated skin and alleviate inflammation. The fruit contains numerous bioactive compounds, such as flavonoids, lignans, cucurbitacins, vitamins C and K, essential minerals, and natural antioxidants, which together account for its therapeutic and skin-benefiting effects [33]. From an economic perspective, cucumber is a significant crop commonly used in food preparations like salads, pickles, and drinks, and it also holds importance in the cosmetics and pharmaceutical sectors due to its hydrating and soothing qualities, with its popularity rising alongside the demand for natural skincare solutions [34].

 

2.1 MATERIALS AND METHODS

2.11 CHEMICALS USED:

The chemicals utilized were of pharmaceutical grade or the highest quality laboratory reagents.

 

Table: 3 Chemicals used

SI NO

INGREDIENTS

BRAND NAME

1

Carbomer 940

Isochem Laboratories

2

Sodium Ascorbyl Phosphate

Chemind Chemicals

3

Ethylenediamine Tetra-aceticacid

Chemind Chemicals

4

Triethanolamine

Chemind Chemicals

5

Glycerine

Medilines Chemicals

6

Propylene Glycol

Nice Chemicals

 

2.12 EQUIPMENTS AND INSTRUMENTS USED:

 

 

 

 

 

 

 

 

 

Table: 4 Equipment & Instruments used

SI NO

TITLE

FIGURE

1

 

BEAKER

 

 

Fig: 3 Beaker

 

2

 

GLASS ROD

 

Fig: 4 Glass rod

 

3

 

MEASURING       CYLINDER

 

Fig: 5 Measuring cylinder

 

4

 

PH METER

 

Fig: 6 pH Meter

 

5

 

VISCOMETER

 

Fig: 7 Viscometer

 

6

 

ANALYTICAL BALANCE

 

Fig: 8 Analytical Balance

 

 

2.13 METHOD OF EXTRACTION:

EXTRACTION OF ALOE VERA:

Aloe vera extraction through alcoholic maceration involves collecting the inner gel from clean, fresh leaves and mixing it with 70–95% ethanol in an appropriate ratio to allow efficient solvent action. The mixture is sealed and left at room temperature for several days, with occasional shaking to enhance the release of active components such as phenolics, flavonoids, antioxidants, and polysaccharides. After the maceration period, the solution is filtered to obtain the clear extract, which can be gently concentrated if required. This method yields a stable, bioactive-rich aloe vera extract suitable for cosmetic and herbal applications [35, 36].

EXTRACTION OF CUCUMBER:

Cucumber extraction using boiling-assisted maceration begins by cutting the cucumber into small pieces and heating it with water for 10–20 minutes to help release its active, water-soluble constituents. Once the mixture is boiled, it is allowed to cool naturally and then kept covered to prevent contamination. The cooled preparation is left undisturbed for a period of 7 days, allowing prolonged maceration, which improves the diffusion of beneficial compounds such as phenolics, flavonoids, vitamins, and minerals into the solvent. During this time, occasional gentle shaking can further support efficient extraction. After the 7-day period, the mixture is filtered to separate the clear extract from the plant residue, and the filtrate may be concentrated at low temperature if a thicker or stronger extract is required. This combined technique produces a stable and nutrient-rich cucumber extract suitable for use in cosmetic formulations and various herbal applications [37,38,39].

2.14 CHEMICAL EVALUVATION:

Phytochemical screening of aloe vera

 

Table: 5 Phytochemical screening of aloe vera

EXPERIMENT

OBSERVATION

INFERENCE

Test for carbohydrates: Molisch Test

A small quantity of Molisch reagent is added to 1 mL of Conc. H2SO4 to the extract.

 

A violet ring is formed the junction of two liquids.

 

Fig: 9 Molisch test

Presence of Carbohydrates.

Test for Phenolic compounds:

Lead acetate Test:

Measure 1 mL of the extract and add a few drops of lead acetate solution to it.

 

A bulky-white precipitates are formed.

 

Fig: 10 Lead acetate test

Presence of Phenolic Compounds

Test for saponins:

Foam Test:

Take 1 mL of the extract, add a small volume of distilled water, and mix thoroughly by shaking.

 

 

 

Formation of Foam.

 

Fig: 11 Foam test

Presence of Saponins.

Test for Triterpenoids:

Salkowski’s Test:

Take 1ml of extract with ethanol and add 1ml of conc. H2SO4.

 

Interface was formed for a reddish-brown colour.

 

Fig: 12 Salkowski’s test

Presence of Triterpenoids.

Phytochemical screening of cucumber

Table: 6 Phytochemical screening of Cucumber

EXPERIMENT

OBSERVATION

INFERENCE

Test for carbohydrates: Molisch Test

A few drops of Molisch   reagent are carefully added to 1 mL of Conc. H2SO4 to the extract.

 

 

A violet ring is formed the junction of two liquids.

 

Fig: 13 Molisch test

Presence of Carbohydrates.

Test for flavonoids:

Shinoda Test:

Solution was treated with Mg turnings and concentrated with HCL was added dropwise.

 

 

Crimson red colour appears.

 

Fig: 14 Shinoda test

Presence of Flavonoids.

Test for saponins:

Foam Test:

Take 1 mL of the extract, add several milliliters of distilled water, and shake thoroughly to ensure proper mixing.

 

Formation of Foam appears.

 

 

Fig: 15 Foam test

Presence of Saponins.

Test for Triterpenoids:

Salkowski’s Test:

Take 1ml of extract with ethanol and add 1ml of conc. H2SO4.

 

Interface was formed for a reddish-brown colour.

 

Fig: 16 Salkowski’s test

Presence of Triterpenoids.

Test for alkaloids:

Dragendroff’s Test:

Add a few drops of Dragendorff’s reagent to 1 mL of the extract.

 

Orange red precipitate was formed.

 

Fig: 17 Dragendroff’s test

Presence of Alkaloids [40,41,42].

 

    1. FORMULATION AND EVALUVATION OF ANTI ACNE AND ACNE SCAR ROLL ON:

2.151 FORMULATION OF ROLL ON:

The roll-on formulation is enriched with aloe vera and cucumber extracts as the main herbal actives, supported by vitamins and other beneficial agents. A base of water or hydrogel provides stability and ease of application. Glycerine and similar moisturizers help maintain skin hydration, while Carbopol are used to obtain a smooth, spreadable consistency. To ensure safety and longer shelf life, preservatives are incorporated to protect against microbial growth.

 

Table: 7 Formulation Table

SI NO

INGREDIENTS

F1

F2

F3

1

Aloe Vera Extract

1ml

1ml

1ml

2

Cucumber Extract

1ml

2ml

1ml

3

Carbopol 940

0.17g

0.18g

0.10g

4

Propylene Glycol

1.15ml

1.15ml

1.15ml

5

Sodium Ascorbyl Phosphate

3.1g

3.1g

2.1g

6

EDTA

0.0125g

0.0126g

0.0126g

7

Triethanolamine

0.10g

0.12g

0.13g

8

Methyl Paraben

0.35g

0.20g

0.46g

9

Glycerine

1ml

1ml

1ml

10

Distilled Water

Qs to 25ml

Qs to 25ml

Qs to 25ml

 

2.152 PROCEDURE:

  1. To required chemicals were precisely measured based on the formulation.
  2. First dispersed Carbopol in distilled water and kept it aside for swelling.
  3. A secondary solution was prepared by dissolving glycerine, propylene glycol, sodium ascorbyl phosphate, EDTA in distilled water followed by incorporation of aloe vera and cucumber extracts along with methyl paraben.
  4. This extract solution was slowly mixed with the hydrated gel base under constant stirring, avoiding air bubble formation.
  5. The pH was initially checked (3-4) and then adjusted to 5.5-6.0 using triethanolamine added dropwise to obtain clear gel.
  6. The preparation was adjusted to the required final volume using distilled water, after which the optimized gel base was transferred into roll-on containers [43, 44, 45].

2.153 EVALUVATION OF ROLL ON:

Evaluation of a roll-on formulation is essential to verify its quality, safety, and performance. This involves examining its physical appearance, pH, viscosity, spreadability, stability, and consistency of active ingredients. Overall, these assessments ensure the product is effective, safe, and reliable for use.

  1. PHYSICAL APPEARANCE:

It involves the visual examination of the formulation’s colour, consistency, odour, appearance, which are reported.

  1. DETERMINATION OF pH:

pH was measured at room temperature using a pre-calibrated digital pH meter to ensure the formulation is compatible with the skin’s natural pH (4.5-6.5), thereby preventing irritation [46].

  1. DETERMINATION OF VISCOSITY:

The viscosity of the optimized formulation was measured with a Brookfield digital viscometer to evaluate its consistency, a factor that affects both spreadability and ease of application [47].

  1. SPREADABILITY:

Spreadability of the formulation was evaluated by placing a fixed amount between two glass slides, applying weight for uniform compression, then measuring the time taken for the upper slide to move a set distance under a specified load, and calculating spreadability using the formula:

 

S = M × L

       T

Were, M= Weight tied to the upper slide

           L= Length

           T= Time Taken [48].

  1. ANTIMICROBIAL EVALUVATION:

The antibacterial activity of the roll-on formulation containing Aloe vera and cucumber extracts was evaluated by the agar well diffusion method. The prepared topical roll-ons were subsequently tested for antimicrobial effectiveness against Staphylococcus aureus and Escherichia coli using this standard diffusion assay.

Microbial Organisms: In the present investigation, one Gram-positive organism (Staphylococcus aureus) and one Gram-negative organism (Escherichia coli) were chosen as the test microorganisms. Before experimentation, the bacterial cultures were preserved and propagated in nutrient broth.

Medium: Muller-Hinton agar

Method: Agar well diffusion method

Standard: Neomycin

Procedure of Agar well diffusion method:

The bacterial strains, S. aureus and E. coli, were evenly spread across the surface of Muller–Hinton agar plates using a sterile swab. Wells measuring about 6–8 mm in diameter were then created on the agar, and each well was filled with the roll-on formulation containing Aloe vera and Cucumber extracts in 1:1 and 1:2 concentrations, while one well received a drop of neomycin as the standard control. The prepared plates were allowed to stand inside the laminar airflow cabinet for 30 minutes to facilitate proper diffusion of the samples, followed by incubation for 24 hours. After incubation, the diameter of the inhibition zones was measured and compared with the standard [49,50].

    1. RESULT AND DISCUSSION:

2.21 RESULT OF PHYTOCHEMICAL SCREENING

PHYTOCHEMICALS PRESENT IN ALOE VERA ECTRACT:

 

Table: 8 Phytochemical present in Aloe vera

CHEMICAL TEST

ETHANOLIC EXTRACT

Test for Carbohydrates:

  1. Molisch test

Positive

Test for Phenolic compounds:

  1. Lead acetate test

Positive

Test for saponins:

  1. Foam test

Positive

Test for Triterpenoids:

  1. Salkowski’s test

Positive

Test for Glycosides:

  1. Baljet test

Negative

Test for Alkaloids:

  1. Dragendroff’s test

Negative

 

 PHYTOCHEMICALS PRESENT IN CUCUMBER ECTRACT:

 

Table: 9 Phytochemical present in Cucumber

CHEMICAL TEST

ETHANOLIC EXTRACT

Test for carbohydrates:

  1. Molisch test

Positive

Test for flavonoids:

  1. Shinoda test

Positive

Test for saponins:

  1. Foam test

Positive

Test for Triterpenoids:

  1. Salkowski’s test

Positive

Test for alkaloids:

  1. Dragendroff’s test

Positive

Test for Glycosides:

  1. Baljet test

Negative

 

 

           

 

Fig: 18 Phytochemical screening test       Fig: 19 Phytochemical screening test

of Aloe vera                                                                  of Cucumber

 

2.22 PHYSICAL APPEARANCE:

The samples marked F1, F2, and F3 display a clear to mildly cloudy, gel-like appearance. Of the three, F1 and F2 exhibit greater clarity and a more consistent texture, whereas F3 appears slightly less transparent.

 

Table: 10 Physical appearance

FORMULATION

 

COLOUR

CONSISTENCY

APPEARANCE

ODOUR

F1

Transparent to slightly translucent.

Gel like solution

Semi transparent

Characteristic odour

F2

Transparent to slightly translucent.

Gel like solution

Semi transparent

Characteristic odour

F3

Transparent to slightly translucent.

Gel like solution

Semi transparent

Characteristic odour

 

 

 

Fig: 20 Physical Appearance

2.23 DETERMINATION OF pH:

 

The pH of roll-on formulations F1, F2, F3 was in accordance with skin pH 4.5- 6.5.

 

Table: 11 pH of different formulations

F1

F2

F3

5.55

5.24

4.63

 

 

     

 

 

Fig: 21 pH of F1                                            Fig: 22 pH of F2

 

 

 

                   Fig: 23 pH of F3

2.24 DETERMINATION OF VISCOSITY:

The viscosity of the prepared roll-on formulations was evaluated, and F1 and F2 showed more desirable consistency. Their viscosity level indicates that these formulations can spread easily and adhere well to the skin, making them suitable for topical application.

Table: 12 Viscosity of different formulations

F1

F2

F3

102.2 mPa.S

101.7 mPa.S

67.0 mPa.S

 

 

 

     

 

 

         Fig: 24 Viscosity of F1                      Fig: 25 Viscosity of F2

 

2.25 SPREADABILITY:

The spreadability of the various formulations is presented in the table. A higher spreadability coefficient indicates better ease of application on the skin. Among the formulations, F1 exhibited the highest spreadability at 33.3, followed by F2 with the second-highest value.

Table: 13 Spreadability of different formulations

F1

F2

F3

33.3

18.1

6.06

 

   

 

  

       

 

 

Fig: 26 Spreadability of F1                                   Fig: 27 Spreadability of F2

 

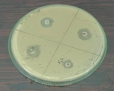
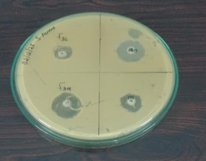
2.26 ANTIMICROBIAL STUDY:

The antibacterial effects of the herbal roll-on formulations on Staphylococcus aureus and E. coli are summarized in the table. This study did not assess the minimum inhibitory concentration (MIC) but evaluated the activity by measuring the inhibition zone diameters on Mueller-Hinton agar. Neomycin served as the standard reference. Both formulations, F1 and F2, showed significant antibacterial activity against the tested bacterial strains. The observed clear zones around the wells are attributed to the bioactive compounds in aloe vera and cucumber extracts, including flavonoids, alkaloids, saponins, triterpenoids, and tannins, which possess antibacterial properties.

 

Table: 14 Antimicrobial Activity

SI.

NO

FORMULATION

NAME OF ORGANISM

 

TIME OF INCUBATION

ZONE OF INHIBITION (mm)

STANDARD

TEST

1

F1

F1 H

S. aureus

24 hrs

30

28

E. coli

24 hrs

29

22

F1 L

S. aureus

24 hrs

28

15

E. coli

24 hrs

25

23

2

F2

F2 H

S. aureus

24 hrs

33

27

E. coli

24 hrs

28

23

F2 L

S. aureus

24 hrs

27

24

E. coli

24 hrs

23

22

3

F3

F3 H

S. aureus

24 hrs

28

24

E. coli

24 hrs

23

20

F3 L

S. aureus

24 hrs

24

15

E. coli

24 hrs

20

13

 

 

  

         

 

            Fig: 28 F1 against S. aureus                       Fig: 29 F1 against E. coli

 

           

 

      

          

 

            Fig: 30 F2 against S. aureus                                Fig: 31 F2 against E. coli

 

 

 

       

 

Fig: 32 F3 against S. aureus                              Fig: 33 F3against E. coli

 
    1. SUMMARY & CONCLUSION:

In this work, herbal roll-on preparations formulated with Aloe vera and Cucumber extracts were developed and evaluated with a focus on their potential application in managing acne and acne-related scars. Three primary formulations F1 (1 mL:1 mL), F2 (1 mL:2 mL), and F3 (1 mL:1 mL) were prepared using suitable excipients, including a gelling agent, humectant, and preservative, to ensure appropriate texture and stability. Although only three formulations were created, six test concentrations were examined during antibacterial analysis by diluting 100 µL of each formulation with distilled water to obtain additional equivalent concentrations. Assessment of physicochemical properties revealed that F1 and F2 exhibited superior clarity, viscosity, and spreadability when compared to F3. Antimicrobial studies against Staphylococcus aureus showed that F1 and F2 produced inhibition zones of around 27 mm, approaching the reference standard zone of 33 mm, thus reflecting notable antibacterial potential. Overall, F1 and F2 were identified as the most promising formulations for topical use in acne and acne-scar care. However, further in vivo work is required to confirm their therapeutic effectiveness and skin compatibility.

REFERENCES

  1. Tanghetti, Emil A. "The Role of Inflammation in the Pathology of Acne." Journal of Clinical and Aesthetic Dermatology, vol. 6, no. 9, 2013, pp. 27–35. PubMed Central, https://www.ncbi.nlm.nih.gov/pmc/articles/PMC3780801/.
  2. Sri   Agung   Fitri   Kusuma   et.al, 2018, Formulation and Evaluation of Anti Acne Gel Containing Citrus Aurantifolia Fruit Juice Using Carbopol as Gelling Agent, International Journal of Applied Pharmaceutics, 10(4):147-152.
  3. Gollnick H, Cunliffe W J, Berson D.et al. Management of acne: a report from a global alliance to improve outcomes in Acne. J Am Acad Dermatol. 2003; 49(1): 1–37. [PubMed] [Google Scholar]
  4. Wong, Victor W., et al. "Acute Wound Healing: A Review of the Literature." Plastic and Reconstructive Surgery, vol. 129, no. 3, 2012, pp. 569–578. https://journals.lww.com/plasreconsurg/Fulltext/2012/03000/Acute_Wound_Healing__A_Review_of_the_Literature.18.aspx.
  5. Daud Farhat S, Shubhangi W, Mamta J and Gauri P: Development of herbal anti-acne gel and its evaluation against acne-causing bacteria propionibacterium acne and staphylococcus epidermidis. Int J Res Ayurveda Pharm 2013; 4(5): 781–6.
  6. National Institute of Arthritis and Musculoskeletal and Skin Diseases. "Scar Treatment." NIH, 2021, https://www.niams.nih.gov/health-topics/scars.
  7. Tan, J. K. L., & Bhate, K. (2015). A global perspective on the epidemiology of acne. British Journal of Dermatology, 172(S1), 3–12. https://doi.org/10.1111/bjd.13462.
  8. Fabbrocini, G., Annunziata, M. C., D’Arco, V., De Vita, V., Lodi, G., & Monfrecola, G. (2010). Acne scars: Pathogenesis, classification and treatment. Dermatology Research and Practice, 2010, 893080. https://doi.org/10.1155/2010/893080.
  9. Wang X, Yu Y. Pathogenesis and treatment of acne scars: Recent advances. J Dermatol Sci. 2022;106(3):153-61. doi:10.1016/j.jdermsci.2022.02.005.
  10. Kim M, Kim JE. The role of inflammation in acne scar formation and potential therapeutic strategies. Int J Mol Sci. 2023;24(12):7634. doi:10.3390/ijms24127634.
  11. Lee YS, Lee HJ. Matrix metalloproteinases in acne scars: Pathophysiology and treatment implications. Dermatol Ther. 2021;34(4):e14990. doi:10.1111/dth.14990.
  12. Surjushe A, Vasani R, Saple DG. Aloe vera: A short review. Indian J Dermatol. 2008;53(4):163-6. doi:10.4103/0019-5154.44785.
  13. Draelos ZD. The effect of cucumber extract on skin. J Cosmet Dermatol. 2012;11(4):310-4. doi:10.1111/j.1473-2165.2012.00635.x.
  14. Hewlings SJ, Kalman DS. Curcumin: A review of its’ effects on human health. Foods. 2017;6(10):92. doi:10.3390/foods6100092.
  15. Hammer KA, Carson CF, Riley TV. Antimicrobial activity of essential oils and other plant extracts. J Appl Microbiol. 1999;86(6):985-90. doi:10.1046/j.1365-2672.1999.00780. x.
  16. Aloe Vera Polysaccharides as Therapeutic Agents: Benefits Versus Side Effects in Biomedical Applications. Polysaccharides. 2025;6(2):36. Available from: https://www.mdpi.com/2673-4176/6/2/36
  17. Aloe Vera: 10 Skin Benefits You Need to Know. LiveMint. 2024 Apr 8. Available from: https://www.livemint.com/web-stories/aloe-vera-10-skin-benefits-you-need-to-know-11712570370280.html
  18. A Review: Therapeutic, Medicinal, and Food Uses of Aloe Vera. Universal Journal of Pharmaceutical Research. 2024 Jan. Available from: https://www.ujpronline.com/index.php/journal/article/view/1045
  19. Hamman JH. Composition and applications of Aloe vera leaf gel. Molecules. 2008;13(8):1599-616. doi:10.3390/molecules13081599.
  20. Reynolds T, Dweck AC. Aloe vera leaf gel: a review update. J Ethnopharmacol. 1999;68(1-3):3-37. doi:10.1016/S0378-8741(99)00085-9.
  21. Choi S, Chung M-H. A review on the relationship between Aloe vera components and their biologic effects. Semin Integr Med. 2003;1(1):53-62. doi:10.1053/saim.2003.50004.
  22. Boudreau MD, Beland FA. An evaluation of the biological and toxicological properties of Aloe barbadensis (Miller), Aloe vera. J Environ Sci Health C Environ Carcinog Ecotoxicol Rev. 2006;24(1):103-54. doi:10.1080/10590500600614375.
  23. Vogler BK, Ernst E. Aloe vera: a systematic review of its clinical effectiveness. Br J Gen Pract. 1999;49(447):823-8.
  24. Eshun K, He Q. Aloe vera: a valuable ingredient for the food, pharmaceutical and cosmetic industries A review. Crit Rev Food Sci Nutr. 2004;44(2):91-96. doi:10.1080/10408690490422254.
  25.  Duran MC, de Sousa VP, de Moura CE, et al. Aloe vera: An updated review on its health and medicinal properties. Trends Food Sci Technol. 2023;134:158-75. doi:10.1016/j.tifs.2023.01.010.
  26. Grindlay D, Reynolds T. The Aloe vera phenomenon: a review of the properties and modern uses of the leaf parenchyma gel. J Ethnopharmacol. 1986;16(2-3):117-51. doi:10.1016/0378-8741(86)90077-9.
  27. Shahidi F, Ambigaipalan P. Phenolics and polyphenolics in foods, beverages and spices: Antioxidant activity and health effects—a review. J Funct Foods. 2015;18:820-97.
  28. Momin S, D’souza P. A review on Cucumis sativus (Cucumber): Nutritional, therapeutic, and cosmetic aspects. J Pharm Sci Innov. 2022;11(4):295-301.
  29. Singh R, Kaur S. Traditional and modern uses of Cucumis sativus in India. J Ethnopharmacol. 2019;231:234-42.
  30. Smith J, Lee A. Global cultivation and production of cucumber. Horticultural Sci. 2020;55(3):345-52.
  31. Kumar P, Sharma R. Biological activities and therapeutic potential of cucumber (Cucumis sativus): A review. Phytother Res. 2021;35(9):4505-17.
  32. Zhao X, Wang Y. Chemical composition and health benefits of cucumber. Food Chem. 2022; 370:131053.
  33. Patel M, Singh A. Morphological characteristics of cucumber plants and fruits. Bot Rev. 2018;84(2):128-36.
  34. Johnson D, Brown K. Economic importance and commercial uses of cucumber. Agr Econ Rev. 2023;45(1):58-65.
  35. Bunyapraphatsara N, Chaiyasit S, Bunnag B, et al. Aloe vera: The genus Aloe. CRC Press; 2017.
  36. Sánchez-Machado DI, López-Cervantes J, Sendón R, et al. Chemical composition and functional properties of Aloe vera gel powder. J Food Sci. 2015;80(6):H1243-9.
  37. Pandey A, Tripathi S. Concept of standardization, extraction and pre phytochemical screening strategies for herbal drug. J Pharmacogn Phytochem. 2014;2(5):115–9.
  38. Patel M, Patel RJ. Phytochemical and pharmacological profile of Cucumis sativus Linn: An overview. Int J Pharm Life Sci. 2011;2(7):1219–1221.
  39. Vinoth B, Manivasagaperumal R, Rajaravindran M. Phytochemical analysis and antibacterial activity of Cucumis sativus L. Int J Res Bot. 2012;2(4):21–23.
  40.  H. M. Rumagit, M. R. J. Runtuwene, S. Sudewi, J. Kimia, and F. U. Manado. UJI FITOKIMIA DAN UJI AKTIVITAS ANTIOKSIDAN DARI EKSTRAK ETANOL SPONS Lamellodysidea herbacea Program Studi Farmasi Fakultas MIPA UNSRAT Manado. PHARMACONJurnal Ilm. Farm. – UNSRAT. 2015; vol. 4(2): pp. 2302–2493.
  41.  P. S. Manongko, M. S. Sangi, and L. I. Momuat. Uji Senyawa Fitokimia dan Aktivitas Antioksidan Tanaman Patah Tulang (Euphorbia tirucalli L.). J. MIPA. 2020; vol. 9(2): p. 64. doi: 10.35799/jmuo.9.2.2020.28725.
  42. Neni Sri Gunarti, Shintia, Farhamzah, Eko Sri Wahyuningsih, and Putri Agustina. Formulation and Antibacterial Tests of Serum Preparation of Ethanol Extract of Guava Leaves (Psidium Guajava L) as an Anti-Acne. Formulation and Antibacterial Tests of Serum Preparation of Ethanol Extract: page no: 145.
  43. Sharma M, Rathore V. Formulation development and evaluation of novel poly-herbal anti-acne gel. Int J PharmTech Res. 2014;6(1):58-62.
  44. Satpute KL, Kalyankar TM. Development and evaluation of herbal cream for the treatment of acne. J Pharmacogn Phytochem. 2019;8(3):2618-24.
  45. Nayak BS, Raju SS. Aloe vera: A potential herb for acne management – A review. Int J Pharm Sci Res. 2011;2(8):1991-7.
  46. Kristyanti Y, More E. Stability test on formulation of roll-on deodorant of lemongrass leaf extract (Cymbopogon citratus). Asian J Pharm Tech. 2025;14(4):1-6.
  47. Teerasumran P. Deodorants and antiperspirants: New trends in their active ingredients. Int J Cosmet Sci. 2023;45(4):345-356.
  48. Salmiah S, Ihsan EA, Rahim A. Antibacterial activity test of roll-on deodorant extract ethanol tamarind seed coat. Ad-Dawa'a J Pharm Sci. 2023;6(1):33-45.
  49. Alateeqi DIM, Al?Touby SSJ, Hossain MA. Evaluation of bacteriostatic and antioxidant activities of various extracts from aerial part of?Piper nigrum grown in Gulf countries. SN Applied Sciences. 2025;7:123.
  50. Sundar S, Padmalatha K, Apsana SK, Himaja P, Nandini V, Sirisha D. Antibacterial and Antifungal Activity of Carica papaya L seed extracts. Research journal of Pharmacy and Technology. 2021 Feb 1; 14(2): 1085-1090.

Reference

  1. Tanghetti, Emil A. "The Role of Inflammation in the Pathology of Acne." Journal of Clinical and Aesthetic Dermatology, vol. 6, no. 9, 2013, pp. 27–35. PubMed Central, https://www.ncbi.nlm.nih.gov/pmc/articles/PMC3780801/.
  2. Sri   Agung   Fitri   Kusuma   et.al, 2018, Formulation and Evaluation of Anti Acne Gel Containing Citrus Aurantifolia Fruit Juice Using Carbopol as Gelling Agent, International Journal of Applied Pharmaceutics, 10(4):147-152.
  3. Gollnick H, Cunliffe W J, Berson D.et al. Management of acne: a report from a global alliance to improve outcomes in Acne. J Am Acad Dermatol. 2003; 49(1): 1–37. [PubMed] [Google Scholar]
  4. Wong, Victor W., et al. "Acute Wound Healing: A Review of the Literature." Plastic and Reconstructive Surgery, vol. 129, no. 3, 2012, pp. 569–578. https://journals.lww.com/plasreconsurg/Fulltext/2012/03000/Acute_Wound_Healing__A_Review_of_the_Literature.18.aspx.
  5. Daud Farhat S, Shubhangi W, Mamta J and Gauri P: Development of herbal anti-acne gel and its evaluation against acne-causing bacteria propionibacterium acne and staphylococcus epidermidis. Int J Res Ayurveda Pharm 2013; 4(5): 781–6.
  6. National Institute of Arthritis and Musculoskeletal and Skin Diseases. "Scar Treatment." NIH, 2021, https://www.niams.nih.gov/health-topics/scars.
  7. Tan, J. K. L., & Bhate, K. (2015). A global perspective on the epidemiology of acne. British Journal of Dermatology, 172(S1), 3–12. https://doi.org/10.1111/bjd.13462.
  8. Fabbrocini, G., Annunziata, M. C., D’Arco, V., De Vita, V., Lodi, G., & Monfrecola, G. (2010). Acne scars: Pathogenesis, classification and treatment. Dermatology Research and Practice, 2010, 893080. https://doi.org/10.1155/2010/893080.
  9. Wang X, Yu Y. Pathogenesis and treatment of acne scars: Recent advances. J Dermatol Sci. 2022;106(3):153-61. doi:10.1016/j.jdermsci.2022.02.005.
  10. Kim M, Kim JE. The role of inflammation in acne scar formation and potential therapeutic strategies. Int J Mol Sci. 2023;24(12):7634. doi:10.3390/ijms24127634.
  11. Lee YS, Lee HJ. Matrix metalloproteinases in acne scars: Pathophysiology and treatment implications. Dermatol Ther. 2021;34(4):e14990. doi:10.1111/dth.14990.
  12. Surjushe A, Vasani R, Saple DG. Aloe vera: A short review. Indian J Dermatol. 2008;53(4):163-6. doi:10.4103/0019-5154.44785.
  13. Draelos ZD. The effect of cucumber extract on skin. J Cosmet Dermatol. 2012;11(4):310-4. doi:10.1111/j.1473-2165.2012.00635.x.
  14. Hewlings SJ, Kalman DS. Curcumin: A review of its’ effects on human health. Foods. 2017;6(10):92. doi:10.3390/foods6100092.
  15. Hammer KA, Carson CF, Riley TV. Antimicrobial activity of essential oils and other plant extracts. J Appl Microbiol. 1999;86(6):985-90. doi:10.1046/j.1365-2672.1999.00780. x.
  16. Aloe Vera Polysaccharides as Therapeutic Agents: Benefits Versus Side Effects in Biomedical Applications. Polysaccharides. 2025;6(2):36. Available from: https://www.mdpi.com/2673-4176/6/2/36
  17. Aloe Vera: 10 Skin Benefits You Need to Know. LiveMint. 2024 Apr 8. Available from: https://www.livemint.com/web-stories/aloe-vera-10-skin-benefits-you-need-to-know-11712570370280.html
  18. A Review: Therapeutic, Medicinal, and Food Uses of Aloe Vera. Universal Journal of Pharmaceutical Research. 2024 Jan. Available from: https://www.ujpronline.com/index.php/journal/article/view/1045
  19. Hamman JH. Composition and applications of Aloe vera leaf gel. Molecules. 2008;13(8):1599-616. doi:10.3390/molecules13081599.
  20. Reynolds T, Dweck AC. Aloe vera leaf gel: a review update. J Ethnopharmacol. 1999;68(1-3):3-37. doi:10.1016/S0378-8741(99)00085-9.
  21. Choi S, Chung M-H. A review on the relationship between Aloe vera components and their biologic effects. Semin Integr Med. 2003;1(1):53-62. doi:10.1053/saim.2003.50004.
  22. Boudreau MD, Beland FA. An evaluation of the biological and toxicological properties of Aloe barbadensis (Miller), Aloe vera. J Environ Sci Health C Environ Carcinog Ecotoxicol Rev. 2006;24(1):103-54. doi:10.1080/10590500600614375.
  23. Vogler BK, Ernst E. Aloe vera: a systematic review of its clinical effectiveness. Br J Gen Pract. 1999;49(447):823-8.
  24. Eshun K, He Q. Aloe vera: a valuable ingredient for the food, pharmaceutical and cosmetic industries A review. Crit Rev Food Sci Nutr. 2004;44(2):91-96. doi:10.1080/10408690490422254.
  25.  Duran MC, de Sousa VP, de Moura CE, et al. Aloe vera: An updated review on its health and medicinal properties. Trends Food Sci Technol. 2023;134:158-75. doi:10.1016/j.tifs.2023.01.010.
  26. Grindlay D, Reynolds T. The Aloe vera phenomenon: a review of the properties and modern uses of the leaf parenchyma gel. J Ethnopharmacol. 1986;16(2-3):117-51. doi:10.1016/0378-8741(86)90077-9.
  27. Shahidi F, Ambigaipalan P. Phenolics and polyphenolics in foods, beverages and spices: Antioxidant activity and health effects—a review. J Funct Foods. 2015;18:820-97.
  28. Momin S, D’souza P. A review on Cucumis sativus (Cucumber): Nutritional, therapeutic, and cosmetic aspects. J Pharm Sci Innov. 2022;11(4):295-301.
  29. Singh R, Kaur S. Traditional and modern uses of Cucumis sativus in India. J Ethnopharmacol. 2019;231:234-42.
  30. Smith J, Lee A. Global cultivation and production of cucumber. Horticultural Sci. 2020;55(3):345-52.
  31. Kumar P, Sharma R. Biological activities and therapeutic potential of cucumber (Cucumis sativus): A review. Phytother Res. 2021;35(9):4505-17.
  32. Zhao X, Wang Y. Chemical composition and health benefits of cucumber. Food Chem. 2022; 370:131053.
  33. Patel M, Singh A. Morphological characteristics of cucumber plants and fruits. Bot Rev. 2018;84(2):128-36.
  34. Johnson D, Brown K. Economic importance and commercial uses of cucumber. Agr Econ Rev. 2023;45(1):58-65.
  35. Bunyapraphatsara N, Chaiyasit S, Bunnag B, et al. Aloe vera: The genus Aloe. CRC Press; 2017.
  36. Sánchez-Machado DI, López-Cervantes J, Sendón R, et al. Chemical composition and functional properties of Aloe vera gel powder. J Food Sci. 2015;80(6):H1243-9.
  37. Pandey A, Tripathi S. Concept of standardization, extraction and pre phytochemical screening strategies for herbal drug. J Pharmacogn Phytochem. 2014;2(5):115–9.
  38. Patel M, Patel RJ. Phytochemical and pharmacological profile of Cucumis sativus Linn: An overview. Int J Pharm Life Sci. 2011;2(7):1219–1221.
  39. Vinoth B, Manivasagaperumal R, Rajaravindran M. Phytochemical analysis and antibacterial activity of Cucumis sativus L. Int J Res Bot. 2012;2(4):21–23.
  40.  H. M. Rumagit, M. R. J. Runtuwene, S. Sudewi, J. Kimia, and F. U. Manado. UJI FITOKIMIA DAN UJI AKTIVITAS ANTIOKSIDAN DARI EKSTRAK ETANOL SPONS Lamellodysidea herbacea Program Studi Farmasi Fakultas MIPA UNSRAT Manado. PHARMACONJurnal Ilm. Farm. – UNSRAT. 2015; vol. 4(2): pp. 2302–2493.
  41.  P. S. Manongko, M. S. Sangi, and L. I. Momuat. Uji Senyawa Fitokimia dan Aktivitas Antioksidan Tanaman Patah Tulang (Euphorbia tirucalli L.). J. MIPA. 2020; vol. 9(2): p. 64. doi: 10.35799/jmuo.9.2.2020.28725.
  42. Neni Sri Gunarti, Shintia, Farhamzah, Eko Sri Wahyuningsih, and Putri Agustina. Formulation and Antibacterial Tests of Serum Preparation of Ethanol Extract of Guava Leaves (Psidium Guajava L) as an Anti-Acne. Formulation and Antibacterial Tests of Serum Preparation of Ethanol Extract: page no: 145.
  43. Sharma M, Rathore V. Formulation development and evaluation of novel poly-herbal anti-acne gel. Int J PharmTech Res. 2014;6(1):58-62.
  44. Satpute KL, Kalyankar TM. Development and evaluation of herbal cream for the treatment of acne. J Pharmacogn Phytochem. 2019;8(3):2618-24.
  45. Nayak BS, Raju SS. Aloe vera: A potential herb for acne management – A review. Int J Pharm Sci Res. 2011;2(8):1991-7.
  46. Kristyanti Y, More E. Stability test on formulation of roll-on deodorant of lemongrass leaf extract (Cymbopogon citratus). Asian J Pharm Tech. 2025;14(4):1-6.
  47. Teerasumran P. Deodorants and antiperspirants: New trends in their active ingredients. Int J Cosmet Sci. 2023;45(4):345-356.
  48. Salmiah S, Ihsan EA, Rahim A. Antibacterial activity test of roll-on deodorant extract ethanol tamarind seed coat. Ad-Dawa'a J Pharm Sci. 2023;6(1):33-45.
  49. Alateeqi DIM, Al?Touby SSJ, Hossain MA. Evaluation of bacteriostatic and antioxidant activities of various extracts from aerial part of?Piper nigrum grown in Gulf countries. SN Applied Sciences. 2025;7:123.
  50. Sundar S, Padmalatha K, Apsana SK, Himaja P, Nandini V, Sirisha D. Antibacterial and Antifungal Activity of Carica papaya L seed extracts. Research journal of Pharmacy and Technology. 2021 Feb 1; 14(2): 1085-1090.

Photo
Jilsha G.
Corresponding author

Associate Professor, Dept. of Pharmaceutics, Sanjo College of Pharmaceutical Studies, Vellapara, Palakkad- 678702

Photo
Asiya Nessirin S.
Co-author

8th Semester B. pharm, Dept. of Pharmaceutics, Sanjo College of Pharmaceutical Studies, Vellapara, Palakkad- 678702

Photo
Aparna Jose
Co-author

8th Semester B. pharm, Dept. of Pharmaceutics, Sanjo College of Pharmaceutical Studies, Vellapara, Palakkad- 678702

Photo
Mohammed Asif Palliyalil
Co-author

8th Semester B. pharm, Dept. of Pharmaceutics, Sanjo College of Pharmaceutical Studies, Vellapara, Palakkad- 678702

Photo
Smrithika S.
Co-author

8th Semester B. pharm, Dept. of Pharmaceutics, Sanjo College of Pharmaceutical Studies, Vellapara, Palakkad- 678702

Photo
Thobias Thomas
Co-author

8th Semester B. pharm, Dept. of Pharmaceutics, Sanjo College of Pharmaceutical Studies, Vellapara, Palakkad- 678702

Jilsha G., Asiya Nessirin S., Aparna Jose, Mohammed Asif Palliyalil, Smrithika S., Thobias Thomas , Design And Evaluation of Herbal Roll-On for Topical Treatment, Int. J. of Pharm. Sci., 2026, Vol 4, Issue 4, 14-31, https://doi.org/10.5281/zenodo.19368641

More related articles
Development and Validation of UV Spectrophotometri...
Prerana Chougule, Swapnali Mane, Priti Mahadik, Amruta Patil, Utk...
Formulation And Evaluation Of Herbal Anti Dandruff...
Rashmi C., Sariful Islam, Ashraful Anowar, Asraful Ambiya, Mohamm...
Traditional Wisdom Meets Modern Science: Anti-Inflammatory and Wound Healing Ins...
Prashant Shirode , Harshali Sonar, Yuvraj Mandlik, Dinesh Pawar, Ashwini Chaudhari, ...
Comparative Study of FTIR Spectroscopy of Basil Essential Oil in Kanpur...
Neelam Pal, Ankit Kanaujia, Nand Lal, Anuradha Tiwari, ...
Related Articles
Recent Advances And Emergency Trends In Anticoagulant Therapy...
Bhavani Suba Niranjana, Julliyan Dilleban , Deephiha Elango, Balakrishnan karuppiah, ...
Extraction of Natural Dyes from Agricultural Waste for Textile Applications...
Jayendar Dansena, Dr. Gyanesh Kumar, Vanshika Yadav, Devendra Tandan, Anushka Sahu, Nutan Sahu, Dali...
Ocusert – A Pioneering Ocular Drug Delivery System for Sustained Therapeutic A...
Tejaswini Pakade, Gayatri Gaykee, Chetana Chaudhari, Samruddhi Kajulkar, G. K. Brahma, ...
More related articles
Development and Validation of UV Spectrophotometric Method for the Estimation of...
Prerana Chougule, Swapnali Mane, Priti Mahadik, Amruta Patil, Utkarsh Nagvekar, A. S. Manjappa, ...
Formulation And Evaluation Of Herbal Anti Dandruff Shampoo...
Rashmi C., Sariful Islam, Ashraful Anowar, Asraful Ambiya, Mohammad Rafid, Shiyas M. P., ...
Development and Validation of UV Spectrophotometric Method for the Estimation of...
Prerana Chougule, Swapnali Mane, Priti Mahadik, Amruta Patil, Utkarsh Nagvekar, A. S. Manjappa, ...
Formulation And Evaluation Of Herbal Anti Dandruff Shampoo...
Rashmi C., Sariful Islam, Ashraful Anowar, Asraful Ambiya, Mohammad Rafid, Shiyas M. P., ...